Skip to main content

RPS26 Antibody - BSA Free

Novus Biologicals, part of Bio-Techne | Catalog # NBP3-46660

Novus Biologicals, part of Bio-Techne
Catalog #
Availability
Size / Price
Qty
Loading...
NBP3-46660

Key Product Details

Species Reactivity

Human, Mouse, Rat

Applications

ELISA, Immunocytochemistry/ Immunofluorescence, Immunohistochemistry, Immunoprecipitation, Western Blot

Label

Unconjugated

Antibody Source

Polyclonal Rabbit IgG

Format

BSA Free

Concentration

Please see the vial label for concentration. If unlisted please contact technical services.

Product Specifications

Immunogen

ribosomal protein S26. (Uniprot# P62854)

Clonality

Polyclonal

Host

Rabbit

Isotype

IgG

Theoretical MW

16 kDa.
Disclaimer note: The observed molecular weight of the protein may vary from the listed predicted molecular weight due to post translational modifications, post translation cleavages, relative charges, and other experimental factors.

Description

Novus Biologicals Rabbit RPS26 Antibody - BSA Free (NBP3-46660) is a polyclonal antibody validated for use in IHC, WB, ELISA, ICC/IF and IP. All Novus Biologicals antibodies are covered by our 100% guarantee.

Scientific Data Images for RPS26 Antibody - BSA Free

RPS26 Antibody - BSA Free

Western Blot: RPS26 Antibody - BSA Free [NBP3-46660] -

Western Blot: RPS26 Antibody - BSA Free [NBP3-46660] - Mouse ovary tissue were subjected to SDS PAGE followed by western blot with (RPS26 antibody) at dilution of 1:200
RPS26 Antibody - BSA Free

Immunoprecipitation: RPS26 Antibody - BSA Free [NBP3-46660] -

Immunoprecipitation: RPS26 Antibody - BSA Free [NBP3-46660] - IP Result of anti-RPS26 (IP:, 4ug; Detection: 1:500) with mouse lung tissue lysate 4000ug.
RPS26 Antibody - BSA Free

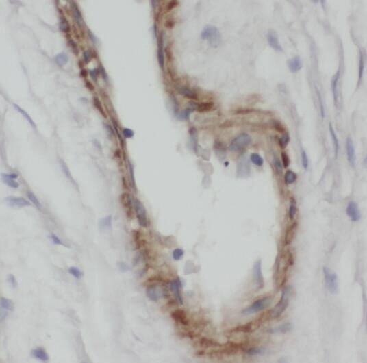
Immunohistochemistry: RPS26 Antibody - BSA Free [NBP3-46660] -

Immunohistochemistry: RPS26 Antibody - BSA Free [NBP3-46660] - Immunohistochemistry of paraffin-embedded human breast cancer tissue slide using (RPS26 Antibody) at dilution of 1:50

Applications for RPS26 Antibody - BSA Free

Application
Recommended Usage

Immunocytochemistry/ Immunofluorescence

1:20-1:200

Immunohistochemistry

1:20-1:200

Immunoprecipitation

1:200-1:1000

Western Blot

1:500-1:2000

Formulation, Preparation, and Storage

Purification

Immunogen affinity purified

Formulation

PBS, 50% Glycerol, pH (7.3)

Format

BSA Free

Preservative

0.02% Sodium Azide

Concentration

Please see the vial label for concentration. If unlisted please contact technical services.

Shipping

The product is shipped with polar packs. Upon receipt, store it immediately at the temperature recommended below.

Stability & Storage

Store at -20C. Avoid freeze-thaw cycles.

Background: RPS26

RPS26 - ribosomal protein S26

Alternate Names

40S ribosomal protein S26, DBA10, MGC104292, ribosomal protein S26

Gene Symbol

RPS26

Additional RPS26 Products

Product Documents for RPS26 Antibody - BSA Free

Certificate of Analysis

To download a Certificate of Analysis, please enter a lot number in the search box below.

Product Specific Notices for RPS26 Antibody - BSA Free

This product is for research use only and is not approved for use in humans or in clinical diagnosis. Primary Antibodies are guaranteed for 1 year from date of receipt.

Loading...
Loading...
Loading...
Loading...