Skip to main content

S100A9 Antibody (S100A9/1075) - Azide and BSA Free

Novus Biologicals, part of Bio-Techne | Catalog # NBP3-11559

Novus Biologicals, part of Bio-Techne

Key Product Details

Species Reactivity

Human, Rat

Applications

Immunohistochemistry, Immunohistochemistry-Paraffin, Flow Cytometry, Immunofluorescence, Immunocytochemistry/ Immunofluorescence

Label

Unconjugated

Antibody Source

Monoclonal Mouse IgG1 kappa Clone # S100A9/1075

Format

Azide and BSA Free

Concentration

1 mg/ml

Product Specifications

Immunogen

Recombinant human S100A9 protein (Uniprot: P06702)

Localization

Cytoplasmic, Extracellular (secreted) and Cell Surface

Specificity

This monoclonal antibody stains the cytoplasm of macrophages and histiocytes in hematopoietic organs, Kupffers cells of the liver and Langerhans cells of the skin. It also stains the mantle zone B-lymphocytes of the lymph node and spleen, spermatogonia, and chief cells of the stomach. S100A9 is expressed by macrophages in acutely inflamed tissues and in chronic inflammation. It is detected in peripheral blood leukocytes, in neutrophils and granulocytes. It is present at sites of vascular inflammation. S100A9 is also expressed in epithelial cells constitutively or induced during dermatoses. S100A9 is a Calcium-binding protein. It has antimicrobial activity towards bacteria and fungi. It is important for resistance to invasion by pathogenic bacteria. It up-regulates transcription of genes that are under the control of NF-kappa-B. S100A9 plays a role in the development of endotoxic shock in response to bacterial lipopolysaccharide (LPS). It promotes tubulin polymerization when unphosphorylated. It also promotes phagocyte migration and infiltration of granulocytes at sites of wounding. It plays a role as a pro-inflammatory mediator in acute and chronic inflammation and up-regulates the release of IL8 and cell-surface expression of ICAM1.

Marker

Macrophage Marker

Clonality

Monoclonal

Host

Mouse

Isotype

IgG1 kappa

Theoretical MW

14 kDa.
Disclaimer note: The observed molecular weight of the protein may vary from the listed predicted molecular weight due to post translational modifications, post translation cleavages, relative charges, and other experimental factors.

Description

1.0 mg/ml of antibody purified from Bioreactor Concentrate by Protein A/G. Prepared in 10mM PBS WITHOUT azide. Also available at 200 ug/ml WITH BSA & azide (NBP2-44913).

Antibody with azide - store at 2 to 8C. Antibody without azide - store at -20 to -80C.

Scientific Data Images for S100A9 Antibody (S100A9/1075) - Azide and BSA Free

S100A9 Antibody (S100A9/1075) - Azide and BSA Free Immunohistochemistry-Paraffin: S100A9 Antibody (S100A9/1075) - Azide and BSA Free [NBP3-11559] -

Immunohistochemistry-Paraffin: S100A9 Antibody (S100A9/1075) - Azide and BSA Free [NBP3-11559] -

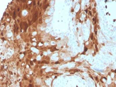
Immunohistochemistry-Paraffin: S100A9 Antibody (S100A9/1075) - Azide and BSA Free [NBP3-11559] - Formalin-fixed, paraffin-embedded human breast carcinoma stained with S100A9 Antibody (S100A9/1075).
S100A9 Antibody (S100A9/1075) - Azide and BSA Free Immunohistochemistry-Paraffin: S100A9 Antibody (S100A9/1075) - Azide and BSA Free [NBP3-11559] -

Immunohistochemistry-Paraffin: S100A9 Antibody (S100A9/1075) - Azide and BSA Free [NBP3-11559] -

Immunohistochemistry-Paraffin: S100A9 Antibody (S100A9/1075) - Azide and BSA Free [NBP3-11559] - Formalin-fixed, paraffin-embedded human skin carcinoma stained with S100A9 Antibody (S100A9/1075).

Applications for S100A9 Antibody (S100A9/1075) - Azide and BSA Free

Application
Recommended Usage

Flow Cytometry

0.5 - 1 ug/million cells in 0.1 ml

Immunocytochemistry/ Immunofluorescence

1-2 ug/ml

Immunofluorescence

0.5 - 1.0 ug/ml

Immunohistochemistry-Paraffin

0.5 - 1.0 ug/ml
Application Notes
Immunohistochemistry (Formalin-fixed): 1-2ug/ml for 30 minutes at RT. For staining of formalin-fixed, paraffin-embedded tissues, digest with trypsin at 1mg/ml PBS, 15 min at RT.
Optimal dilution for a specific application should be determined.

Formulation, Preparation, and Storage

Purification

Protein A or G purified

Formulation

10 mM PBS

Format

Azide and BSA Free

Preservative

No Preservative

Concentration

1 mg/ml

Shipping

The product is shipped with polar packs. Upon receipt, store it immediately at the temperature recommended below.

Stability & Storage

Store at -20 to -80C. Avoid freeze-thaw cycles.

Background: S100A9

S100A9 is a member of the S100 family of proteins containing 2 EF-hand calcium-binding motifs. S100 proteins are localized in the cytoplasm and/or nucleus of a wide range of cells, and are involved in the regulation of a number of cellular processes such as cell cycle progression and differentiation. S100A9 may function in the inhibition of casein kinase, and altered expression is associated with the disease cystic fibrosis. Overexpression of S100A9 has also recently been linked to a poor prognosis with invasive ductal carcinoma of the breast.

Long Name

S100 Calcium Binding Protein A9

Alternate Names

Calgranulin B, MRP-14

Gene Symbol

S100A9

Additional S100A9 Products

Product Documents for S100A9 Antibody (S100A9/1075) - Azide and BSA Free

Certificate of Analysis

To download a Certificate of Analysis, please enter a lot number in the search box below.

Product Specific Notices for S100A9 Antibody (S100A9/1075) - Azide and BSA Free

This product is for research use only and is not approved for use in humans or in clinical diagnosis. Primary Antibodies are guaranteed for 1 year from date of receipt.

Loading...
Loading...
Loading...
Loading...
Loading...
Loading...