Skip to main content

RBM28 Antibody - BSA Free

Novus Biologicals, part of Bio-Techne | Catalog # NBP1-84633

Novus Biologicals, part of Bio-Techne
Catalog #
Availability
Size / Price
Qty
Loading...
NBP1-84633
NBP1-84633-25ul

Key Product Details

Validated by

Orthogonal Validation

Species Reactivity

Human, Mouse, Rat

Applications

Immunohistochemistry, Immunohistochemistry-Paraffin, Western Blot, Immunocytochemistry/ Immunofluorescence

Label

Unconjugated

Antibody Source

Polyclonal Rabbit IgG

Format

BSA Free

Concentration

Concentrations vary lot to lot. See vial label for concentration. If unlisted please contact technical services.

Product Specifications

Immunogen

This antibody was developed against Recombinant Protein corresponding to amino acids: EHSKGCAFAQFMTQEAAQKCLLAASPENEAGGLKLDGRQLKVDLAVTRDEAAKLQTTKVKKPTGTRNLYLAREGLIRAGTKAAEGVSAADMAKRERFELLKHQKLKDQNIFVSRTR

Clonality

Polyclonal

Host

Rabbit

Isotype

IgG

Scientific Data Images for RBM28 Antibody - BSA Free

RBM28 Antibody - BSA Free Immunohistochemistry-Paraffin: RBM28 Antibody - BSA Free [NBP1-84633]

Immunohistochemistry-Paraffin: RBM28 Antibody - BSA Free [NBP1-84633]

Staining of human testis shows high expression.
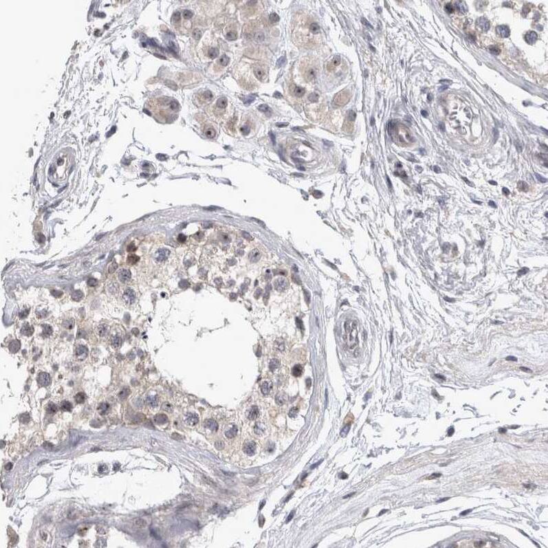
RBM28 Antibody - BSA Free Immunohistochemistry-Paraffin: RBM28 Antibody - BSA Free [NBP1-84633]

Immunohistochemistry-Paraffin: RBM28 Antibody - BSA Free [NBP1-84633]

Analysis in human testis and liver tissues using Anti-RBM28 antibody. Corresponding RBM28 RNA-seq data are presented for the same tissues.
RBM28 Antibody - BSA Free Immunohistochemistry-Paraffin: RBM28 Antibody - BSA Free [NBP1-84633]

Immunohistochemistry-Paraffin: RBM28 Antibody - BSA Free [NBP1-84633]

Staining of human liver shows low expression as expected.

Applications for RBM28 Antibody - BSA Free

Application
Recommended Usage

Immunocytochemistry/ Immunofluorescence

0.25-2 ug/ml

Immunohistochemistry

1:50 - 1:200

Immunohistochemistry-Paraffin

1:50 - 1:200

Western Blot

0.04-0.4 ug/ml
Application Notes
For IHC-Paraffin, HIER pH 6 retrieval is recommended. ICC/IF,Fixation Permeabilization: Use PFA/Triton X-100.

Formulation, Preparation, and Storage

Purification

Affinity purified

Formulation

PBS (pH 7.2) and 40% Glycerol

Format

BSA Free

Preservative

0.02% Sodium Azide

Concentration

Concentrations vary lot to lot. See vial label for concentration. If unlisted please contact technical services.

Shipping

The product is shipped with polar packs. Upon receipt, store it immediately at the temperature recommended below.

Stability & Storage

Store at 4C short term. Aliquot and store at -20C long term. Avoid freeze-thaw cycles.

Background: RBM28

The protein encoded by the RBM28 gene is a specific nucleolar component of the spliceosomal small nuclear ribonucleoprotein (snRNP)complexes . It specifically associates with U1, U2, U4, U5, and U6 small nuclear RNAs (snRNAs), possibly coordinating their transition through the nucleolus. Mutation in this gene causes alopecia, progressive neurological defects, and endocrinopathy (ANE syndrome), a pleiotropic and clinically heterogeneous disorder. Alternatively spliced transcript variants encoding different isoforms have been found for this gene. (provided by RefSeq)

Alternate Names

FLJ10377, RNA binding motif protein 28, RNA-binding motif protein 28,2810480G15Rik, RNA-binding protein 28

Gene Symbol

RBM28

Additional RBM28 Products

Product Documents for RBM28 Antibody - BSA Free

Certificate of Analysis

To download a Certificate of Analysis, please enter a lot number in the search box below.

Product Specific Notices for RBM28 Antibody - BSA Free

This product is for research use only and is not approved for use in humans or in clinical diagnosis. Primary Antibodies are guaranteed for 1 year from date of receipt.

Loading...
Loading...
Loading...
Loading...