Skip to main content

REXO1 Antibody - BSA Free

Novus Biologicals, part of Bio-Techne | Catalog # NBP1-84863

Novus Biologicals, part of Bio-Techne
Catalog #
Availability
Size / Price
Qty
Loading...
NBP1-84863
NBP1-84863-25ul

Key Product Details

Validated by

Independent Antibodies

Species Reactivity

Human

Applications

Immunohistochemistry, Immunohistochemistry-Paraffin

Label

Unconjugated

Antibody Source

Polyclonal Rabbit IgG

Format

BSA Free

Concentration

Concentrations vary lot to lot. See vial label for concentration. If unlisted please contact technical services.

Product Specifications

Immunogen

This antibody was developed against Recombinant Protein corresponding to amino acids: PSGKYVVDNSRPPTDLEYDPLSNYSARHLSRASSRDERAAKRPRGSRGSEPYTPAPKKLCDPFGSCDARFSDSEDEAATVPGNEPTT

Clonality

Polyclonal

Host

Rabbit

Isotype

IgG

Description

Novus Biologicals Rabbit REXO1 Antibody - BSA Free (NBP1-84863) is a polyclonal antibody validated for use in IHC. All Novus Biologicals antibodies are covered by our 100% guarantee.

Scientific Data Images for REXO1 Antibody - BSA Free

Immunohistochemistry-Paraffin: REXO1 Antibody [NBP1-84863]

Immunohistochemistry-Paraffin: REXO1 Antibody [NBP1-84863]

Immunohistochemistry-Paraffin: REXO1 Antibody [NBP1-84863] - Staining of human rectum shows moderate nuclear and cytoplasmic positivity in glandular cells.
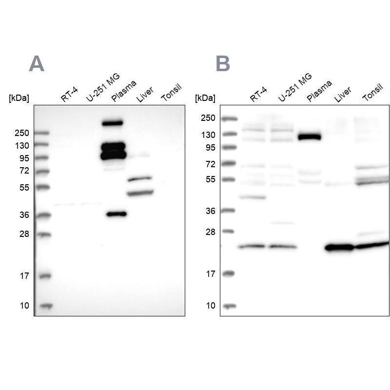
REXO1 Antibody Western Blot: REXO1 Antibody Antibody [NBP1-84863]

Western Blot: REXO1 Antibody Antibody [NBP1-84863]

Analysis using NBP1-84863 (A) shows similar pattern to independent antibody NBP1-84862 (B).

Applications for REXO1 Antibody - BSA Free

Application
Recommended Usage

Immunohistochemistry

1:200 - 1:500

Immunohistochemistry-Paraffin

1:200 - 1:500
Application Notes
For IHC-Paraffin, HIER pH 6 retrieval is recommended.

Formulation, Preparation, and Storage

Purification

Affinity purified

Formulation

PBS (pH 7.2) and 40% Glycerol

Format

BSA Free

Preservative

0.02% Sodium Azide

Concentration

Concentrations vary lot to lot. See vial label for concentration. If unlisted please contact technical services.

Shipping

The product is shipped with polar packs. Upon receipt, store it immediately at the temperature recommended below.

Stability & Storage

Store at 4C short term. Aliquot and store at -20C long term. Avoid freeze-thaw cycles.

Background: REXO1

REXO1 or Elongin A-binding protein 1 (EloA-BP1) is an exonuclease domain-containing protein that can bind to Elongin. The Elongin complex stimulates the rate of transcription elongation by RNA polymerase II by suppressing the transient pausing of the polymerase at many sites along the DNA template. REXO1 is composed of 1221 amino acids and its mRNA is ubiquitously expressed. EloA-BP1 is capable of binding not only the NH(2)-terminal approximately 120 amino acid region of Elongin A, but also that of SII. Although REXO1 had no detectable effect on the rate of transcription elongation in vitro, it may play some role in the regulation of elongation in vivo.

Alternate Names

EC 3.1, ELOABP1elongin A-binding protein 1, EloA-BP1REX1, Elongin-A-binding protein 1, KIAA1138elongin A binding protein 1, REX1, RNA exonuclease 1 homolog (S. cerevisiae), TCEB3BP1RNA exonuclease 1 homolog, transcription elongation factor B polypeptide 3 binding protein 1, Transcription elongation factor B polypeptide 3-binding protein 1

Gene Symbol

REXO1

Additional REXO1 Products

Product Documents for REXO1 Antibody - BSA Free

Certificate of Analysis

To download a Certificate of Analysis, please enter a lot number in the search box below.

Product Specific Notices for REXO1 Antibody - BSA Free

This product is for research use only and is not approved for use in humans or in clinical diagnosis. Primary Antibodies are guaranteed for 1 year from date of receipt.

Loading...
Loading...
Loading...
Loading...