Skip to main content

RBM41 Antibody - BSA Free

Novus Biologicals, part of Bio-Techne | Catalog # NBP3-46780

Novus Biologicals, part of Bio-Techne
Catalog #
Availability
Size / Price
Qty
Loading...
NBP3-46780

Key Product Details

Species Reactivity

Human, Mouse, Rat

Applications

Immunohistochemistry, Western Blot, ELISA, Immunocytochemistry/ Immunofluorescence

Label

Unconjugated

Antibody Source

Polyclonal Rabbit IgG

Format

BSA Free

Concentration

Please see the vial label for concentration. If unlisted please contact technical services.

Product Specifications

Immunogen

RNA binding motif protein 41. (Uniprot# Q96IZ5)

Clonality

Polyclonal

Host

Rabbit

Isotype

IgG

Theoretical MW

47 kDa.
Disclaimer note: The observed molecular weight of the protein may vary from the listed predicted molecular weight due to post translational modifications, post translation cleavages, relative charges, and other experimental factors.

Description

Novus Biologicals Rabbit RBM41 Antibody - BSA Free (NBP3-46780) is a polyclonal antibody validated for use in IHC, WB, ELISA and ICC/IF. All Novus Biologicals antibodies are covered by our 100% guarantee.

Scientific Data Images for RBM41 Antibody - BSA Free

RBM41 Antibody - BSA Free

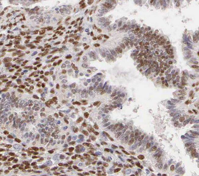
Immunohistochemistry: RBM41 Antibody - BSA Free [NBP3-46780] -

Immunohistochemistry: RBM41 Antibody - BSA Free [NBP3-46780] - Immunohistochemistry of paraffin-embedded human endometrial cancer using (RBM41 antibody) at dilution of 1:100
RBM41 Antibody - BSA Free

Western Blot: RBM41 Antibody - BSA Free [NBP3-46780] -

Western Blot: RBM41 Antibody - BSA Free [NBP3-46780] - SGC-7901 cells were subjected to SDS PAGE followed by western blot with (RBM41 antibody) at dilution of 1:1500

Applications for RBM41 Antibody - BSA Free

Application
Recommended Usage

Immunocytochemistry/ Immunofluorescence

1:20-1:200

Immunohistochemistry

1:20-1:200

Western Blot

1:500-1:2000

Formulation, Preparation, and Storage

Purification

Immunogen affinity purified

Formulation

PBS, 50% Glycerol, pH (7.3)

Format

BSA Free

Preservative

0.02% Sodium Azide

Concentration

Please see the vial label for concentration. If unlisted please contact technical services.

Shipping

The product is shipped with polar packs. Upon receipt, store it immediately at the temperature recommended below.

Stability & Storage

Store at -20C. Avoid freeze-thaw cycles.

Background: RBM41

RBM41 may bind RNA (Potential)

Alternate Names

FLJ11016, FLJ13670, RNA binding motif protein 41, RNA-binding motif protein 41, RNA-binding protein 41

Gene Symbol

RBM41

Additional RBM41 Products

Product Documents for RBM41 Antibody - BSA Free

Certificate of Analysis

To download a Certificate of Analysis, please enter a lot number in the search box below.

Product Specific Notices for RBM41 Antibody - BSA Free

This product is for research use only and is not approved for use in humans or in clinical diagnosis. Primary Antibodies are guaranteed for 1 year from date of receipt.

Loading...
Loading...
Loading...
Loading...