RPS10 Antibody - BSA Free
Novus Biologicals, part of Bio-Techne | Catalog # NBP1-31357
Key Product Details
Species Reactivity
Validated:
Human, Mouse
Predicted:
Bovine (100%), Monkey (100%), Porcine (99%), Rat (98%). Backed by our 100% Guarantee.
Applications
Immunohistochemistry, Immunohistochemistry-Paraffin, Western Blot, Immunocytochemistry/ Immunofluorescence
Label
Unconjugated
Antibody Source
Polyclonal Rabbit IgG
Format
BSA Free
Concentration
Concentrations vary lot to lot. See vial label for concentration. If unlisted please contact technical services.
Product Specifications
Immunogen
Recombinant protein encompassing a sequence within the center region of human RPS10. The exact sequence is proprietary.
Localization
Cytoplasm
Clonality
Polyclonal
Host
Rabbit
Isotype
IgG
Theoretical MW
19 kDa.
Disclaimer note: The observed molecular weight of the protein may vary from the listed predicted molecular weight due to post translational modifications, post translation cleavages, relative charges, and other experimental factors.
Disclaimer note: The observed molecular weight of the protein may vary from the listed predicted molecular weight due to post translational modifications, post translation cleavages, relative charges, and other experimental factors.
Scientific Data Images for RPS10 Antibody - BSA Free
Western Blot: RPS10 Antibody [NBP1-31357]
Western Blot: RPS10 Antibody [NBP1-31357] - Sample (50 ug of whole cell lysate) A: Mouse brain 12% SDS PAGE diluted at 1:1000 The HRP-conjugated anti-rabbit IgG antibody (NBP2-19301) was used to detect the primary antibody.Immunocytochemistry/ Immunofluorescence: RPS10 Antibody [NBP1-31357]
Immunocytochemistry/Immunofluorescence: RPS10 Antibody [NBP1-31357] - Sample: HeLa cells were fixed in 4% paraformaldehyde at RT for 15 min. Green: RPS10 protein stained by RPS10 antibody diluted at 1:500. Blue: Hoechst 33343 staining.Immunohistochemistry-Paraffin: RPS10 Antibody [NBP1-31357]
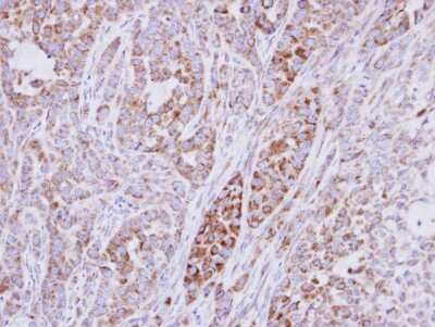
Immunohistochemistry-Paraffin: RPS10 Antibody [NBP1-31357] - Paraffin-embedded mouse colon diluted at 1:500.Applications for RPS10 Antibody - BSA Free
Application
Recommended Usage
Immunocytochemistry/ Immunofluorescence
1:100-1:1000
Immunohistochemistry
1:100-1:1000
Immunohistochemistry-Paraffin
1:100-1:1000
Western Blot
1:500-1:3000
Formulation, Preparation, and Storage
Purification
Antigen Affinity-purified
Formulation
0.1M Tris, 0.1M Glycine, 10% Glycerol
Format
BSA Free
Preservative
0.01% Thimerosal
Concentration
Concentrations vary lot to lot. See vial label for concentration. If unlisted please contact technical services.
Shipping
The product is shipped with polar packs. Upon receipt, store it immediately at the temperature recommended below.
Stability & Storage
Aliquot and store at -20C or -80C. Avoid freeze-thaw cycles.
Background: RPS10
Alternate Names
DBA9,40S ribosomal protein S10, MGC88819, ribosomal protein S10
Entrez Gene IDs
6204 (Human)
Gene Symbol
RPS10
UniProt
Additional RPS10 Products
Product Documents for RPS10 Antibody - BSA Free
Product Specific Notices for RPS10 Antibody - BSA Free
This product is for research use only and is not approved for use in humans or in clinical diagnosis. Primary Antibodies are guaranteed for 1 year from date of receipt.
Loading...
Loading...
Loading...
Loading...
⚠ WARNING: This product can expose you to chemicals including mercury, which is known to the State of California to cause reproductive toxicity with developmental effects. For more information go to www.P65Warnings.ca.gov.