Skip to main content

RRBP1 Antibody - BSA Free

Novus Biologicals, part of Bio-Techne | Catalog # NBP1-32813

Novus Biologicals, part of Bio-Techne
Catalog #
Availability
Size / Price
Qty
Loading...
NBP1-32813

Key Product Details

Validated by

Knockout/Knockdown

Species Reactivity

Validated:

Human, Mouse

Cited:

Human

Applications

Validated:

Immunohistochemistry, Immunohistochemistry-Paraffin, Western Blot, Immunocytochemistry/ Immunofluorescence, Knockdown Validated

Cited:

Immunocytochemistry/ Immunofluorescence

Label

Unconjugated

Antibody Source

Polyclonal Rabbit IgG

Format

BSA Free

Concentration

Concentrations vary lot to lot. See vial label for concentration. If unlisted please contact technical services.

Product Specifications

Immunogen

Recombinant protein encompassing a sequence within the C-terminus region of human RRBP1. The exact sequence is proprietary.

Reactivity Notes

Immunogen displays the following percentage of sequence identity for non-tested species: Canine (83%).

Localization

Endoplasmic reticulum membrane, Single-pass type III membrane protein

Clonality

Polyclonal

Host

Rabbit

Isotype

IgG

Theoretical MW

152 kDa.
Disclaimer note: The observed molecular weight of the protein may vary from the listed predicted molecular weight due to post translational modifications, post translation cleavages, relative charges, and other experimental factors.

Scientific Data Images for RRBP1 Antibody - BSA Free

Western Blot: RRBP1 Antibody [NBP1-32813]

Western Blot: RRBP1 Antibody [NBP1-32813]

Western Blot: RRBP1 Antibody [NBP1-32813] - Ribosome binding protein 1 antibody validation by siRNA knock-down.

Upper panel: Ribosome binding protein 1 antibody; Lower panel: Vinculin antibody
A. 30 ug HepG2 whole cell lysate/extract
B. 30 ug whole cell lysate/extract of RRBP1 siRNA#1-transfected HepG2 cells
C. 30 ug whole cell lysate/extract of RRBP1 siRNA#2-transfected HepG2 cells

5% SDS-PAGE. HRP-conjugated anti-rabbit IgG antibody was used to detect the primary antibody.
Immunocytochemistry/ Immunofluorescence: RRBP1 Antibody [NBP1-32813]

Immunocytochemistry/ Immunofluorescence: RRBP1 Antibody [NBP1-32813]

Immunocytochemistry/Immunofluorescence: RRBP1 Antibody [NBP1-32813] - Analysis of methanol-fixed HeLa, using Ribosome binding protein 1 antibody (Green) at 1:500 dilution. Alpha-tubulin filaments were labeled with an alpha Tubulin antibody (Red) at 1:2500.
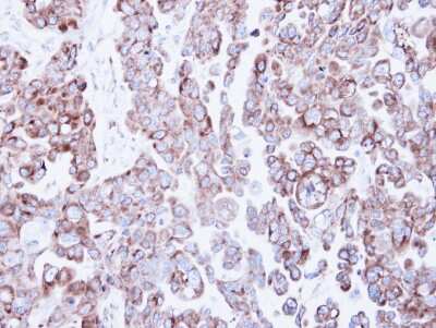
Immunohistochemistry-Paraffin: RRBP1 Antibody [NBP1-32813]

Immunohistochemistry-Paraffin: RRBP1 Antibody [NBP1-32813]

Immunohistochemistry-Paraffin: RRBP1 Antibody [NBP1-32813] - OVCAR3 xenograft, using Ribosome binding protein 1 antibody at 1:500 dilution. Antigen Retrieval: Trilogy™ (EDTA based, pH 8.0) buffer, 15min

Applications for RRBP1 Antibody - BSA Free

Application
Recommended Usage

Immunocytochemistry/ Immunofluorescence

1:100-1:1000

Immunohistochemistry

1:100-1:1000

Immunohistochemistry-Paraffin

1:100-1:1000

Western Blot

1:500-1:3000

Formulation, Preparation, and Storage

Purification

Antigen Affinity-purified

Formulation

PBS, 40% Glycerol

Format

BSA Free

Preservative

0.01% Thimerosal

Concentration

Concentrations vary lot to lot. See vial label for concentration. If unlisted please contact technical services.

Shipping

The product is shipped with polar packs. Upon receipt, store it immediately at the temperature recommended below.

Stability & Storage

Aliquot and store at -20C or -80C. Avoid freeze-thaw cycles.

Background: RRBP1

Analysis of cDNA clones indicates that ribosome binding protein 1 may exist in different forms due to removal of tandem repeats, or partial intraexonic splicing of RRBP1. The form presented here is lacking the canine p180 ribosome-binding domain, NQGKKAEGAQ, which is tandemly repeated close to the N-terminus in other forms that haven't been fully characterized. RRBP1 has been excluded as a candidate gene in the cause of Alagille syndrome. Alternate splicing results in multiple transcript variants. (provided by RefSeq)

Alternate Names

180 kDa ribosome receptor homolog, DKFZp586A1420, ES/130, ES/130-related protein, ES130, FLJ36146, hES, KIAA1398, MGC157720, MGC157721, ribosome binding protein 1 (dog 180kD homolog), ribosome binding protein 1 homolog 180kDa (dog), Ribosome receptor protein, ribosome-binding protein 1, RRp

Gene Symbol

RRBP1

Additional RRBP1 Products

Product Documents for RRBP1 Antibody - BSA Free

Certificate of Analysis

To download a Certificate of Analysis, please enter a lot number in the search box below.

Product Specific Notices for RRBP1 Antibody - BSA Free

This product is for research use only and is not approved for use in humans or in clinical diagnosis. Primary Antibodies are guaranteed for 1 year from date of receipt.

Loading...
Loading...
Loading...
Loading...

⚠ WARNING: This product can expose you to chemicals including mercury, which is known to the State of California to cause reproductive toxicity with developmental effects.  For more information go to www.P65Warnings.ca.gov.