Skip to main content

SAP30BP Antibody - BSA Free

Novus Biologicals, part of Bio-Techne | Catalog # NBP2-38685

Novus Biologicals, part of Bio-Techne
Catalog #
Availability
Size / Price
Qty
Loading...
NBP2-38685
NBP2-38685-25ul

Key Product Details

Species Reactivity

Validated:

Human

Predicted:

Mouse (100%), Rat (99%). Backed by our 100% Guarantee.

Applications

Immunohistochemistry, Immunohistochemistry-Paraffin, Western Blot, Immunocytochemistry/ Immunofluorescence

Label

Unconjugated

Antibody Source

Polyclonal Rabbit IgG

Format

BSA Free

Concentration

Concentrations vary lot to lot. See vial label for concentration. If unlisted please contact technical services.

Product Specifications

Immunogen

This antibody was developed against a recombinant protein corresponding to amino acids: QELVASFSERVRNMSPDEIKIPPEPPGRCSNHLQDKIQKLYERKIKEGMDMNYIIQRKKEFRNPSIYEKLIQFCAIDELGTNYP

Clonality

Polyclonal

Host

Rabbit

Isotype

IgG

Description

Novus Biologicals Rabbit SAP30BP Antibody - BSA Free (NBP2-38685) is a polyclonal antibody validated for use in IHC, WB and ICC/IF. All Novus Biologicals antibodies are covered by our 100% guarantee.

Scientific Data Images for SAP30BP Antibody - BSA Free

Western Blot: SAP30BP Antibody [NBP2-38685]

Western Blot: SAP30BP Antibody [NBP2-38685]

Western Blot: SAP30BP Antibody [NBP2-38685] - Analysis in control (vector only transfected HEK293T lysate) and SAP30BP over-expression lysate (Co-expressed with a C-terminal myc-DDK tag (3.1 kDa) in mammalian HEK293T cells).
Immunocytochemistry/ Immunofluorescence: SAP30BP Antibody [NBP2-38685]

Immunocytochemistry/ Immunofluorescence: SAP30BP Antibody [NBP2-38685]

Immunocytochemistry/Immunofluorescence: SAP30BP Antibody [NBP2-38685] - Immunofluorescent staining of human cell line MCF7 shows localization to nucleoplasm.
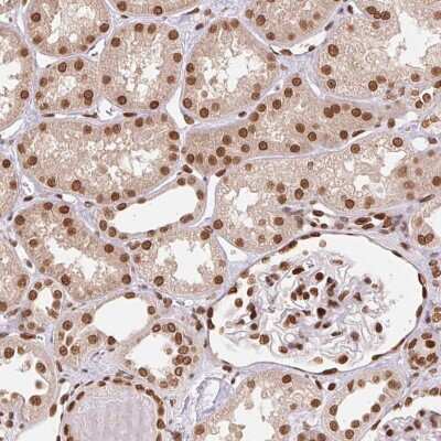
Immunohistochemistry: SAP30BP Antibody [NBP2-38685]

Immunohistochemistry: SAP30BP Antibody [NBP2-38685]

Immunohistochemistry: SAP30BP Antibody [NBP2-38685] - Staining of human kidney shows strong nuclear / nuclear membranous positivity in cells in tubules along with strong nuclear positivity in cells in glomeruli.

Applications for SAP30BP Antibody - BSA Free

Application
Recommended Usage

Immunocytochemistry/ Immunofluorescence

0.25-2 ug/ml

Immunohistochemistry

1:200 - 1:500

Immunohistochemistry-Paraffin

1:200 - 1:500

Western Blot

0.04-0.4 ug/ml
Application Notes
For IHC-Paraffin, HIER pH 6 retrieval is recommended. Immunocytochemistry/Immunofluorescence Fixation Permeabilization: Use PFA/Triton X-100.

Formulation, Preparation, and Storage

Purification

Affinity purified

Formulation

PBS (pH 7.2) and 40% Glycerol

Format

BSA Free

Preservative

0.02% Sodium Azide

Concentration

Concentrations vary lot to lot. See vial label for concentration. If unlisted please contact technical services.

Shipping

The product is shipped with polar packs. Upon receipt, store it immediately at the temperature recommended below.

Stability & Storage

Store at 4C short term. Aliquot and store at -20C long term. Avoid freeze-thaw cycles.

Background: SAP30BP

SAP30BP, also known as SAP30-binding protein, has a 308 amino acid long isoform that is 34 kDa and a short 292 amino acid isoform that is 32 kDa; is involved in the regulation of beta-2-microglobulin genes and also plays a role of a transcriptional co-repressor of a gene related to cell survival. Studies on this protein have shown its involvement with obesity and schizophrenia. This protein has been shown to have interactions with PUF60, SF3A2, MLX, SAP30, FHL2, ZNF212, ZNF408, and MEPCE protein in transcription, DNA-dependent; regulation of transcription DNA-dependent, apoptotic process, and induction of apoptosis pathways.

Alternate Names

HCNGPDKFZp586L2022, HTRGHSV-1 binding, HTRPSAP30-binding protein, SAP30 binding protein, Transcriptional regulator protein HCNGP

Gene Symbol

SAP30BP

UniProt

Additional SAP30BP Products

Product Documents for SAP30BP Antibody - BSA Free

Certificate of Analysis

To download a Certificate of Analysis, please enter a lot number in the search box below.

Product Specific Notices for SAP30BP Antibody - BSA Free

This product is for research use only and is not approved for use in humans or in clinical diagnosis. Primary Antibodies are guaranteed for 1 year from date of receipt.

Loading...
Loading...
Loading...
Loading...