Skip to main content

RPA70 Antibody - BSA Free

Novus Biologicals, part of Bio-Techne | Catalog # NBP3-35085

Novus Biologicals, part of Bio-Techne
Catalog #
Availability
Size / Price
Qty
Loading...
NBP3-35085-100ul
NBP3-35085-20ul

Key Product Details

Species Reactivity

Human

Applications

ELISA, Immunohistochemistry, Immunohistochemistry-Paraffin, Western Blot

Label

Unconjugated

Antibody Source

Polyclonal Rabbit IgG

Format

BSA Free

Concentration

Please see the vial label for concentration. If unlisted please contact technical services.

Product Specifications

Immunogen

Recombinant fusion protein containing a sequence corresponding to amino acids 1-240 of human RPA70 (NP_002936.1).

Sequence:
MVGQLSEGAIAAIMQKGDTNIKPILQVINIRPITTGNSPPRYRLLMSDGLNTLSSFMLATQLNPLVEEEQLSSNCVCQIHRFIVNTLKDGRRVVILMELEVLKSAEAVGVKIGNPVPYNEGLGQPQVAPPAPAASPAASSRPQPQNGSSGMGSTVSKAYGASKTFGKAAGPSLSHTSGGTQSKVVPIASLTPYQSKWTICARVTNKSQIRTWSNSRGEGKLFSLELVDESGEIRATAFNE

Clonality

Polyclonal

Host

Rabbit

Isotype

IgG

Theoretical MW

68 kDa.
Disclaimer note: The observed molecular weight of the protein may vary from the listed predicted molecular weight due to post translational modifications, post translation cleavages, relative charges, and other experimental factors.

Description

Novus Biologicals Rabbit RPA70 Antibody - BSA Free (NBP3-35085) is a polyclonal antibody validated for use in IHC, WB and ELISA. All Novus Biologicals antibodies are covered by our 100% guarantee.

Scientific Data Images for RPA70 Antibody - BSA Free

RPA70 Antibody

Western Blot: RPA70 Antibody [NBP3-35085] -

Western Blot: RPA70 Antibody [NBP3-35085] - Western blot analysis of various lysates using RPA70 Rabbit pAb at 1:3000 dilution.
Secondary antibody: HRP-conjugated Goat anti-Rabbit IgG (H+L) at 1:10000 dilution.
Lysates/proteins: 25ug per lane.
Blocking buffer: 3% nonfat dry milk in TBST.
Detection: ECL Basic Kit.
Exposure time: 30s.
RPA70 Antibody

Immunohistochemistry: RPA70 Antibody [NBP3-35085] -

Immunohistochemistry: RPA70 Antibody [NBP3-35085] - Immunohistochemistry analysis of paraffin-embedded Human uterus using RPA70 Rabbit pAb at dilution of 1:100 (40x lens). Microwave antigen retrieval performed with 0.01M PBS Buffer (pH 7.2) prior to IHC staining.
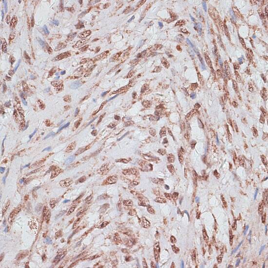
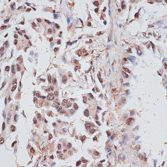
RPA70 Antibody

Immunohistochemistry: RPA70 Antibody [NBP3-35085] -

Immunohistochemistry: RPA70 Antibody [NBP3-35085] - Immunohistochemistry analysis of paraffin-embedded Human lung cancer using RPA70 Rabbit pAb at dilution of 1:100 (40x lens). Microwave antigen retrieval performed with 0.01M PBS Buffer (pH 7.2) prior to IHC staining.

Applications for RPA70 Antibody - BSA Free

Application
Recommended Usage

Immunohistochemistry-Paraffin

1:50 - 1:100

Western Blot

1:500 - 1:2000

Formulation, Preparation, and Storage

Purification

Affinity purified

Formulation

PBS (pH 7.3), 50% glycerol

Format

BSA Free

Preservative

0.01% Thimerosal

Concentration

Please see the vial label for concentration. If unlisted please contact technical services.

Shipping

The product is shipped with polar packs. Upon receipt, store it immediately at the temperature recommended below.

Stability & Storage

Store at -20C. Avoid freeze-thaw cycles.

Background: RPA70

RPA (Replication protein A) is a stable heterotrimer of 70kDa, 32-34kDa, and 11-14kDa subunits (RPA70, RPA32, and RPA14 respectively). RPA is a single strand binding protein that is involved in replication, homologous recombination and nucleotide excision and repair. It colocalises with RAD51 on synapsed axes in meiosis, facilitating RAD51 function. Replication protein A acts as an auxiliary protein for DNA polymerases alpha and delta.

Alternate Names

HSSB, MST075, MSTP075, REPA1RF-A protein 1, Replication factor A protein 1, replication protein A 70 kDa DNA-binding subunit, replication protein A1 (70kD), replication protein A1, 70kDa, RF-A, RP-A, RPA70RP-A p70, Single-stranded DNA-binding protein

Gene Symbol

RPA1

Additional RPA70 Products

Product Documents for RPA70 Antibody - BSA Free

Certificate of Analysis

To download a Certificate of Analysis, please enter a lot number in the search box below.

Product Specific Notices for RPA70 Antibody - BSA Free

This product is for research use only and is not approved for use in humans or in clinical diagnosis. Primary Antibodies are guaranteed for 1 year from date of receipt.

Loading...
Loading...
Loading...
Loading...