Skip to main content

RUNX2/CBFA1 Antibody - BSA Free

Novus Biologicals, part of Bio-Techne | Catalog # NBP2-24755

Novus Biologicals, part of Bio-Techne
Catalog #
Availability
Size / Price
Qty
Loading...
NBP2-24755
NBP2-24755SS

Key Product Details

Species Reactivity

Validated:

Human, Mouse, Chicken, Equine, Goat, Primate

Cited:

Human, Mouse

Predicted:

Canine (90%), Rat (90%). Backed by our 100% Guarantee.

Applications

Validated:

Immunohistochemistry, Immunohistochemistry-Paraffin, Western Blot

Cited:

Western Blot, Knockdown Validated

Label

Unconjugated

Antibody Source

Polyclonal Rabbit IgG

Format

BSA Free

Concentration

1.0 mg/ml

Product Specifications

Immunogen

This RUNX2/CBFA1 Antibody was developed against a synthetic peptide corresponding to somewhere between amino acids 250-300 of human RUNX2 was used as immunogen for RUNX2/CBFA1 Antibody. RUNX2 and RUNX1 share an approximate 66% homology in peptide sequence used as immunogen.

Reactivity Notes

Goat reactivity reported from a verified customer review.

Clonality

Polyclonal

Host

Rabbit

Isotype

IgG

Theoretical MW

56.6 kDa.
Disclaimer note: The observed molecular weight of the protein may vary from the listed predicted molecular weight due to post translational modifications, post translation cleavages, relative charges, and other experimental factors.

Scientific Data Images for RUNX2/CBFA1 Antibody - BSA Free

Western Blot: RUNX2/CBFA1 Antibody [NBP2-24755]

Western Blot: RUNX2/CBFA1 Antibody [NBP2-24755]

Western Blot: RUNX2/CBFA1 Antibody [NBP2-24755] - Analysis of human RUNX2 in Saos-2 cell lysate in the 1) absence and 2) presence of immunizing peptide using RUNX2 antibody at 2 ug/mL.
RUNX2/CBFA1 Antibody - BSA Free

Western Blot: Rabbit Polyclonal RUNX2/CBFA1 Antibody [IMGENEX: IMG-5985A] [NBP2-24755]

Western Blot: Rabbit Polyclonal RUNX2/CBFA1 Antibody [IMGENEX: IMG-5985A] [NBP2-24755] - Bone lysate homogenate from goats. SDS-PAGE with 0.3 mg of total protein from the homogenate per well. RUNX/CBFA1, NBP2-24755 was used at a dilution of 1:1000 and BMP-2, NBP1-32218 was used at a dilution of 1:1000 in TBS Tween and 5% milk powder. The protein was labeled at 70 kDa. Quantification of RUNX2 in bone graft in the tibia of intrailiac cellularized goats at different times compared with tibial autograft and untreated bone defect. Evaluation of pre-cellularized graft in the iliac crest in the treatment of bone defects in the tibia of goats. G1: cellularized graft for 4 weeks applied to the tibial bone defect, G2: cellularized graft for 6 weeks applied to the tibial bone defect, G3: cellularized graft for 8 weeks applied to the tibial bone defect, G4: tibial autograft and G5: untreated bone defect. All groups were evaluated 120 days after graft implantation. Image from a verified customer review.
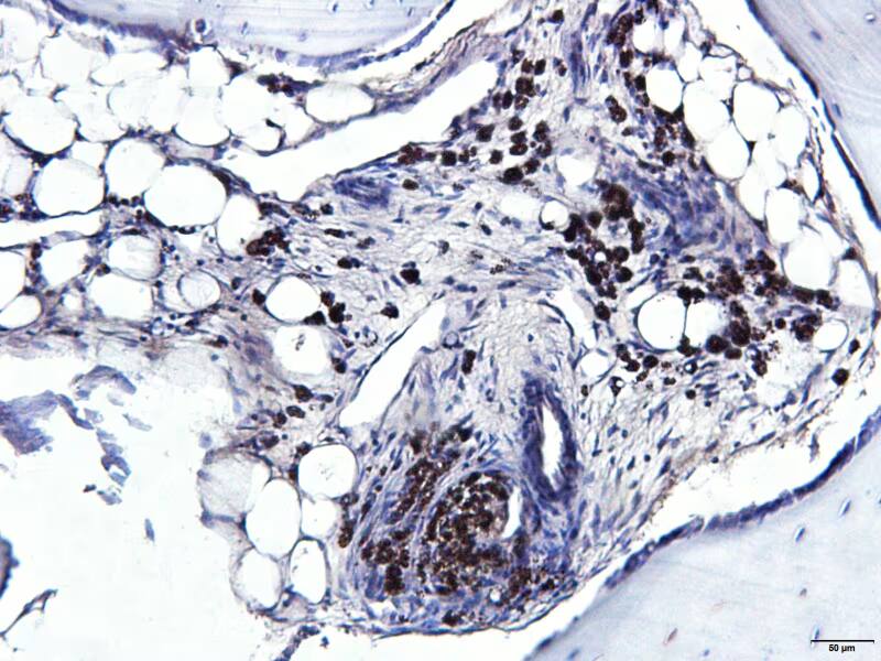
RUNX2/CBFA1 Antibody - BSA Free

Immunohistochemistry-Paraffin: Rabbit Polyclonal RUNX2/CBFA1 Antibody [IMGENEX: IMG-5985A] [NBP2-24755]

The histological sections were deparaffinized, peroxidase blocked in methanol and 30% hydrogen peroxide (9:1), and antigen retrieval was performed with porcine gastric pepsin and HCl at pH 3.0 in an oven at 37°C for 30 minutes. Then, blocking with BSA was performed for 1 hour followed by incubation with the primary antibody RUNX2/CBA1 Antibody NBP2-24755 (1:100) overnight. Subsequently, excess primary antibody was removed with PBS pH 7.6 and incubated with the secondary antibody (goat anti-rabbit IgG - NB7160 (1:200) for 1 hour and polymer was applied for 30 minutes. Finally, 150 μL of DAB was applied for five minutes and counterstained with hematoxylin. Image from a verified customer review.

Applications for RUNX2/CBFA1 Antibody - BSA Free

Application
Recommended Usage

Immunohistochemistry

Validated for IHC from a verified customer review.

Immunohistochemistry-Paraffin

Validated from IHC-P from a verified customer review.

Western Blot

1 - 3 ug/mL

Reviewed Applications

Read 2 reviews rated 5 using NBP2-24755 in the following applications:

Formulation, Preparation, and Storage

Purification

Protein G purified

Formulation

PBS

Format

BSA Free

Preservative

0.05% Sodium Azide

Concentration

1.0 mg/ml

Shipping

The product is shipped with polar packs. Upon receipt, store it immediately at the temperature recommended below.

Stability & Storage

Store at -20C. Avoid freeze-thaw cycles.

Background: RUNX2/CBFA1

Runt-related transcription factor 2 (RUNX2), also known as CBFA1, AML-3, PEBP-2alphaA, and OSF-2, is a transcription factor that places a critical role in osteoblast differentiation and bone development (1-3). RUNX2 is a DNA-binding protein that belongs to the RUNX family which share a common runt domain (3). RUNX2 has two main isoforms which vary based on the two promoter regions (3). The main canonical isoform (P1) has MASN/DS at its N-terminus while the other (P2) isoform includes a MRIPV pentapeptide at its N-terminus (3). The RUNX2 P1 isoform has a theoretical molecular weight of 56 kDa and is synthesized as a 521 amino acid (aa) protein containing multiple domains. Specifically, RUNX2 contains transactivation domains (AD1, 2 and 3), a glutamine/alanine (Q/A)-rich domain, a runt homology domain (RHD), a nuclear localization signal (NLS), a proline/serine/threonine (PST)-rich domain, a nuclear matrix targeting signal (NMTS), a repression domain (RD), and a VWRPY region (3). RUNX2 is a heterodimer of an alpha and beta subunit where the alpha subunit binds DNA through the runt domain and the binding affinity is increased through heterodimerization (4).

Functionally, RUNX2 promotes the expression of osteoblast-specific genes vital for the osteoblast differentiation and proliferation process including type I collagen, osteocalcin (OCN), and alkaline phosphatase (APC) (1, 3). Further evidence for the role of RUNX2 is highlighted by a study of Runx2-/-mice which completely lack osteoblasts (4). Additionally, RUNX2 is also required for chondrocyte maturation, which are the cells responsible for cartilage formation (1, 3, 5). Given the role of RUNX2 in bone and cartilage maturation and formation, it is clear that defects or mutations in RUNX2 cause various bone and bone-related diseases (3, 6, 7). For instance, cleidocranial dysplasia (CCD), which presents with delayed cranial suture closure phenotypes, hypoplastic clavicles, extra teeth, and short stature, is caused by haploinsufficiency in RUNX2 (2, 3, 6). Furthermore, metaphyseal dysplasia with maxillary hypoplasia and brachydactyly (MDMHB) is a bone dysplasia disorder with a phenotype of abnormalities in the long bones, an underdeveloped jawbone, and short fingers that is caused by a duplication in RUNX2 (6). Finally, RUNX2 has been shown to be upregulated in mouse models of the joint disorder osteoarthritis (OA) and may be a potential molecular target for disease treatment (7).

Alternative names for RUNX2 include Acute myeloid leukemia 3 protein CBFA1, CBF-alpha-1, CCD1, CCDAML3, CLCD, Core-binding factor subunit alpha-1, MGC120023, ML3, oncogene AML-3, OSF2, osteoblast-specific transcription factor 2, PEA2aA, PEA2-alpha A, PEBP2A, polyomavirus enhancer-binding protein 2 alpha A subunit, runt related transcription factor 2, SL3/AKV core-binding factor alpha A subunit, and SL3-3 enhancer factor 1 alpha A subunit.

References

1. Ferreira, L. B., Gimba, E., Vinagre, J., Sobrinho-Simoes, M., & Soares, P. (2020). Molecular Aspects of Thyroid Calcification. International journal of molecular sciences. https://doi.org/10.3390/ijms21207718

2. Kim, W. J., Shin, H. L., Kim, B. S., Kim, H. J., & Ryoo, H. M. (2020). RUNX2-modifying enzymes: therapeutic targets for bone diseases. Experimental & molecular medicine. https://doi.org/10.1038/s12276-020-0471-4

3. Vimalraj, S., Arumugam, B., Miranda, P. J., & Selvamurugan, N. (2015). Runx2: Structure, function, and phosphorylation in osteoblast differentiation. International journal of biological macromolecules. https://doi.org/10.1016/j.ijbiomac.2015.04.008

4. Uniprot (Q13950)

5. Komori T. (2017). Roles of Runx2 in Skeletal Development. Advances in experimental medicine and biology. https://doi.org/10.1007/978-981-10-3233-2_6

6. Moffatt, P., Ben Amor, M., Glorieux, F. H., Roschger, P., Klaushofer, K., Schwartzentruber, J. A., Paterson, A. D., Hu, P., Marshall, C., FORGE Canada Consortium, Fahiminiya, S., Majewski, J., Beaulieu, C. L., Boycott, K. M., & Rauch, F. (2013). Metaphyseal dysplasia with maxillary hypoplasia and brachydactyly is caused by a duplication in RUNX2. American journal of human genetics. https://doi.org/10.1016/j.ajhg.2012.12.001

7. Chen, D., Kim, D. J., Shen, J., Zou, Z., & O'Keefe, R. J. (2019). Runx2 plays a central role in Osteoarthritis development. Journal of orthopaedic translation. https://doi.org/10.1016/j.jot.2019.11.008

Long Name

Runt-related Transcription Factor 2

Alternate Names

CBFA1

Gene Symbol

RUNX2

UniProt

Additional RUNX2/CBFA1 Products

Product Documents for RUNX2/CBFA1 Antibody - BSA Free

Certificate of Analysis

To download a Certificate of Analysis, please enter a lot number in the search box below.

Product Specific Notices for RUNX2/CBFA1 Antibody - BSA Free

This product is for research use only and is not approved for use in humans or in clinical diagnosis. Primary Antibodies are guaranteed for 1 year from date of receipt.

Loading...
Loading...
Loading...
Loading...
Loading...