Skip to main content

RCOR1/CoREST Antibody - BSA Free

Novus Biologicals, part of Bio-Techne | Catalog # NB600-240

Novus Biologicals, part of Bio-Techne

Key Product Details

Validated by

Biological Validation

Species Reactivity

Human

Applications

Validated:

Immunohistochemistry, Immunohistochemistry-Paraffin, Western Blot

Cited:

Western Blot

Label

Unconjugated

Antibody Source

Polyclonal Rabbit IgG

Format

BSA Free

Concentration

1.0 mg/ml

Product Specifications

Immunogen

A synthetic peptide that maps to a region between residues 425 and the C-terminus (residue 482) of human REST (RE1-silencing transcription factor) corepressor using the numbering given in entry NP_055971.1 (GeneID 23186)

Clonality

Polyclonal

Host

Rabbit

Isotype

IgG

Scientific Data Images for RCOR1/CoREST Antibody - BSA Free

Western Blot: RCOR1/CoREST Antibody [NB600-240]

Western Blot: RCOR1/CoREST Antibody [NB600-240]

Western Blot: RCOR1/CoREST Antibody [NB600-240] - Samples: Whole cell lysate (50 ug) from HeLa and 293T cells prepared using NETN lysis buffer. Antibody: Affinity purified rabbit anti-CoREST antibody used for WB at 0.66 ug/ml. Detection: Chemiluminescence with an exposure time of 3 minutes.
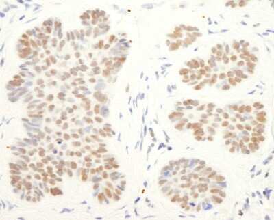
Immunohistochemistry-Paraffin: RCOR1/CoREST Antibody [NB600-240]

Immunohistochemistry-Paraffin: RCOR1/CoREST Antibody [NB600-240]

Immunohistochemistry-Paraffin: RCOR1/CoREST Antibody [NB600-240] - Human skin carcinoma. Antibody: Affinity purified rabbit anti-CoREST used at a dilution of 1:5,000 (0.2ug/ml). Detection: DAB

Applications for RCOR1/CoREST Antibody - BSA Free

Application
Recommended Usage

Immunohistochemistry

1:500 - 1:2000

Immunohistochemistry-Paraffin

1:500 - 1:2000

Western Blot

1:2500-1:15000
Application Notes
Epitope retrieval with citrate buffer pH6.0 is recommended for FFPE tissue sections.

Formulation, Preparation, and Storage

Purification

Immunogen affinity purified

Formulation

Tris-Citrate/Phosphate (pH 7.0 - 8.0)

Format

BSA Free

Preservative

0.09% Sodium Azide

Concentration

1.0 mg/ml

Shipping

The product is shipped with polar packs. Upon receipt, store it immediately at the temperature recommended below.

Stability & Storage

Store at 4C. Do not freeze.

Background: RCOR1/CoREST

Brain type II sodium channels are important in neuronal phenotyping and are only seen at high levels in neurons. Studies have shown that CoREST functions as a corepressor for REST. This interaction between REST and CoREST is accomplished by means of a single zinc finger binding motif originating from REST. Together, the REST-CoREST complex mediates long term repression of the type II sodium channel gene (1).

Long Name

REST Corepressor 1

Alternate Names

CoREST, RCOR1

Entrez Gene IDs

23186 (Human)

Gene Symbol

RCOR1

Additional RCOR1/CoREST Products

Product Documents for RCOR1/CoREST Antibody - BSA Free

Certificate of Analysis

To download a Certificate of Analysis, please enter a lot number in the search box below.

Product Specific Notices for RCOR1/CoREST Antibody - BSA Free

This product is for research use only and is not approved for use in humans or in clinical diagnosis. Primary Antibodies are guaranteed for 1 year from date of receipt.

Loading...
Loading...
Loading...
Loading...