Skip to main content

Key Product Details

Validated by

Biological Validation

Species Reactivity

Validated:

Human, Mouse

Cited:

Human

Applications

Validated:

Immunohistochemistry, Immunohistochemistry-Paraffin, Immunohistochemistry-Frozen, Western Blot, Flow Cytometry, Flow (Intracellular), Immunocytochemistry/ Immunofluorescence, Simple Western, CyTOF-ready

Cited:

Immunohistochemistry-Frozen, Western Blot, Immunocytochemistry/ Immunofluorescence, IF/IHC

Label

Unconjugated

Antibody Source

Monoclonal Mouse IgG1 kappa Clone # 47C1068

Format

Azide and BSA Free

Concentration

0.5 mg/ml

Product Specifications

Immunogen

This antibody was developed against recombinant psoriasin/HID-5 protein.

Clonality

Monoclonal

Host

Mouse

Isotype

IgG1 kappa

Description

Novus Biologicals Mouse S100A7/Psoriasin Antibody (47C1068) - Azide and BSA Free (NB100-56559) is a monoclonal antibody validated for use in IHC, WB, Flow, ICC/IF and Simple Western. Anti-S100A7/Psoriasin Antibody: Cited in 15 publications. All Novus Biologicals antibodies are covered by our 100% guarantee.

Scientific Data Images for S100A7/Psoriasin Antibody (47C1068) - Azide and BSA Free

Western Blot: S100A7/Psoriasin Antibody (47C1068)Azide Free [NBP2-24911]

Western Blot: S100A7/Psoriasin Antibody (47C1068)Azide Free [NBP2-24911]

Western Blot: S100A7/Psoriasin Antibody (47C1068) - Azide Free [NBP2-24911] - analysis of psoriasin in A) MCF10A and B) MCF7 cell lysate using psoriasin antibody at 1 ug/ml.
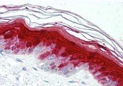
Immunohistochemistry: S100A7/Psoriasin Antibody (47C1068) - Azide Free [NBP2-24911]

Immunohistochemistry: S100A7/Psoriasin Antibody (47C1068) - Azide Free [NBP2-24911]

Immunohistochemistry: S100A7/Psoriasin Antibody (47C1068) - Azide Free [NBP2-24911] - Inhibition of KDM expression in vivo. Skin biopsies from normal control skin (Cont) or lesional psoriatic skin (Pso) were collected. Skin sections were stained with Hematoxylin and immunodetection of cytokeratin 10, loricrin, filaggrin, involucrin and S100A7 was performed. Scale bar 100 um. Results are from one experiment representative of three. Image collected and cropped by CiteAb from the following publication (https://dx.plos.org/10.1371/journal.pone.0101937), licensed under a CC-BY license. Image using the standard format of this product.
Flow (Intracellular): S100A7/Psoriasin Antibody (47C1068) - Azide Free [NBP2-24911]

Flow (Intracellular): S100A7/Psoriasin Antibody (47C1068) - Azide Free [NBP2-24911]

Flow (Intracellular): S100A7/Psoriasin Antibody (47C1068) - Azide Free [NBP2-24911] - An intracellular stain was performed on Jurkat cells with S100A7/Psoriasin antibody (47C1068) NBP2-24911PE (blue) and a matched isotype control NBP2-27287PE (orange). Cells were fixed with 4% PFA and then permeablized with 0.1% saponin. Cells were incubated in an antibody dilution of 1 ug/mL for 30 minutes at room temperature. Both antibodies were directly conjugated to phycoerythrin.

Applications for S100A7/Psoriasin Antibody (47C1068) - Azide and BSA Free

Application
Recommended Usage

Immunohistochemistry

reported in scientific literature (PMID 27328057)

Immunohistochemistry-Paraffin

1:200

Simple Western

1:2000

Western Blot

1 ug/ml
Application Notes
In confluent MCF10A cells, an 11 kDa band is observed. In Simple Western only 10 - 15 uL of the recommended dilution is used per data point.
See Simple Western Antibody Database for Simple Western validation: Tested in MCF-7 lysate 0.05 mg/mL, separated by Size, antibody dilution of 1:2000. Separated by Size-Wes, Sally Sue/Peggy Sue.

Formulation, Preparation, and Storage

Purification

Protein G purified

Formulation

Sterile - filtered PBS

Format

Azide and BSA Free

Preservative

No Preservative

Concentration

0.5 mg/ml

Shipping

The product is shipped with polar packs. Upon receipt, store it immediately at the temperature recommended below.

Stability & Storage

Store at -20C. Avoid freeze-thaw cycles.

Background: S100A7

Psoriasin (HID5/S100A7) was originally identified as an up-regulated protein in psoriatic keratinocytes (1). Subsequently, this was found to have elevated expression in abnormally differentiating primary keratinocytes and in various carcinomas, including ductal carcinoma in situ (2-3). Psoriasin may play a role in the establishment or maintenance of these pathologies, and may serve as a diagnostic marker of particular tumor types or abnormally proliferative epithelia.

Long Name

S100 Calcium Binding Protein A7

Alternate Names

PSOR1

Gene Symbol

S100A7

Additional S100A7 Products

Product Documents for S100A7/Psoriasin Antibody (47C1068) - Azide and BSA Free

Certificate of Analysis

To download a Certificate of Analysis, please enter a lot number in the search box below.

Product Specific Notices for S100A7/Psoriasin Antibody (47C1068) - Azide and BSA Free

This product is for research use only and is not approved for use in humans or in clinical diagnosis. Primary Antibodies are guaranteed for 1 year from date of receipt.

Loading...
Loading...
Loading...
Loading...
Loading...