Skip to main content

RTCD1 Antibody - BSA Free

Novus Biologicals, part of Bio-Techne | Catalog # NBP1-87113

Novus Biologicals, part of Bio-Techne
Catalog #
Availability
Size / Price
Qty
Loading...
NBP1-87113

Key Product Details

Validated by

Independent Antibodies

Species Reactivity

Validated:

Human, Mouse, Rat, Drosophila

Cited:

Mouse

Applications

Validated:

Immunohistochemistry, Immunohistochemistry-Paraffin, Western Blot, Immunocytochemistry/ Immunofluorescence

Cited:

Western Blot, IF/IHC

Label

Unconjugated

Antibody Source

Polyclonal Rabbit IgG

Format

BSA Free

Concentration

Concentrations vary lot to lot. See vial label for concentration. If unlisted please contact technical services.

Product Specifications

Immunogen

This antibody was developed against Recombinant Protein corresponding to amino acids: LFAASPSELHLKGGTNAEMAPQIDYTVMVFKPIVEKFGFIFNCDIKTRGYYPKGGGEVIVRMSPVKQLNPINLTERGCVTKIY

Reactivity Notes

Drosophila reactivity reported in scientific literature (PMID: 25961792).

Clonality

Polyclonal

Host

Rabbit

Isotype

IgG

Scientific Data Images for RTCD1 Antibody - BSA Free

Western Blot: RTCD1 Antibody [NBP1-87113]

Western Blot: RTCD1 Antibody [NBP1-87113]

Western Blot: RTCD1 Antibody [NBP1-87113] - Analysis using Anti-RTCA antibody NBP1-87113 (A) shows similar pattern to independent antibody NBP2-58714 (B).
Immunocytochemistry/ Immunofluorescence: RTCD1 Antibody [NBP1-87113]

Immunocytochemistry/ Immunofluorescence: RTCD1 Antibody [NBP1-87113]

Immunocytochemistry/Immunofluorescence: RTCD1 Antibody [NBP1-87113] - Staining of human cell line A-431 shows localization to nucleus.
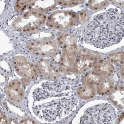
Immunohistochemistry-Paraffin: RTCD1 Antibody [NBP1-87113]

Immunohistochemistry-Paraffin: RTCD1 Antibody [NBP1-87113]

Immunohistochemistry-Paraffin: RTCD1 Antibody [NBP1-87113] - Staining of human kidney shows moderate nuclear and cytoplasmic positivity in cells in tubules.

Applications for RTCD1 Antibody - BSA Free

Application
Recommended Usage

Immunocytochemistry/ Immunofluorescence

0.25-2 ug/ml

Immunohistochemistry

1:50 - 1:200

Immunohistochemistry-Paraffin

1:50 - 1:200

Western Blot

0.04-0.4 ug/ml
Application Notes
IHC, WB reported in scientific literature (PMID: 25961792). For IHC-Paraffin, HIER pH 6 retrieval is recommended. IF fixation permeabilization: PFA/Triton X-100.

Formulation, Preparation, and Storage

Purification

Affinity purified

Formulation

PBS (pH 7.2) and 40% Glycerol

Format

BSA Free

Preservative

0.02% Sodium Azide

Concentration

Concentrations vary lot to lot. See vial label for concentration. If unlisted please contact technical services.

Shipping

The product is shipped with polar packs. Upon receipt, store it immediately at the temperature recommended below.

Stability & Storage

Store at 4C short term. Aliquot and store at -20C long term. Avoid freeze-thaw cycles.

Background: RTCD1

RNA 3-prime-terminal phosphate cyclase (RPC; EC 6.5.1.4) catalyzes the ATP-dependent conversion of a 3-prime phosphate to a 2-prime,3-prime-cyclic phosphodiester at the end of RNA (Genschik et al., 1997 [PubMed 9184239]).[supplied by OMIM]

Alternate Names

phosphate cyclase, RNA 3'-terminal phosphate cyclase, RNA cyclase, RNA terminal phosphate cyclase domain 1, RNA terminal phosphate cyclase domain-containing protein 1, RNA-3'-phosphate cyclase, RPC1, RPCEC 6.5.1.4, RTC domain containing 1, RTC domain-containing protein 1, RTC1

Gene Symbol

RTCA

Additional RTCD1 Products

Product Documents for RTCD1 Antibody - BSA Free

Certificate of Analysis

To download a Certificate of Analysis, please enter a lot number in the search box below.

Product Specific Notices for RTCD1 Antibody - BSA Free

This product is for research use only and is not approved for use in humans or in clinical diagnosis. Primary Antibodies are guaranteed for 1 year from date of receipt.

Loading...
Loading...
Loading...
Loading...