Skip to main content

RPTN Antibody - BSA Free

Novus Biologicals, part of Bio-Techne | Catalog # NBP1-93792

Novus Biologicals, part of Bio-Techne
Catalog #
Availability
Size / Price
Qty
Loading...
NBP1-93792
NBP1-93792-25ul

Key Product Details

Validated by

Orthogonal Validation, Independent Antibodies

Species Reactivity

Human

Applications

Immunohistochemistry, Immunohistochemistry-Paraffin

Label

Unconjugated

Antibody Source

Polyclonal Rabbit IgG

Format

BSA Free

Concentration

Concentrations vary lot to lot. See vial label for concentration. If unlisted please contact technical services.

Product Specifications

Immunogen

This antibody was developed against Recombinant Protein corresponding to amino acids: KSGSYCGQSERLGQELGCGQTDRQGQSSHYGQTDRQDQSYHYGQTDRQGQSSHYSQTDRQGQSSHYSQPDRQGQSSHYGQMD

Clonality

Polyclonal

Host

Rabbit

Isotype

IgG

Description

Novus Biologicals Rabbit RPTN Antibody - BSA Free (NBP1-93792) is a polyclonal antibody validated for use in IHC. All Novus Biologicals antibodies are covered by our 100% guarantee.

Scientific Data Images for RPTN Antibody - BSA Free

Immunohistochemistry-Paraffin: RPTN Antibody [NBP1-93792]

Immunohistochemistry-Paraffin: RPTN Antibody [NBP1-93792]

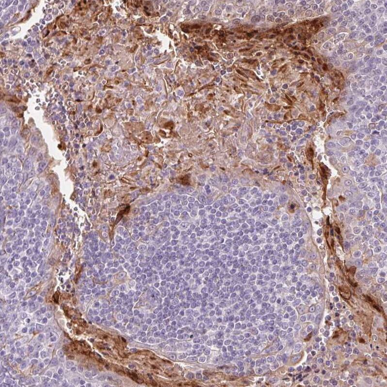
Immunohistochemistry-Paraffin: RPTN Antibody [NBP1-93792] - Staining in human tonsil and cerebral cortex tissues using anti-RPTN antibody. Corresponding RPTN RNA-seq data are presented for the same tissues.
Immunohistochemistry-Paraffin: RPTN Antibody [NBP1-93792]

Immunohistochemistry-Paraffin: RPTN Antibody [NBP1-93792]

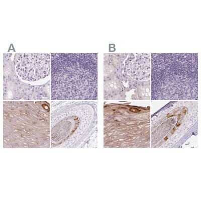
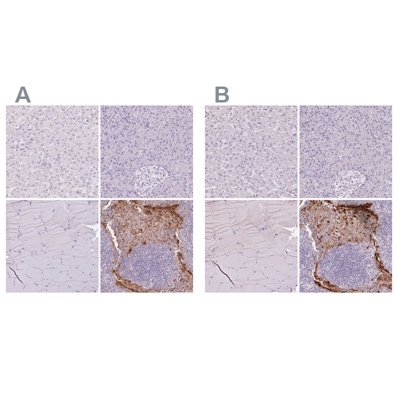
Immunohistochemistry-Paraffin: RPTN Antibody [NBP1-93792] - Staining of human kidney, lymph node, skin and skin, hairy using Anti-RPTN antibody NBP1-93792 (A) shows similar protein distribution across tissues to independent antibody NBP2-38159 (B).
Immunohistochemistry-Paraffin: RPTN Antibody [NBP1-93792]

Immunohistochemistry-Paraffin: RPTN Antibody [NBP1-93792]

Immunohistochemistry-Paraffin: RPTN Antibody [NBP1-93792] - Staining of human kidney.

Applications for RPTN Antibody - BSA Free

Application
Recommended Usage

Immunohistochemistry

1:5000 - 1:10000

Immunohistochemistry-Paraffin

1:5000 - 1:10000
Application Notes
For IHC-Paraffin, HIER pH 6 retrieval is recommended.

Formulation, Preparation, and Storage

Purification

Immunogen affinity purified

Formulation

PBS (pH 7.2) and 40% Glycerol

Format

BSA Free

Preservative

0.02% Sodium Azide

Concentration

Concentrations vary lot to lot. See vial label for concentration. If unlisted please contact technical services.

Shipping

The product is shipped with polar packs. Upon receipt, store it immediately at the temperature recommended below.

Stability & Storage

Store at 4C short term. Aliquot and store at -20C long term. Avoid freeze-thaw cycles.

Background: RPTN

Alternate Names

FLJ39117, intermediate filament-associated protein, repetin

Gene Symbol

RPTN

Additional RPTN Products

Product Documents for RPTN Antibody - BSA Free

Certificate of Analysis

To download a Certificate of Analysis, please enter a lot number in the search box below.

Product Specific Notices for RPTN Antibody - BSA Free

This product is for research use only and is not approved for use in humans or in clinical diagnosis. Primary Antibodies are guaranteed for 1 year from date of receipt.

Loading...
Loading...
Loading...
Loading...