Skip to main content

RYBP/DEDAF Antibody - BSA Free

Novus Biologicals, part of Bio-Techne | Catalog # NBP1-76842

Novus Biologicals, part of Bio-Techne

Key Product Details

Species Reactivity

Human, Mouse, Rat

Applications

Immunohistochemistry, Immunohistochemistry-Paraffin, Western Blot, ELISA, Immunocytochemistry/ Immunofluorescence

Label

Unconjugated

Antibody Source

Polyclonal Rabbit IgG

Format

BSA Free

Concentration

1 mg/ml

Product Specifications

Immunogen

Antibody was raised against a 14 amino acid peptide near the carboxy terminus of human DEDAF. The immunogen is located within the last 50 amino acids of DEDAF. Amino Acid Squence: TPKGDMSAVNDESF

Clonality

Polyclonal

Host

Rabbit

Isotype

IgG

Theoretical MW

32 kDa.
Disclaimer note: The observed molecular weight of the protein may vary from the listed predicted molecular weight due to post translational modifications, post translation cleavages, relative charges, and other experimental factors.

Description

Novus Biologicals Rabbit RYBP/DEDAF Antibody - BSA Free (NBP1-76842) is a polyclonal antibody validated for use in IHC, WB, ELISA and ICC/IF. All Novus Biologicals antibodies are covered by our 100% guarantee.

Scientific Data Images for RYBP/DEDAF Antibody - BSA Free

Western Blot: RYBP/DEDAF AntibodyBSA Free [NBP1-76842]

Western Blot: RYBP/DEDAF AntibodyBSA Free [NBP1-76842]

Western Blot: RYBP/DEDAF Antibody [NBP1-76842] - Human A549 (lane A), HepG2 (lane B), and mouse 3T3 (lane C) cell lysates with RYBP/DEDAF antibody at 1 ug /ml.
RYBP/DEDAF Antibody - BSA Free

Immunocytochemistry/ Immunofluorescence: RYBP/DEDAF Antibody - BSA Free [NBP1-76842] -

Immunocytochemistry/ Immunofluorescence: RYBP/DEDAF Antibody - BSA Free [NBP1-76842] - Immunofluorescence of RYBP/DEDAF in mouse liver tissue with RYBP/DEDAF antibody at 20 ug/ml.
RYBP/DEDAF Antibody - BSA Free

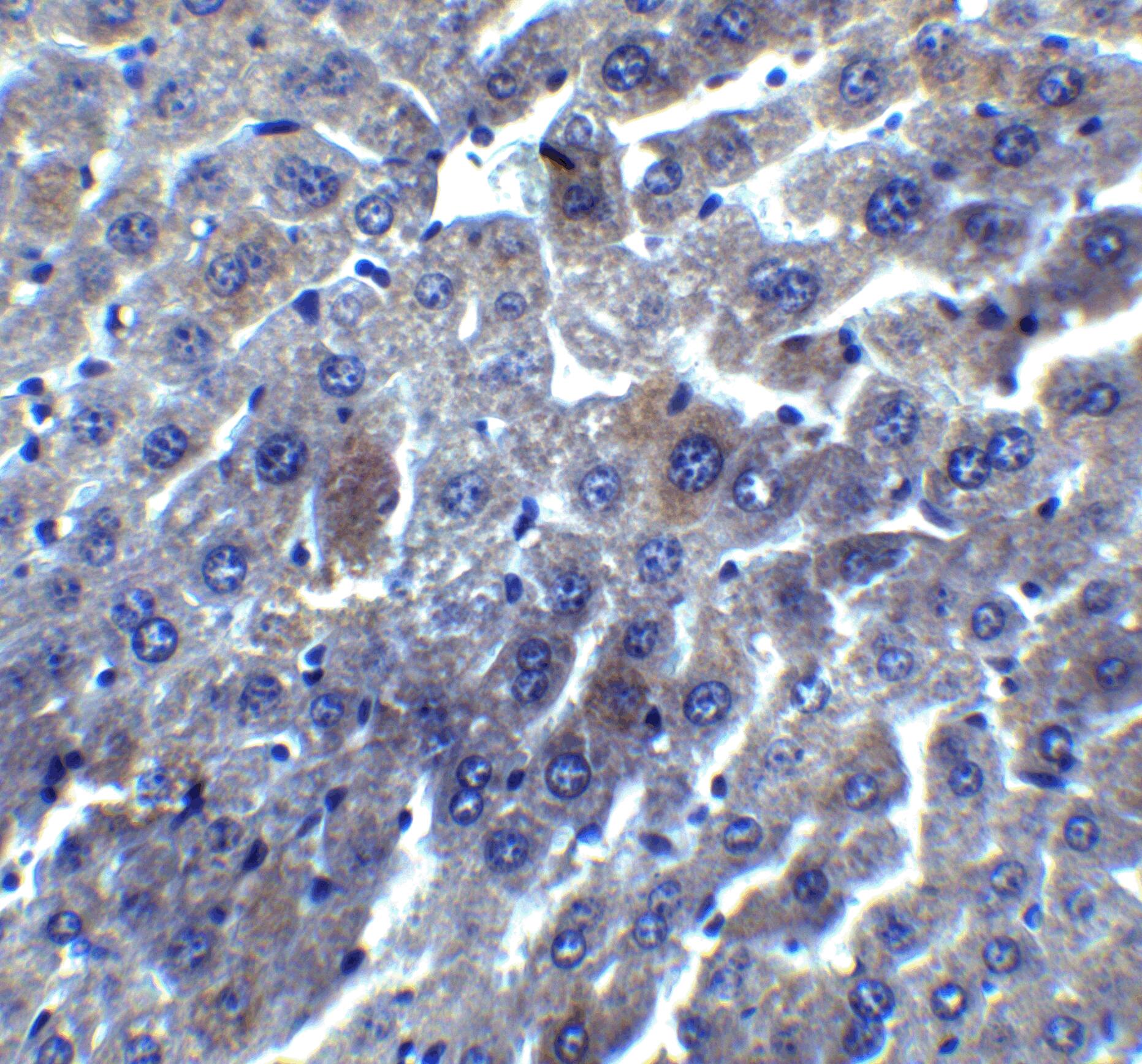
Immunohistochemistry: RYBP/DEDAF Antibody - BSA Free [NBP1-76842] -

Immunohistochemistry: RYBP/DEDAF Antibody - BSA Free [NBP1-76842] - Immunohistochemistry of RYBP/DEDAF in mouse liver tissue with RYBP/DEDAF antibody at 10 ug/mL.

Applications for RYBP/DEDAF Antibody - BSA Free

Application
Recommended Usage

ELISA

1:100-1:2000

Immunocytochemistry/ Immunofluorescence

20 ug/ml

Immunohistochemistry

5 ug/ml

Immunohistochemistry-Paraffin

5 ug/ml

Western Blot

1 ug/ml

Formulation, Preparation, and Storage

Purification

Peptide affinity purified

Formulation

PBS

Format

BSA Free

Preservative

0.02% Sodium Azide

Concentration

1 mg/ml

Shipping

The product is shipped with polar packs. Upon receipt, store it immediately at the temperature recommended below.

Stability & Storage

Store at 4C.

Background: RYBP/DEDAF

Apoptosis is related to many diseases and induced by a family of cell death receptors and their ligands. Cell death signals are transduced by death domain (DD) death effector domain (DED), and caspase recruitment domain (CARD) containing molecules. Several molecules including caspases and adaptor FADD contain DEDs. A novel protein that interacts with DED of caspase-8 and 10, and FADD was identified recently and designated DEDAF for DED associated factor . DEDAF is identical to the transcriptional repressor RYBP. DEDAF/RYBP is expressed in multiple tissues and cell lines. DEDAF interacts with FADD and augments the formation of CD95/FADD/capase-8 complexes at the cell membrane, and interacts with DED-containing DNA biding protein (DEDD) in the nucleus indicating it is involved in the regulation of both cytoplasmic and nuclear events of apoptosis.

Alternate Names

AAP1, APAP-1, Apoptin-associating protein 1, Death effector domain-associated factor, DEDAFYY1 and E4TF1-associated factor 1, RING1 and YY1 binding protein, RING1 and YY1-binding protein, ring1 interactor RYBP, YEAF1DED-associated factor, YY1 and E4TF1 associated factor 1

Entrez Gene IDs

23429 (Human); 56353 (Mouse)

Gene Symbol

RYBP

UniProt

Additional RYBP/DEDAF Products

Product Documents for RYBP/DEDAF Antibody - BSA Free

Certificate of Analysis

To download a Certificate of Analysis, please enter a lot number in the search box below.

Product Specific Notices for RYBP/DEDAF Antibody - BSA Free

This product is for research use only and is not approved for use in humans or in clinical diagnosis. Primary Antibodies are guaranteed for 1 year from date of receipt.

Loading...
Loading...
Loading...
Loading...