Skip to main content

RRP7A Antibody - BSA Free

Novus Biologicals, part of Bio-Techne | Catalog # NBP3-46648

Novus Biologicals, part of Bio-Techne
Catalog #
Availability
Size / Price
Qty
Loading...
NBP3-46648

Key Product Details

Species Reactivity

Human, Mouse

Applications

ELISA, Immunocytochemistry/ Immunofluorescence, Immunohistochemistry, Western Blot

Label

Unconjugated

Antibody Source

Polyclonal Rabbit IgG

Format

BSA Free

Concentration

Please see the vial label for concentration. If unlisted please contact technical services.

Product Specifications

Immunogen

ribosomal RNA processing 7 homolog A. (Uniprot# Q9Y3A4)

Clonality

Polyclonal

Host

Rabbit

Isotype

IgG

Theoretical MW

42 kDa.
Disclaimer note: The observed molecular weight of the protein may vary from the listed predicted molecular weight due to post translational modifications, post translation cleavages, relative charges, and other experimental factors.

Description

Novus Biologicals Rabbit RRP7A Antibody - BSA Free (NBP3-46648) is a polyclonal antibody validated for use in IHC, WB, ELISA and ICC/IF. All Novus Biologicals antibodies are covered by our 100% guarantee.

Scientific Data Images for RRP7A Antibody - BSA Free

RRP7A Antibody - BSA Free

Western Blot: RRP7A Antibody - BSA Free [NBP3-46648] -

Western Blot: RRP7A Antibody - BSA Free [NBP3-46648] - Mouse thymus tissue were subjected to SDS PAGE followed by western blot with (RRP7A Antibody) at dilution of 1:1000
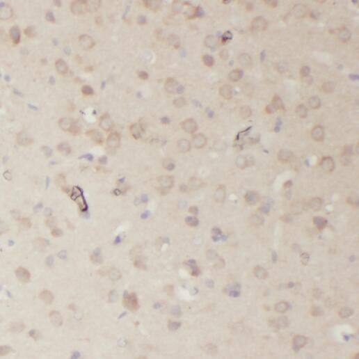
RRP7A Antibody - BSA Free

Immunohistochemistry: RRP7A Antibody - BSA Free [NBP3-46648] -

Immunohistochemistry: RRP7A Antibody - BSA Free [NBP3-46648] - Immunohistochemistry of paraffin-embedded human brain tissue slide using (RRP7A Antibody) at dilution of 1:50

Applications for RRP7A Antibody - BSA Free

Application
Recommended Usage

Immunocytochemistry/ Immunofluorescence

1:20-1:200

Immunohistochemistry

1:20-1:200

Western Blot

1:500-1:2000

Formulation, Preparation, and Storage

Purification

Immunogen affinity purified

Formulation

PBS, 50% Glycerol, pH (7.3)

Format

BSA Free

Preservative

0.02% Sodium Azide

Concentration

Please see the vial label for concentration. If unlisted please contact technical services.

Shipping

The product is shipped with polar packs. Upon receipt, store it immediately at the temperature recommended below.

Stability & Storage

Store at -20C. Avoid freeze-thaw cycles.

Background: RRP7A

The RRP7A gene encodes a 280 amino acid, 32 kDA ribosomal RNA-processing protein 7 homolog A that has been linked to gastric cancer. The RRP7A gene participates in the ribosome biogenesis in eukaryotes and has been known to interact with genes UBC, SIRT7, MAPK6, and GABARAP.

Alternate Names

BK126B4.3, CGI-96, CTA-126B4.5, Gastric cancer antigen Zg14, MGC150422, MGC150423, ribosomal RNA processing 7 homolog A (S. cerevisiae), ribosomal RNA-processing protein 7 homolog A

Gene Symbol

RRP7A

Additional RRP7A Products

Product Documents for RRP7A Antibody - BSA Free

Certificate of Analysis

To download a Certificate of Analysis, please enter a lot number in the search box below.

Product Specific Notices for RRP7A Antibody - BSA Free

This product is for research use only and is not approved for use in humans or in clinical diagnosis. Primary Antibodies are guaranteed for 1 year from date of receipt.

Loading...
Loading...
Loading...
Loading...