Skip to main content

RING1 Antibody (8C12F4) - BSA Free

Novus Biologicals, part of Bio-Techne | Catalog # NBP2-37370

Novus Biologicals, part of Bio-Techne
Catalog #
Availability
Size / Price
Qty
Loading...
NBP2-37370-0.025ml
NBP2-37370

Key Product Details

Species Reactivity

Validated:

Human

Cited:

Mouse

Applications

Validated:

Immunohistochemistry, Immunohistochemistry-Paraffin, Western Blot, ELISA, Flow Cytometry, CyTOF-ready

Cited:

Western Blot

Label

Unconjugated

Antibody Source

Monoclonal Mouse IgG1 Clone # 8C12F4

Format

BSA Free

Concentration

1 mg/ml

Product Specifications

Immunogen

Purified recombinant fragment of human Ring1 (AA: 79-263) expressed in E. Coli.

Clonality

Monoclonal

Host

Mouse

Isotype

IgG1

Theoretical MW

42.4 kDa.
Disclaimer note: The observed molecular weight of the protein may vary from the listed predicted molecular weight due to post translational modifications, post translation cleavages, relative charges, and other experimental factors.

Description

Novus Biologicals Mouse RING1 Antibody (8C12F4) - BSA Free (NBP2-37370) is a monoclonal antibody validated for use in IHC, WB, ELISA and Flow. Anti-RING1 Antibody: Cited in 1 publication. All Novus Biologicals antibodies are covered by our 100% guarantee.

Scientific Data Images for RING1 Antibody (8C12F4) - BSA Free

Western Blot: RING1 Antibody (8C12F4)BSA Free [NBP2-37370]

Western Blot: RING1 Antibody (8C12F4)BSA Free [NBP2-37370]

Western Blot: RING1 Antibody (8C12F4) [NBP2-37370] - Analysis using Ring1 mouse mAb against MOLT-4 (1), LNCaP (2), Hela (3), HEK-293 (4) and Jurkat (5) cell lysate.
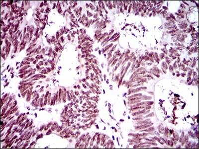
Immunohistochemistry-Paraffin: RING1 Antibody (8C12F4) - BSA Free [NBP2-37370]

Immunohistochemistry-Paraffin: RING1 Antibody (8C12F4) - BSA Free [NBP2-37370]

Immunohistochemistry-Paraffin: RING1 Antibody (8C12F4) [NBP2-37370] - Analysis of rectum cancer tissues using Ring1 mouse mAb with DAB staining.
Flow Cytometry: RING1 Antibody (8C12F4) - BSA Free [NBP2-37370]

Flow Cytometry: RING1 Antibody (8C12F4) - BSA Free [NBP2-37370]

Flow Cytometry: RING1 Antibody (8C12F4) [NBP2-37370] - Analysis of Hela cells using Ring1 mouse mAb (green) and negative control (red).

Applications for RING1 Antibody (8C12F4) - BSA Free

Application
Recommended Usage

ELISA

1:10000

Flow Cytometry

1:200 - 1:400

Immunohistochemistry

1:200 - 1:1000

Immunohistochemistry-Paraffin

1:200 - 1:1000

Western Blot

1:500 - 1:2000
Application Notes
This antibody is Cytof ready.

Formulation, Preparation, and Storage

Purification

Protein G purified

Formulation

PBS

Format

BSA Free

Preservative

0.05% Sodium Azide

Concentration

1 mg/ml

Shipping

The product is shipped with polar packs. Upon receipt, store it immediately at the temperature recommended below.

Stability & Storage

Store at 4C short term. Aliquot and store at -20C long term. Avoid freeze-thaw cycles.

Background: RING1

RING1 belongs to the RING finger family, members of which encode proteins characterized by a RING domain, a zinc-binding motif related to the zinc finger domain. The gene product can bind DNA and can act as a transcriptional repressor. It is associated with the multimeric polycomb group protein complex. The gene product interacts with the polycomb group proteins BMI1, EDR1, and CBX4, and colocalizes with these proteins in large nuclear domains. It interacts with the CBX4 protein via its glycine-rich C-terminal domain. The gene maps to the HLA class II region, where it is contiguous with the RING finger genes FABGL and HKE4. [provided by RefSeq]

Long Name

E3 ubiquitin-protein ligase RING1

Alternate Names

RNF1

Gene Symbol

RING1

Additional RING1 Products

Product Documents for RING1 Antibody (8C12F4) - BSA Free

Certificate of Analysis

To download a Certificate of Analysis, please enter a lot number in the search box below.

Product Specific Notices for RING1 Antibody (8C12F4) - BSA Free

This product is for research use only and is not approved for use in humans or in clinical diagnosis. Primary Antibodies are guaranteed for 1 year from date of receipt.

Loading...
Loading...
Loading...
Loading...
Loading...