Skip to main content

SAFB Antibody

Novus Biologicals, part of Bio-Techne | Catalog # NB100-2593

Novus Biologicals, part of Bio-Techne
Catalog #
Availability
Size / Price
Qty
Loading...
NB100-2593

Key Product Details

Validated by

Independent Antibodies, Biological Validation

Species Reactivity

Human, Mouse

Applications

Immunohistochemistry, Immunohistochemistry-Paraffin, Immunoprecipitation, Western Blot

Label

Unconjugated

Antibody Source

Polyclonal Rabbit IgG

Concentration

0.2 mg/ml

Product Specifications

Immunogen

The immunogen recognized by this antibody maps to a region between residue 875 and the C-terminus (residue 915) of human Scaffold Attachment Factor B using the numbering given in entry NP_002958.2 (GeneID 6294).

Clonality

Polyclonal

Host

Rabbit

Isotype

IgG

Description

Novus Biologicals Rabbit SAFB Antibody (NB100-2593) is a polyclonal antibody validated for use in IHC, WB and IP. All Novus Biologicals antibodies are covered by our 100% guarantee.

Scientific Data Images for SAFB Antibody

Western Blot: SAFB Antibody [NB100-2593]

Western Blot: SAFB Antibody [NB100-2593]

Western Blot: SAFB Antibody [NB100-2593] - Detection of Human and Mouse SAFB1 on HeLa whole cell lysate using NB100-2593. SAFB1 was also immunoprecipitated by rabbit anti-SAFB1 antibody NB100-2592.
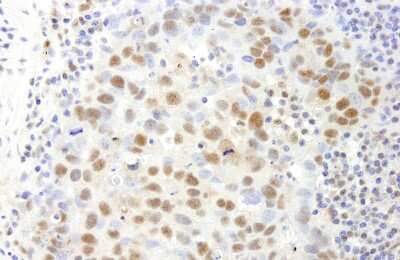
Immunohistochemistry: SAFB Antibody [NB100-2593]

Immunohistochemistry: SAFB Antibody [NB100-2593]

Immunohistochemistry: SAFB Antibody [NB100-2593] - Sample: FFPE section of human breast carcinoma. Antibody: Affinity purified rabbit anti- SAFB1 used at a dilution of 1:200 (1ug/ml). Detection: DAB
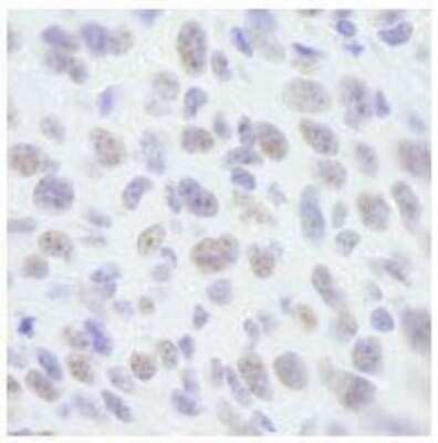
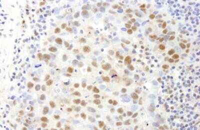
Immunohistochemistry-Paraffin: SAFB Antibody [NB100-2593]

Immunohistochemistry-Paraffin: SAFB Antibody [NB100-2593]

Immunohistochemistry-Paraffin: SAFB Antibody [NB100-2593] - FFPE section of human breast adenocarcinoma. Affinity purified rabbit anti-SAFB1 used at a dilution of 1:250.

Applications for SAFB Antibody

Application
Recommended Usage

Immunohistochemistry

1:10-1:500

Immunohistochemistry-Paraffin

1:10-1:500

Immunoprecipitation

2-5 ug/mg lysate

Western Blot

1:2000-1:10000

Formulation, Preparation, and Storage

Purification

Immunogen affinity purified

Formulation

TBS and 0.1% BSA

Preservative

0.09% Sodium Azide

Concentration

0.2 mg/ml

Shipping

The product is shipped with polar packs. Upon receipt, store it immediately at the temperature recommended below.

Stability & Storage

Store at 4C. Do not freeze.

Background: SAFB

This gene encodes a DNA-binding protein that has high specificity for scaffold or matrix attachment region DNA elements (S/MAR DNA). This protein is thought to be involved in attaching the base of chromatin loops to the nuclear matrix but there is conflicting evidence as to whether this protein is a component of chromatin or a nuclear matrix protein. Scaffold attachment factors are a specific subset of nuclear matrix proteins (NMP) that specifically bind to S/MAR. This encoded protein is thought to serve as a molecular base to assemble a 'transcriptosome complex' in the vicinity of actively transcribed genes. It is involved in the regulation of the heat shock protein 27 transcription and also can act as an estrogen receptor corepressor. This gene is a candidate gene for breast tumorigenesis.

Alternate Names

glutathione S-transferase fusion protein, HAP, heat-shock protein (HSP27) estrogen response element and TATA box-bindingprotein, HETDKFZp779C1727, Hsp27 ERE-TATA binding protein, HSP27 ERE-TATA-binding protein, HSP27 estrogen response element-TATA box-binding protein, SAF-B, SAF-B1, SAFB1SAB-B1, scaffold attachment factor B, scaffold attachment factor B1

Entrez Gene IDs

6294 (Human); 224903 (Mouse)

Gene Symbol

SAFB

Additional SAFB Products

Product Documents for SAFB Antibody

Certificate of Analysis

To download a Certificate of Analysis, please enter a lot number in the search box below.

Product Specific Notices for SAFB Antibody

This product is for research use only and is not approved for use in humans or in clinical diagnosis. Primary Antibodies are guaranteed for 1 year from date of receipt.

Loading...
Loading...
Loading...
Loading...