SAR1B Antibody - BSA Free
Novus Biologicals, part of Bio-Techne | Catalog # NBP3-45445
Key Product Details
Species Reactivity
Human, Mouse, Rat
Applications
ELISA, Immunohistochemistry, Western Blot
Label
Unconjugated
Antibody Source
Polyclonal Rabbit IgG
Format
BSA Free
Concentration
Please see the vial label for concentration. If unlisted please contact technical services.
Product Specifications
Immunogen
SAR1 homolog B. (Uniprot# Q9Y6B6)
Clonality
Polyclonal
Host
Rabbit
Isotype
IgG
Description
Novus Biologicals Rabbit SAR1B Antibody - BSA Free (NBP3-45445) is a polyclonal antibody validated for use in IHC, WB and ELISA. All Novus Biologicals antibodies are covered by our 100% guarantee.
Scientific Data Images for SAR1B Antibody - BSA Free
Western Blot: SAR1B Antibody - BSA Free [NBP3-45445] -
Western Blot: SAR1B Antibody - BSA Free [NBP3-45445] - Mouse liver tissue were subjected to SDS PAGE followed by western blot with (SAR1B antibody) at dilution of 1:500Immunohistochemistry: SAR1B Antibody - BSA Free [NBP3-45445] -
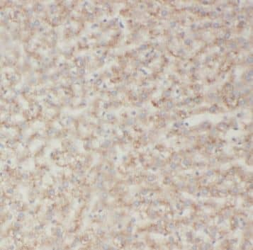
Immunohistochemistry: SAR1B Antibody - BSA Free [NBP3-45445] - Immunohistochemistry of paraffin-embedded human liver using (SAR1B antibody) at dilution of 1:100Applications for SAR1B Antibody - BSA Free
Application
Recommended Usage
Immunohistochemistry
1:20-1:200
Western Blot
1:500-1:2000
Application Notes
Theoretical Molecular Weight is 25-27 kDa
Formulation, Preparation, and Storage
Purification
Immunogen affinity purified
Formulation
PBS, 50% Glycerol, pH (7.3)
Format
BSA Free
Preservative
0.02% Sodium Azide
Concentration
Please see the vial label for concentration. If unlisted please contact technical services.
Shipping
The product is shipped with polar packs. Upon receipt, store it immediately at the temperature recommended below.
Stability & Storage
Store at -20C. Avoid freeze-thaw cycles.
Background: SAR1B
Alternate Names
2310075M17Rik, ANDD, CMRD, EC 3.6.5, GTP-binding protein B, GTP-binding protein SAR1b, GTP-binding protein Sara, SAR1 homolog B (S. cerevisiae), SAR1a gene homolog (S. cerevisiae) 2, SAR1a gene homolog 2, SAR1a gene homolog 2 (S. cerevisiae), SARA2GTBPB, SARB
Gene Symbol
SAR1B
Additional SAR1B Products
Product Documents for SAR1B Antibody - BSA Free
Product Specific Notices for SAR1B Antibody - BSA Free
This product is for research use only and is not approved for use in humans or in clinical diagnosis. Primary Antibodies are guaranteed for 1 year from date of receipt.
Loading...
Loading...
Loading...
Loading...