Skip to main content

RNF20 Antibody (2H12) - BSA Free

Novus Biologicals, part of Bio-Techne | Catalog # NBP3-26341

Recombinant monoclonal antibody expressed in HEK293F cells
Novus Biologicals, part of Bio-Techne
Catalog #
Availability
Size / Price
Qty
Loading...
NBP3-26341-100ul
NBP3-26341-50ul

Key Product Details

Species Reactivity

Human

Applications

ELISA, Immunocytochemistry/ Immunofluorescence, Immunohistochemistry, Western Blot

Label

Unconjugated

Antibody Source

Recombinant Monoclonal Rabbit IgG Clone # 2H12 expressed in HEK293

Format

BSA Free

Concentration

Please see the vial label for concentration. If unlisted please contact technical services.

Product Specifications

Immunogen

A synthesized peptide derived from Human RNF20 [UniProt Q5VTR2]

Clonality

Monoclonal

Host

Rabbit

Isotype

IgG

Description

Novus Biologicals Rabbit RNF20 Antibody (2H12) - BSA Free (NBP3-26341) is a recombinant monoclonal antibody validated for use in IHC, WB, ELISA and ICC/IF. All Novus Biologicals antibodies are covered by our 100% guarantee.

Scientific Data Images for RNF20 Antibody (2H12) - BSA Free

RNF20 Antibody (2H12)

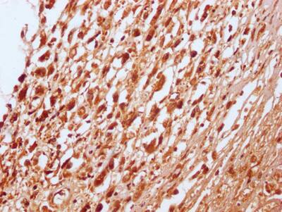
Immunohistochemistry: RNF20 Antibody (2H12) [NBP3-26341] -

Immunohistochemistry: RNF20 Antibody (2H12) [NBP3-26341] - Image of RNF20 Antibody (2H12) diluted at 1:100 and staining in paraffin-embedded human testis tissue performed. After dewaxing and hydration, antigen retrieval was mediated by high pressure in a citrate buffer (pH 6.0). Section was blocked with 10% normal goat serum 30min at RT. Then primary antibody (1% BSA) was incubated at 4C overnight. The primary is detected by a Goat anti-rabbit IgG polymer labeled by HRP and visualized using 0.05% DAB.
RNF20 Antibody (2H12)

Immunohistochemistry: RNF20 Antibody (2H12) [NBP3-26341] -

Immunohistochemistry: RNF20 Antibody (2H12) [NBP3-26341] - Image of RNF20 Antibody (2H12) diluted at 1:100 and staining in paraffin-embedded human testis tissue performed. After dewaxing and hydration, antigen retrieval was mediated by high pressure in a citrate buffer (pH 6.0). Section was blocked with 10% normal goat serum 30min at RT. Then primary antibody (1% BSA) was incubated at 4C overnight. The primary is detected by a Goat anti-rabbit IgG polymer labeled by HRP and visualized using 0.05% DAB.
RNF20 Antibody (2H12)

Western Blot: RNF20 Antibody (2H12) [NBP3-26341] -

Western Blot: RNF20 Antibody (2H12) [NBP3-26341] - Positive Western Blot detected in: Hela whole cell lysate, 293 whole cell lysate.
All lanes: RNF20 Antibody at 1: 1000
Secondary: Goat polyclonal to rabbit IgG at 1/50000 dilution.
Predicted band size: 114 kDa
Observed band size: 114 kDa

Applications for RNF20 Antibody (2H12) - BSA Free

Application
Recommended Usage

Immunocytochemistry/ Immunofluorescence

1:20-1:200

Immunohistochemistry

1:50-1:200

Western Blot

1:500-1:5000

Formulation, Preparation, and Storage

Purification

Affinity purified

Formulation

PBS, pH 7.4, 150mM NaCl, and 50% glycerol

Format

BSA Free

Preservative

0.02% Sodium Azide

Concentration

Please see the vial label for concentration. If unlisted please contact technical services.

Shipping

The product is shipped with polar packs. Upon receipt, store it immediately at the temperature recommended below.

Stability & Storage

Store at -20 to -70C. Avoid freeze-thaw cycles.

Background: RNF20

RNF20 is encoded by this gene shares similarity with BRE1 of S. cerevisiae. Yeast BRE1 is a ubiquitin ligase required for the ubiquitination of histone H2B and the methylation of histone H3.

Alternate Names

BRE1, BRE1 E3 ubiquitin ligase homolog, BRE1-A, BRE1AMGC129667, E3 ubiquitin-protein ligase BRE1A, EC 6.3.2, EC 6.3.2.-, FLJ11189, FLJ20382, hBRE1MGC129668, homolog of S. cerevisiae BRE1, KAIA2779, ring finger protein 20KIAA2779

Gene Symbol

RNF20

Additional RNF20 Products

Product Documents for RNF20 Antibody (2H12) - BSA Free

Certificate of Analysis

To download a Certificate of Analysis, please enter a lot number in the search box below.

Product Specific Notices for RNF20 Antibody (2H12) - BSA Free

This product is for research use only and is not approved for use in humans or in clinical diagnosis. Primary Antibodies are guaranteed for 1 year from date of receipt.

Loading...
Loading...
Loading...
Loading...