Skip to main content

RIPK1/RIP1 Antibody (HL2250) - Azide and BSA Free

Novus Biologicals, part of Bio-Techne | Catalog # NBP3-25637

Recombinant Monoclonal Antibody
Novus Biologicals, part of Bio-Techne
Catalog #
Availability
Size / Price
Qty
Loading...
NBP3-25637

Key Product Details

Validated by

Biological Validation

Species Reactivity

Human

Applications

Immunocytochemistry/ Immunofluorescence, Immunohistochemistry, Immunohistochemistry-Paraffin, Western Blot

Label

Unconjugated

Antibody Source

Recombinant Monoclonal Rabbit IgG Clone # HL2250 expressed in HEK293

Format

Azide and BSA Free

Concentration

Concentrations vary lot to lot. See vial label for concentration. If unlisted please contact technical services.

Product Specifications

Immunogen

Recombinant fragment of human RIPK1/RIP1.

Clonality

Monoclonal

Host

Rabbit

Isotype

IgG

Theoretical MW

76 kDa.
Disclaimer note: The observed molecular weight of the protein may vary from the listed predicted molecular weight due to post translational modifications, post translation cleavages, relative charges, and other experimental factors.

Description

Novus Biologicals Rabbit RIPK1/RIP1 Antibody (HL2250) - Azide and BSA Free (NBP3-25637) is a recombinant monoclonal antibody validated for use in IHC, WB and ICC/IF. All Novus Biologicals antibodies are covered by our 100% guarantee.

Scientific Data Images for RIPK1/RIP1 Antibody (HL2250) - Azide and BSA Free

RIPK1/RIP1 Antibody (HL2250) - Azide and BSA Free

Immunocytochemistry/Immunofluorescence: RIPK1/RIP1 Antibody (HL2250) - Azide and BSA Free [NBP3-25637] -

Immunocytochemistry/Immunofluorescence: RIPK1/RIP1 Antibody (HL2250) - Azide and BSA Free [NBP3-25637] - RIP antibody [HL2250] detects RIP protein at cytoplasm by immunofluorescent analysis. Sample: HeLa cells were fixed in ice-cold MeOH for 5 min. Green: RIP stained by RIP antibody [HL2250] (NBP3-25637) diluted at 1:100. Blue: Fluoroshield with DAPI .
RIPK1/RIP1 Antibody (HL2250) - Azide and BSA Free

Western Blot: RIPK1/RIP1 Antibody (HL2250) - Azide and BSA Free [NBP3-25637] -

Western Blot: RIPK1/RIP1 Antibody (HL2250) - Azide and BSA Free [NBP3-25637] - Untreated (-) and treated (+) NCI-H929 whole cell extract (30 ug) were separated by 10% SDS-PAGE, and the membrane was blotted with RIP antibody [HL2250] (NBP3-25637) diluted at 1:1000. The HRP-conjugated anti-rabbit IgG antibody was used to detect the primary antibody, and the signal was developed with Trident ECL plus-Enhanced.
RIPK1/RIP1 Antibody (HL2250) - Azide and BSA Free

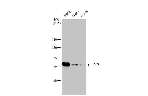
Western Blot: RIPK1/RIP1 Antibody (HL2250) - Azide and BSA Free [NBP3-25637] -

Western Blot: RIPK1/RIP1 Antibody (HL2250) - Azide and BSA Free [NBP3-25637] - Various whole cell extracts (30 ug) were separated by 7.5% SDS-PAGE, and the membrane was blotted with RIP antibody [HL2250] (NBP3-25637) diluted at 1:1000. The HRP-conjugated anti-rabbit IgG antibody was used to detect the primary antibody.

Applications for RIPK1/RIP1 Antibody (HL2250) - Azide and BSA Free

Application
Recommended Usage

Immunocytochemistry/ Immunofluorescence

Assay dependent

Immunohistochemistry-Paraffin

1:100-1:1000

Western Blot

1:500-1:3000

Formulation, Preparation, and Storage

Purification

Protein A purified

Formulation

PBS

Format

Azide and BSA Free

Preservative

No Preservative

Concentration

Concentrations vary lot to lot. See vial label for concentration. If unlisted please contact technical services.

Shipping

The product is shipped with polar packs. Upon receipt, store it immediately at the temperature recommended below.

Stability & Storage

Store at 4C short term. Aliquot and store at -20C long term. Avoid freeze-thaw cycles.

Background: RIPK1/RIP1

RIP (Receptor Interacting Protein) is a 74 kD Ser/Thr kinase which interacts with CD95 (Fas/APO1) receptor and the tumor necrosis factor receptor (TNFR1). It is a cell death domain adapter protein which can bind to the adapter proteins TRADD, RAID (CRADD) and TRAF2. RIP contains an N terminal region with homology to protein kinases, an intermediate domain capable of association with MAPKKK and a C terminal region containing an intracellular death domain motif. RIP activates both p38 MAP Kinase and SAPK families. In vitro, RIP induces apoptosis, as well as SAPK/JNK and NF-kB activation. NF-kB activation through TRADD, TRAF2 and RIP can be triggered also by DR3/APO3 upon activation with APO3/Tweak ligand. DR4 and DR5 also use FADD, TRADD, and RIP in their signal transduction pathways. RIP deficient mice fail to thrive, displaying extensive apoptosis in both lymphoid and adipose tissues and dying at 1-3 days of age. RIP possesses kinase activity as it autophosphorylates itself on serine and threonine residues.

Long Name

Receptor (TNFRSF)-Interacting Serine-Threonine Kinase 1

Alternate Names

RIP, RIP1

Gene Symbol

RIPK1

Additional RIPK1/RIP1 Products

Product Documents for RIPK1/RIP1 Antibody (HL2250) - Azide and BSA Free

Certificate of Analysis

To download a Certificate of Analysis, please enter a lot number in the search box below.

Product Specific Notices for RIPK1/RIP1 Antibody (HL2250) - Azide and BSA Free

This product is for research use only and is not approved for use in humans or in clinical diagnosis. Primary Antibodies are guaranteed for 1 year from date of receipt.

Loading...
Loading...
Loading...
Loading...