Skip to main content

RHCG Antibody - BSA Free

Novus Biologicals, part of Bio-Techne | Catalog # NBP2-30905

Novus Biologicals, part of Bio-Techne
Catalog #
Availability
Size / Price
Qty
Loading...
NBP2-30905
NBP2-30905-25ul

Key Product Details

Validated by

Independent Antibodies

Species Reactivity

Validated:

Human

Cited:

Human

Applications

Validated:

Immunohistochemistry, Immunohistochemistry-Paraffin, Western Blot

Cited:

Immunohistochemistry-Paraffin

Label

Unconjugated

Antibody Source

Polyclonal Rabbit IgG

Format

BSA Free

Concentration

Concentrations vary lot to lot. See vial label for concentration. If unlisted please contact technical services.

Product Specifications

Immunogen

This antibody was developed against a recombinant protein corresponding to amino acids: RYDFEADAHWWSERTHKNLSDMENEFYYRYP

Clonality

Polyclonal

Host

Rabbit

Isotype

IgG

Description

Novus Biologicals Rabbit RHCG Antibody - BSA Free (NBP2-30905) is a polyclonal antibody validated for use in IHC and WB. Anti-RHCG Antibody: Cited in 1 publication. All Novus Biologicals antibodies are covered by our 100% guarantee.

Scientific Data Images for RHCG Antibody - BSA Free

Western Blot: RHCG Antibody [NBP2-30905]

Western Blot: RHCG Antibody [NBP2-30905]

Western Blot: RHCG Antibody [NBP2-30905] - Lane 1: Marker [kDa] 250, 130, 95, 72, 55, 36, 28, 17, 10. Lane 2: Human cell line RT-4. Lane 3: Human cell line U-251MG sp. Lane 4: Human plasma (IgG/HSA depleted). Lane 5: Human liver tissue. Lane 6: Human tonsil tissue
Immunohistochemistry-Paraffin: RHCG Antibody [NBP2-30905]

Immunohistochemistry-Paraffin: RHCG Antibody [NBP2-30905]

Immunohistochemistry-Paraffin: RHCG Antibody [NBP2-30905] - Staining of human Pancreas shows no membranous positivity in exocrine glandular cells as expected.
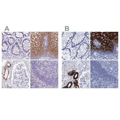
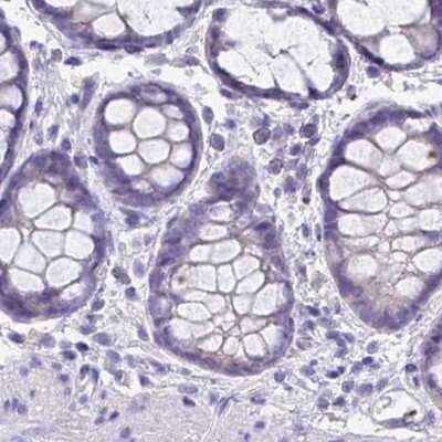
Immunohistochemistry-Paraffin: RHCG Antibody [NBP2-30905]

Immunohistochemistry-Paraffin: RHCG Antibody [NBP2-30905]

Immunohistochemistry-Paraffin: RHCG Antibody [NBP2-30905] - Staining of human rectum shows low expression as expected.

Applications for RHCG Antibody - BSA Free

Application
Recommended Usage

Immunohistochemistry

1:1000 - 1:2500

Immunohistochemistry-Paraffin

1:1000 - 1:2500

Western Blot

1:100 - 1:250
Application Notes
For IHC-Paraffin, HIER pH 6 retrieval is recommended.

Formulation, Preparation, and Storage

Purification

Immunogen affinity purified

Formulation

PBS (pH 7.2) and 40% Glycerol

Format

BSA Free

Preservative

0.02% Sodium Azide

Concentration

Concentrations vary lot to lot. See vial label for concentration. If unlisted please contact technical services.

Shipping

The product is shipped with polar packs. Upon receipt, store it immediately at the temperature recommended below.

Stability & Storage

Store at 4C short term. Aliquot and store at -20C long term. Avoid freeze-thaw cycles.

Background: RHCG

RHCG functions as an electroneutral and bidirectional ammonium transporter. May regulate transepithelial ammonia secretion

Alternate Names

ammonium transporter Rh type C, CDRC2, chromosome 15 open reading frame 6, PDRC2C15orf6, Rh family type C glycoprotein, Rh family, C glycoprotein, Rh glycoprotein kidney, Rh type C glycoprotein, Rhesus blood group family type C glycoprotein, Rhesus blood group, C glycoprotein, RHGKTumor-related protein DRC2, SLC42A3

Gene Symbol

RHCG

UniProt

Additional RHCG Products

Product Documents for RHCG Antibody - BSA Free

Certificate of Analysis

To download a Certificate of Analysis, please enter a lot number in the search box below.

Product Specific Notices for RHCG Antibody - BSA Free

This product is for research use only and is not approved for use in humans or in clinical diagnosis. Primary Antibodies are guaranteed for 1 year from date of receipt.

Loading...
Loading...
Loading...
Loading...