Skip to main content

S1P5/EDG-8 Antibody - BSA Free

Novus Biologicals, part of Bio-Techne | Catalog # NBP2-24712

Novus Biologicals, part of Bio-Techne
Catalog #
Availability
Size / Price
Qty
Loading...
NBP2-24712
NBP2-24712SS

Key Product Details

Species Reactivity

Validated:

Human, Mouse, Rat, Canine, Primate, Xenopus

Cited:

Frog - Xenopus (African Clawed Frog)

Predicted:

Chimpanzee (100%), Monkey (94%), Rhesus Macaque (94%). Backed by our 100% Guarantee.

Applications

Immunohistochemistry, Immunohistochemistry-Paraffin, Western Blot

Label

Unconjugated

Antibody Source

Polyclonal Rabbit IgG

Format

BSA Free

Concentration

1.0 mg/ml

Product Specifications

Immunogen

A synthetic peptide corresponding to amino acids 15-55 of human Edg8 was used as the immunogen, GenBank no NP_110387.

Reactivity Notes

Xenopus reactivity reported in scientific literature (PMID: 28752787). The amino acid sequence used as immunogen is 84% homologous in Bovine and Porcine.

Clonality

Polyclonal

Host

Rabbit

Isotype

IgG

Description

Novus Biologicals Rabbit S1P5/EDG-8 Antibody - BSA Free (NBP2-24712) is a polyclonal antibody validated for use in IHC and WB. Anti-S1P5/EDG-8 Antibody: Cited in 3 publications. All Novus Biologicals antibodies are covered by our 100% guarantee.

Scientific Data Images for S1P5/EDG-8 Antibody - BSA Free

Western Blot: S1P5/EDG-8 Antibody [NBP2-24712]

Western Blot: S1P5/EDG-8 Antibody [NBP2-24712]

Western Blot: S1P5/EDG-8 Antibody [NBP2-24712] - Analysis of EDG8 in human brain lysate in the 1) absence and 2) presence of immunizing peptide, 3) mouse, 4) rat using NBP2-24712 at 5 ug/ml, 2 ug/ml and 2 ug/ml.
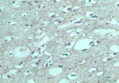
Immunohistochemistry-Paraffin: S1P5/EDG-8 Antibody [NBP2-24712]

Immunohistochemistry-Paraffin: S1P5/EDG-8 Antibody [NBP2-24712]

Immunohistochemistry-Paraffin: S1P5/EDG-8 Antibody [NBP2-24712] - Staining of normal human brain using NBP2-24712 at 5 ug/ml.
Immunohistochemistry-Paraffin: S1P5/EDG-8 Antibody [NBP2-24712]

Immunohistochemistry-Paraffin: S1P5/EDG-8 Antibody [NBP2-24712]

Immunohistochemistry-Paraffin: S1P5/EDG-8 Antibody [NBP2-24712] - Staining of normal human brain using control (rabbit Ig) at 5 ug/ml.

Applications for S1P5/EDG-8 Antibody - BSA Free

Application
Recommended Usage

Immunohistochemistry-Paraffin

5-10 ug/ml

Western Blot

1-3 ug/ml

Formulation, Preparation, and Storage

Purification

Protein G purified

Formulation

PBS

Format

BSA Free

Preservative

0.05% Sodium Azide

Concentration

1.0 mg/ml

Shipping

The product is shipped with polar packs. Upon receipt, store it immediately at the temperature recommended below.

Stability & Storage

Store at 4C short term. Aliquot and store at -20C long term. Avoid freeze-thaw cycles.

Background: S1P5/EDG-8

Edg8 is a Lysophospholipid/Lysosphingolipid Receptor activated by sphingosine-1-phosphate. Two differently expressed splice variants, 2.4 kb and 5.4 kb, are produced by alternative splicing. Edg8 has been reported in rat brain, lung, small intestine, spinal cord, and spleen. ESTs have been isolated from human cancer libraries of the head/neck and skin, as well as mouse brain and liver libraries. Caution: The rat EDG-8 gene has also been described as NRG-1, but should not be confused with the neuregulin-1 gene whose approved symbol is NRG-1.

Long Name

Endothelial Differentiation Gene 8

Alternate Names

EDG8, LPB4, S1PR5, SPPR-1, SPPR-2

Gene Symbol

S1PR5

UniProt

Additional S1P5/EDG-8 Products

Product Documents for S1P5/EDG-8 Antibody - BSA Free

Certificate of Analysis

To download a Certificate of Analysis, please enter a lot number in the search box below.

Product Specific Notices for S1P5/EDG-8 Antibody - BSA Free

This product is for research use only and is not approved for use in humans or in clinical diagnosis. Primary Antibodies are guaranteed for 1 year from date of receipt.

Loading...
Loading...
Loading...
Loading...