Skip to main content

RelA/NFkB p65 [p Ser536] Antibody

Novus Biologicals, part of Bio-Techne | Catalog # NB100-82088

Novus Biologicals, part of Bio-Techne
Catalog #
Availability
Size / Price
Qty
Loading...
NB100-82088
NB100-82088-25ul

Key Product Details

Species Reactivity

Validated:

Human, Mouse, Rat, Fish, Monkey

Cited:

Human, Mouse, Rat, Fish

Applications

Validated:

Immunohistochemistry, Immunohistochemistry-Paraffin, Western Blot, Immunocytochemistry/ Immunofluorescence, Immunoprecipitation

Cited:

Western Blot, Immunocytochemistry/ Immunofluorescence

Label

Unconjugated

Antibody Source

Polyclonal Rabbit IgG

Concentration

1.0 mg/ml

Product Specifications

Immunogen

The antiserum was produced against synthesized phosphopeptide derived from human RelA/NFkB p65 around the phosphorylation site of serine 536 (F-S-SP-I-A).

Reactivity Notes

Use in Labeo bata reported in secitific publication PMID: 32800225

Modification

p Ser536

Specificity

Detects endogenous levels of RelA/NFkB p65 only when phosphorylated at serine 536.

Clonality

Polyclonal

Host

Rabbit

Isotype

IgG

Theoretical MW

60 kDa.
Disclaimer note: The observed molecular weight of the protein may vary from the listed predicted molecular weight due to post translational modifications, post translation cleavages, relative charges, and other experimental factors.

Scientific Data Images for RelA/NFkB p65 [p Ser536] Antibody

Immunocytochemistry/ Immunofluorescence: RelA/NFkB p65 [p Ser536] Antibody [NB100-82088]

Immunocytochemistry/ Immunofluorescence: RelA/NFkB p65 [p Ser536] Antibody [NB100-82088]

Immunocytochemistry/Immunofluorescence: RelA/NFkB p65 [p Ser536] Antibody [NB100-82088] - Methanol-fixed MEF cells
Immunohistochemistry-Paraffin: RelA/NFkB p65 [p Ser536] Antibody [NB100-82088]

Immunohistochemistry-Paraffin: RelA/NFkB p65 [p Ser536] Antibody [NB100-82088]

Immunohistochemistry-Paraffin: RelA/NFkB p65 [p Ser536] Antibody [NB100-82088] - Paraffin-embedded human breast carcinoma tissue.
Immunohistochemistry-Paraffin: RelA/NFkB p65 [p Ser536] Antibody [NB100-82088]

Immunohistochemistry-Paraffin: RelA/NFkB p65 [p Ser536] Antibody [NB100-82088]

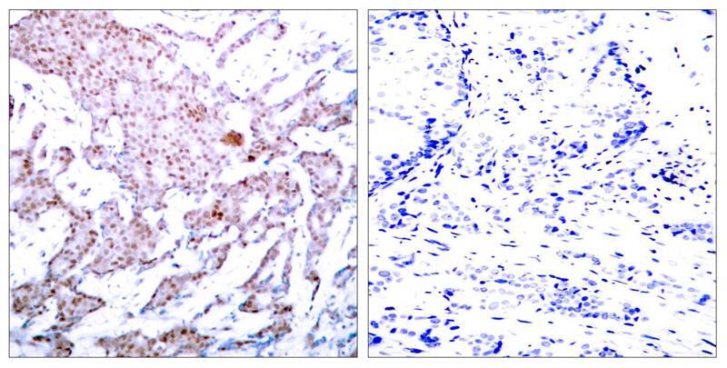
Immunohistochemistry-Paraffin: RelA/NFkB p65 [p Ser536] Antibody [NB100-82088] - Paraffin-embedded human Lung carcinoma tissue

Applications for RelA/NFkB p65 [p Ser536] Antibody

Application
Recommended Usage

Immunocytochemistry/ Immunofluorescence

1:50-200

Immunohistochemistry

1:100-1:300

Immunohistochemistry-Paraffin

1:50-1:100

Immunoprecipitation

2-5 ug/mg lysate

Western Blot

1:500-1:2000

Formulation, Preparation, and Storage

Purification

Immunogen affinity purified

Formulation

PBS, 50% glycerol, 0.5% BSA

Preservative

0.02% Sodium Azide

Concentration

1.0 mg/ml

Shipping

The product is shipped with polar packs. Upon receipt, store it immediately at the temperature recommended below.

Stability & Storage

Store at 4C short term. Aliquot and store at -20C long term. Avoid freeze-thaw cycles.

Background: RelA/NFkB p65

p65 is a subunit of the nuclear factor kappa B. The transcription factor NFkB is widely recognized as a critical mediator of immune and inflammatory responses. In most cell types, NFkB is found in the cytoplasm where it is associated with an inhibitory protein known as IkB. An impressive variety of stimuli (tumor necrosis factor, interleukin 1, T cell activation signals, bacterial endotoxins, viral transforming proteins, certain growth factors and reactive oxygen intermediates) lead to the rapid nuclear accumulation of NFkB by the induced phosphorylation and subsequent degradation of IkB. In the nucleus, NFkB regulates genes encoding cytokines, cytokine receptors, cell adhesion molecules, proteins involved in coagulation and genes involved in cell growth control. Additionally, NFkB is thought to be an important transcriptional regulator for HIV. Growing evidence indicates that the dysregulation of NFkB may be key to a number of diseases including arthritis and other inflammatory diseases, Alzheimer's disease, atherosclerosis and cancer.

Long Name

v-rel Reticuloendotheliosis Viral Oncogene Homolog A

Alternate Names

NFkB p65, NFKB3, p65RelA, NF kB p65 phospho, NFkB p65 phospho, NF-kB p65 phospho, phospho NF kB p65, phospho NFkB p65, phospho NF-kB p65

Entrez Gene IDs

5970 (Human); 19697 (Mouse); 309165 (Rat)

Gene Symbol

RELA

UniProt

Additional RelA/NFkB p65 Products

Product Documents for RelA/NFkB p65 [p Ser536] Antibody

Certificate of Analysis

To download a Certificate of Analysis, please enter a lot number in the search box below.

Product Specific Notices for RelA/NFkB p65 [p Ser536] Antibody

This product is for research use only and is not approved for use in humans or in clinical diagnosis. Primary Antibodies are guaranteed for 1 year from date of receipt.

Loading...
Loading...
Loading...
Loading...