Skip to main content

RNF20 Antibody - BSA Free

Novus Biologicals, part of Bio-Techne | Catalog # NB100-2243

Novus Biologicals, part of Bio-Techne

Key Product Details

Validated by

Independent Antibodies, Biological Validation

Species Reactivity

Validated:

Human, Mouse

Predicted:

Bovine (100%), Chicken (100%). Backed by our 100% Guarantee.

Applications

Immunohistochemistry, Immunohistochemistry-Paraffin, Western Blot, Immunoprecipitation

Label

Unconjugated

Antibody Source

Polyclonal Rabbit IgG

Format

BSA Free

Concentration

1.0 mg/ml

Product Specifications

Immunogen

The immunogen recognized by this antibody maps to a region between residue 125 and 175 of human Ring Finger 20 using the numbering given in entry NP_062538.5 (GeneID 56254).

Clonality

Polyclonal

Host

Rabbit

Isotype

IgG

Description

Novus Biologicals Rabbit RNF20 Antibody - BSA Free (NB100-2243) is a polyclonal antibody validated for use in IHC, WB and IP. All Novus Biologicals antibodies are covered by our 100% guarantee.

Scientific Data Images for RNF20 Antibody - BSA Free

Western Blot: RNF20 Antibody [NB100-2243]

Western Blot: RNF20 Antibody [NB100-2243]

Western Blot: RNF20 Antibody [NB100-2243] - Detection of Human RNF20 by Western Blot. Samples: Whole cell lysate (50 ug) from HeLa and 293T cells prepared using NETN lysis buffer. Antibody: Affinity purified rabbit anti-RNF20 antibody NB100-2243 used for WB at 0.1 ug/ml. Detection: Chemiluminescence with an exposure time of 30 seconds.
Immunohistochemistry-Paraffin: RNF20 Antibody [NB100-2243]

Immunohistochemistry-Paraffin: RNF20 Antibody [NB100-2243]

Immunohistochemistry-Paraffin: RNF20 Antibody [NB100-2243] - Sample: FFPE section of human ovarian carcinoma. Antibody: Affinity purified rabbit anti- RNF20 used at a dilution of 1:1,000 (1ug/ml). Detection: DAB
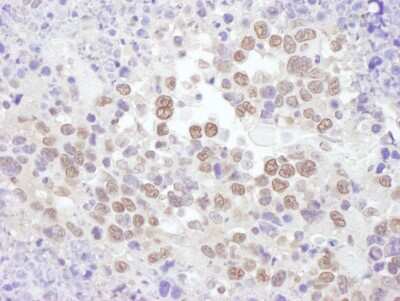
Immunohistochemistry-Paraffin: RNF20 Antibody [NB100-2243]

Immunohistochemistry-Paraffin: RNF20 Antibody [NB100-2243]

Immunohistochemistry-Paraffin: RNF20 Antibody [NB100-2243] - Sample: FFPE section of mouse plasmacytoma. Antibody: Affinity purified rabbit anti- RNF20 used at a dilution of 1:1,000 (1ug/ml). Detection: DAB

Applications for RNF20 Antibody - BSA Free

Application
Recommended Usage

Immunohistochemistry

1:500 - 1:2000

Immunohistochemistry-Paraffin

1:500 - 1:2000

Immunoprecipitation

2- 10 ug/mg lysate

Western Blot

1:2000-1:10000
Application Notes
Epitope retrieval with citrate buffer pH6.0 is recommended for FFPE tissue sections.

Formulation, Preparation, and Storage

Purification

Immunogen affinity purified

Formulation

Tris-Citrate/Phosphate (pH 7.0 - 8.0)

Format

BSA Free

Preservative

0.09% Sodium Azide

Concentration

1.0 mg/ml

Shipping

The product is shipped with polar packs. Upon receipt, store it immediately at the temperature recommended below.

Stability & Storage

Store at 4C. Do not freeze.

Background: RNF20

The conjugation of ubiquitin to proteins is an important means to regulate protein activity for many cellular processes. Targeting of proteins by ubiquitination occurs in three main steps that involve the activation of ubiquitin by E1 enzymes, the carrying of ubiquitin to the target protein by E2 enzymes, and the ligation of ubiquitin to the target protein by E3 enzymes. Ring finger protein 20 (RNF20) is a member of the RING type E3 ubiquitin ligases. RNF20 forms a complex with RNF40 to carry out H2B monoubiquitination in association with hPAF and the UbcH6 ubiquitin E2-conjugating enzyme. H2B monoubiquitination by RNF40/RNF20 has been shown to be associated with increased H3 methylation and gene transcription. Alternate names for RNF20 include E3 ubiquitin-protein ligase BRE1A, BRE1-A, hBRE1, FLJ11189, FLJ20382, KIAA2779, MGC129667, and MGC129668.

Alternate Names

BRE1, BRE1 E3 ubiquitin ligase homolog, BRE1-A, BRE1AMGC129667, E3 ubiquitin-protein ligase BRE1A, EC 6.3.2, EC 6.3.2.-, FLJ11189, FLJ20382, hBRE1MGC129668, homolog of S. cerevisiae BRE1, KAIA2779, ring finger protein 20KIAA2779

Entrez Gene IDs

56254 (Human)

Gene Symbol

RNF20

UniProt

Additional RNF20 Products

Product Documents for RNF20 Antibody - BSA Free

Certificate of Analysis

To download a Certificate of Analysis, please enter a lot number in the search box below.

Product Specific Notices for RNF20 Antibody - BSA Free

This product is for research use only and is not approved for use in humans or in clinical diagnosis. Primary Antibodies are guaranteed for 1 year from date of receipt.

Loading...
Loading...
Loading...
Loading...