Skip to main content

S100A4 Antibody (S100A4/2750R)

Novus Biologicals, part of Bio-Techne | Catalog # NBP3-07587

Recombinant Monoclonal Antibody
Novus Biologicals, part of Bio-Techne
Catalog #
Availability
Size / Price
Qty
Loading...
NBP3-07587-20ug
NBP3-07587-100ug

Key Product Details

Species Reactivity

Human, Mouse

Applications

Flow Cytometry, Immunocytochemistry/ Immunofluorescence, Immunohistochemistry, Immunohistochemistry-Paraffin, Western Blot

Label

Unconjugated

Antibody Source

Recombinant Monoclonal Rabbit IgG Clone # S100A4/2750R

Concentration

0.2 mg/ml

Product Specifications

Immunogen

Recombinant fragment of human S100A4 protein (around aa1-200) (exact sequence is proprietary) (Uniprot: P26447)

Localization

Cytoplasmic and Nuclear

Marker

Marker of Tumor Metastasis

Clonality

Monoclonal

Host

Rabbit

Isotype

IgG

Description

200ug/ml of antibody purified from Bioreactor Concentrate by Protein A or G. Prepared in 10 mM PBS with 0.05% BSA & 0.05% azide. Also available WITHOUT BSA & azide at 1.0 mg/ml. (NBP3-08460)

Antibody with azide - store at 2 to 8C. Antibody without azide - store at -20 to -80C.

Scientific Data Images for S100A4 Antibody (S100A4/2750R)

Western Blot: S100A4 Antibody (S100A4/2750R) [NBP3-07587]

Western Blot: S100A4 Antibody (S100A4/2750R) [NBP3-07587]

Western Blot: S100A4 Antibody (S100A4/2750R) [NBP3-07587] - Western Blot Analysis of human HeLa cell lysate using S100A4 Recombinant Rabbit Monoclonal Antibody (S100A4/2750R).
Immunocytochemistry/ Immunofluorescence: S100A4 Antibody (S100A4/2750R) [NBP3-07587]

Immunocytochemistry/ Immunofluorescence: S100A4 Antibody (S100A4/2750R) [NBP3-07587]

Immunocytochemistry/Immunofluorescence: S100A4 Antibody (S100A4/2750R) [NBP3-07587] - Immunofluorescence staining of A549 cells using S100A4 Recombinant Rabbit Monoclonal Antibody (S100A4/2750R) followed by goat anti- Mouse IgG-CF488 (green). Nuclei are stained with RedDot.
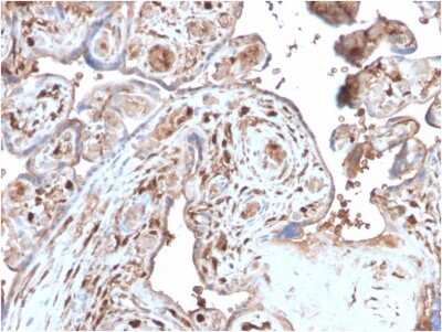
Immunohistochemistry-Paraffin: S100A4 Antibody (S100A4/2750R) [NBP3-07587]

Immunohistochemistry-Paraffin: S100A4 Antibody (S100A4/2750R) [NBP3-07587]

Immunohistochemistry-Paraffin: S100A4 Antibody (S100A4/2750R) [NBP3-07587] - Formalin-fixed, paraffin-embedded human Placenta stained with S100A4 Recombinant Rabbit Monoclonal Antibody (S100A4/2750R).

Applications for S100A4 Antibody (S100A4/2750R)

Application
Recommended Usage

Flow Cytometry

1-2 ug/million cells

Immunocytochemistry/ Immunofluorescence

1-2 ug/ml

Immunohistochemistry-Paraffin

1-2 ug/ml

Western Blot

1-2 ug/ml
Application Notes
Immunohistochemistry (Formalin-fixed): 1-2ug/ml for 30 minutes at RT. Staining of formalin-fixed tissues requires heating tissue sections in 10mM Tris with 1mM EDTA, pH 9.0, for 45 min at 95C followed by cooling at RT for 20 minutes.
Optimal dilution for a specific application should be determined.

Formulation, Preparation, and Storage

Purification

Protein A or G purified

Formulation

10 mM PBS with 0.05% BSA

Preservative

0.05% Sodium Azide

Concentration

0.2 mg/ml

Shipping

The product is shipped with polar packs. Upon receipt, store it immediately at the temperature recommended below.

Stability & Storage

Store at 4C.

Background: S100A4

S100A4 is encoded by this gene is a member of the S100 family of proteins containing 2 EF-hand calcium-binding motifs. S100 proteins are localized in the cytoplasm and/or nucleus of a wide range of cells, and involved in the regulation of a number of cellular processes such as cell cycle progression and differentiation. S100 genes include at least 13 members which are located as a cluster on chromosome 1q21. This protein may function in motility, invasion, and tubulin polymerization. Chromosomal rearrangements and altered expression of this gene have been implicated in tumor metastasis. Multiple alternatively spliced variants, encoding the same protein, have been identified.

Long Name

S100 Calcium Binding Protein A4

Alternate Names

18A2, 42A, CAPL, MTS1, P9KA, PEL98

Gene Symbol

S100A4

UniProt

Additional S100A4 Products

Product Documents for S100A4 Antibody (S100A4/2750R)

Certificate of Analysis

To download a Certificate of Analysis, please enter a lot number in the search box below.

Product Specific Notices for S100A4 Antibody (S100A4/2750R)

This product is for research use only and is not approved for use in humans or in clinical diagnosis. Primary Antibodies are guaranteed for 1 year from date of receipt.

Loading...
Loading...
Loading...
Loading...
Loading...