Skip to main content

RUNX1/CBFA2 Antibody (SD0803)

Novus Biologicals, part of Bio-Techne | Catalog # NBP2-67779

Recombinant Monoclonal Antibody
Novus Biologicals, part of Bio-Techne
Catalog #
Availability
Size / Price
Qty
Loading...
NBP2-67779

Key Product Details

Species Reactivity

Human, Mouse, Rat

Applications

Immunohistochemistry, Immunohistochemistry-Paraffin, Western Blot, Flow Cytometry, Immunocytochemistry/ Immunofluorescence, Immunoprecipitation

Label

Unconjugated

Antibody Source

Recombinant Monoclonal Rabbit IgG Clone # SD0803 expressed in HEK293

Concentration

1 mg/ml

Product Specifications

Immunogen

Synthetic peptide within Human RUNX1/CBFA2 aa 404-453 / 453. (SwissProt: Q01196 Human; SwissProt: Q13761 Human; SwissProt: Q13950 Human; SwissProt: Q03347 Mouse; SwissProt: Q08775 Mouse; SwissProt: Q64131 Mouse; SwissProt: Q63046 Rat; SwissProt: Q9Z2J9 Rat)

Localization

Nucleus, Cytoplasm.

Clonality

Monoclonal

Host

Rabbit

Isotype

IgG

Description

Novus Biologicals Rabbit RUNX1/CBFA2 Antibody (SD0803) (NBP2-67779) is a recombinant monoclonal antibody validated for use in IHC, WB, Flow, ICC/IF and IP. All Novus Biologicals antibodies are covered by our 100% guarantee.

Scientific Data Images for RUNX1/CBFA2 Antibody (SD0803)

Western Blot: RUNX1/CBFA2 Antibody (SD0803) [NBP2-67779]

Western Blot: RUNX1/CBFA2 Antibody (SD0803) [NBP2-67779]

Western Blot: RUNX1/CBFA2 Antibody (SD0803) [NBP2-67779] - Analysis of RUNX1+RUNX2+RUNX3 on Jurkat cells lysates using anti-RUNX1+RUNX2+RUNX3 antibody at 1/1,000 dilution.
Immunocytochemistry/ Immunofluorescence: RUNX1/CBFA2 Antibody (SD0803) [NBP2-67779]

Immunocytochemistry/ Immunofluorescence: RUNX1/CBFA2 Antibody (SD0803) [NBP2-67779]

Immunocytochemistry/Immunofluorescence: RUNX1/CBFA2 Antibody (SD0803) [NBP2-67779] - Staining RUNX1+RUNX2+RUNX3 in N2A cells (green). The nuclear counter stain is DAPI (blue). Cells were fixed in paraformaldehyde, permeabilised with 0.25% Triton X100/PBS.
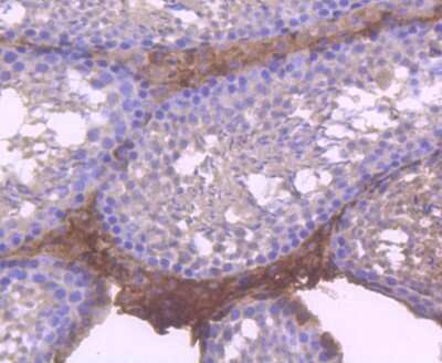
Immunohistochemistry-Paraffin: RUNX1/CBFA2 Antibody (SD0803) [NBP2-67779]

Immunohistochemistry-Paraffin: RUNX1/CBFA2 Antibody (SD0803) [NBP2-67779]

Immunohistochemistry-Paraffin: RUNX1/CBFA2 Antibody (SD0803) [NBP2-67779] - Analysis of paraffin-embedded mouse testis tissue using anti-RUNX1+RUNX2+RUNX3 antibody. Counter stained with hematoxylin.

Applications for RUNX1/CBFA2 Antibody (SD0803)

Application
Recommended Usage

Flow Cytometry

1:50-1:100

Immunocytochemistry/ Immunofluorescence

1:50-1:200

Immunohistochemistry-Paraffin

1:50-1:200

Western Blot

1:500-1:2000

Formulation, Preparation, and Storage

Purification

Protein A purified

Formulation

TBS (pH7.4), 0.05% BSA, 40% Glycerol

Preservative

0.05% Sodium Azide

Concentration

1 mg/ml

Shipping

The product is shipped with polar packs. Upon receipt, store it immediately at the temperature recommended below.

Stability & Storage

Store at 4C short term. Aliquot and store at -20C long term. Avoid freeze-thaw cycles.

Background: RUNX1/CBFA2

Core binding factor (CBF) is a heterodimeric transcription factor that binds to the core element of many enhancers and promoters. The protein encoded by this gene represents the alpha subunit of CBF and is thought to be involved in the development of normal hematopoiesis. Chromosomal translocations involving this gene are well-documented and have been associated with several types of leukemia. Three transcript variants encoding different isoforms have been found for this gene.

Long Name

Runt-related Transcription Factor 1

Alternate Names

AML1, CBFA2

Gene Symbol

RUNX1

Additional RUNX1/CBFA2 Products

Product Documents for RUNX1/CBFA2 Antibody (SD0803)

Certificate of Analysis

To download a Certificate of Analysis, please enter a lot number in the search box below.

Product Specific Notices for RUNX1/CBFA2 Antibody (SD0803)

This product is for research use only and is not approved for use in humans or in clinical diagnosis. Primary Antibodies are guaranteed for 1 year from date of receipt.

Loading...
Loading...
Loading...
Loading...
Loading...