Skip to main content

Ribonuclease A Antibody

Novus Biologicals, part of Bio-Techne | Catalog # NBP2-20160

Novus Biologicals, part of Bio-Techne
Catalog #
Availability
Size / Price
Qty
Loading...
NBP2-20160

Key Product Details

Species Reactivity

Validated:

Human

Predicted:

Primate (98%). Backed by our 100% Guarantee.

Applications

Immunohistochemistry, Immunohistochemistry-Paraffin, Western Blot, Immunocytochemistry/ Immunofluorescence

Label

Unconjugated

Antibody Source

Polyclonal Rabbit IgG

Concentration

Concentrations vary lot to lot. See vial label for concentration. If unlisted please contact technical services.

Product Specifications

Immunogen

Recombinant protein encompassing a sequence within the center region of human Ribonuclease A. The exact sequence is proprietary.

Reactivity Notes

Chimpanzee (98%), Rhesus Monkey (81%).

Localization

Secreted

Clonality

Polyclonal

Host

Rabbit

Isotype

IgG

Theoretical MW

18 kDa.
Disclaimer note: The observed molecular weight of the protein may vary from the listed predicted molecular weight due to post translational modifications, post translation cleavages, relative charges, and other experimental factors.

Description

Novus Biologicals Rabbit Ribonuclease A Antibody (NBP2-20160) is a polyclonal antibody validated for use in IHC, WB and ICC/IF. All Novus Biologicals antibodies are covered by our 100% guarantee.

Scientific Data Images for Ribonuclease A Antibody

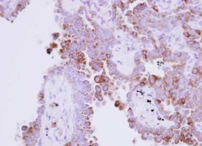
Immunohistochemistry-Paraffin: Ribonuclease A Antibody [NBP2-20160]

Immunohistochemistry-Paraffin: Ribonuclease A Antibody [NBP2-20160]

Immunohistochemistry-Paraffin: Ribonuclease A Antibody [NBP2-20160] - Immunohistochemical analysis of paraffin-embedded Lung AdCA, using antibody at 1:250 dilution.
Ribonuclease A Antibody

Western Blot: Ribonuclease A Antibody [NBP2-20160] -

Western Blot: Ribonuclease A Antibody [NBP2-20160] - Whole cell extract (30 ug) was separated by 12% SDS-PAGE, and the membrane was blotted with Ribonuclease A antibody (NBP2-20160) diluted at 1:1000. The HRP-conjugated anti-rabbit IgG antibody was used to detect the primary antibody.
Ribonuclease A Antibody

Immunocytochemistry/ Immunofluorescence: Ribonuclease A Antibody [NBP2-20160] -

Ribonuclease A antibody detects RNASE1 protein at cytoplasm by immunofluorescent analysis.
Sample: HeLa cells were fixed in 4% paraformaldehyde at RT for 15 min.
Green: RNASE1 protein stained by Ribonuclease A antibody (NBP2-20160) diluted at 1:500.
Blue: Hoechst 33342 staining.

Applications for Ribonuclease A Antibody

Application
Recommended Usage

Immunocytochemistry/ Immunofluorescence

1:100-1:1000

Immunohistochemistry

1:100-1:1000

Immunohistochemistry-Paraffin

1:100-1:1000

Western Blot

1:500-1:3000

Formulation, Preparation, and Storage

Purification

Antigen Affinity-purified

Formulation

PBS, 1% BSA, 20% Glycerol

Preservative

0.01% Thimerosal

Concentration

Concentrations vary lot to lot. See vial label for concentration. If unlisted please contact technical services.

Shipping

The product is shipped with polar packs. Upon receipt, store it immediately at the temperature recommended below.

Stability & Storage

Aliquot and store at -20C or -80C. Avoid freeze-thaw cycles.

Background: Ribonuclease A

This gene encodes a member of the pancreatic-type of secretory ribonucleases, a subset of the ribonuclease A superfamily. The encoded endonuclease cleaves internal phosphodiester RNA bonds on the 3'-side of pyrimidine bases. It prefers poly(C) as a substrate and hydrolyzes 2',3'-cyclic nucleotides, with a pH optimum near 8.0. The encoded protein is monomeric and more commonly acts to degrade ds-RNA over ss-RNA. Alternative splicing occurs at this locus and four transcript variants encoding the same protein have been identified. [provided by RefSeq]

Alternate Names

EC 3.1.27.5, HP-RNase, MGC12408, RIB1, RIB-1, Ribonuclease 1, Ribonuclease A, ribonuclease pancreatic, ribonuclease, RNase A family, 1 (pancreatic), RNase A, RNase UpI-1, RNS1RNase 1

Gene Symbol

RNASE1

UniProt

Additional Ribonuclease A Products

Product Documents for Ribonuclease A Antibody

Certificate of Analysis

To download a Certificate of Analysis, please enter a lot number in the search box below.

Product Specific Notices for Ribonuclease A Antibody

This product is for research use only and is not approved for use in humans or in clinical diagnosis. Primary Antibodies are guaranteed for 1 year from date of receipt.

Loading...
Loading...
Loading...
Loading...

⚠ WARNING: This product can expose you to chemicals including mercury, which is known to the State of California to cause reproductive toxicity with developmental effects.  For more information go to www.P65Warnings.ca.gov.