Skip to main content

RERG Antibody - BSA Free

Novus Biologicals, part of Bio-Techne | Catalog # NBP1-82746

Novus Biologicals, part of Bio-Techne
Catalog #
Availability
Size / Price
Qty
Loading...
NBP1-82746
NBP1-82746-25ul

Key Product Details

Species Reactivity

Validated:

Human

Predicted:

Mouse (98%), Rat (98%). Backed by our 100% Guarantee.

Applications

Immunohistochemistry, Immunohistochemistry-Paraffin, Western Blot

Label

Unconjugated

Antibody Source

Polyclonal Rabbit IgG

Format

BSA Free

Concentration

Concentrations vary lot to lot. See vial label for concentration. If unlisted please contact technical services.

Product Specifications

Immunogen

This antibody was developed against Recombinant Protein corresponding to amino acids: TAGQEDTIQREGHMRWGEGFVLVYDITDRGSFEEVLPLKNILDEIKKPKNVTLILVGNK

Clonality

Polyclonal

Host

Rabbit

Isotype

IgG

Description

Novus Biologicals Rabbit RERG Antibody - BSA Free (NBP1-82746) is a polyclonal antibody validated for use in IHC and WB. All Novus Biologicals antibodies are covered by our 100% guarantee.

Scientific Data Images for RERG Antibody - BSA Free

Western Blot: RERG Antibody [NBP1-82746]

Western Blot: RERG Antibody [NBP1-82746]

Western Blot: RERG Antibody [NBP1-82746] - Analysis in control (vector only transfected HEK293T lysate) and RERG over-expression lysate (Co-expressed with a C-terminal myc-DDK tag (3.1 kDa) in mammalian HEK293T cells).
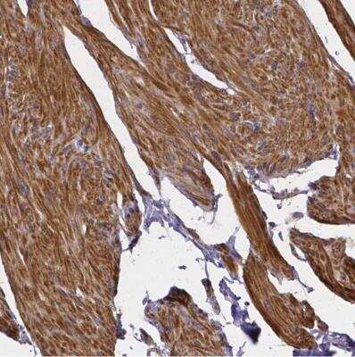
Immunohistochemistry-Paraffin: RERG Antibody [NBP1-82746]

Immunohistochemistry-Paraffin: RERG Antibody [NBP1-82746]

Immunohistochemistry-Paraffin: RERG Antibody [NBP1-82746] - Staining of human smooth muscle shows cytoplasmic positivity in smooth muscle cells.

Applications for RERG Antibody - BSA Free

Application
Recommended Usage

Immunohistochemistry

1:500 - 1:1000

Immunohistochemistry-Paraffin

1:500 - 1:1000

Western Blot

0.04-0.4 ug/ml
Application Notes
For IHC-Paraffin, HIER pH 6 retrieval is recommended.

Formulation, Preparation, and Storage

Purification

Affinity purified

Formulation

PBS (pH 7.2) and 40% Glycerol

Format

BSA Free

Preservative

0.02% Sodium Azide

Concentration

Concentrations vary lot to lot. See vial label for concentration. If unlisted please contact technical services.

Shipping

The product is shipped with polar packs. Upon receipt, store it immediately at the temperature recommended below.

Stability & Storage

Store at 4C short term. Aliquot and store at -20C long term. Avoid freeze-thaw cycles.

Background: RERG

RERG, a member of the RAS superfamily of GTPases, inhibits cell proliferation and tumor formation (Finlin et al., 2001(PubMed 11533059)).(supplied by OMIM)

Alternate Names

MGC15754, RAS-like, estrogen-regulated, growth inhibitor, ras-related and estrogen-regulated growth inhibitor

Gene Symbol

RERG

Additional RERG Products

Product Documents for RERG Antibody - BSA Free

Certificate of Analysis

To download a Certificate of Analysis, please enter a lot number in the search box below.

Product Specific Notices for RERG Antibody - BSA Free

This product is for research use only and is not approved for use in humans or in clinical diagnosis. Primary Antibodies are guaranteed for 1 year from date of receipt.

Loading...
Loading...
Loading...
Loading...