Skip to main content

RanBP3 Antibody

Novus Biologicals, part of Bio-Techne | Catalog # NB100-74647

Novus Biologicals, part of Bio-Techne
Catalog #
Availability
Size / Price
Qty
Loading...
NB100-74647

Key Product Details

Validated by

Independent Antibodies, Biological Validation

Species Reactivity

Validated:

Human, Mouse

Cited:

Human, Mouse

Predicted:

Primate (100%). Backed by our 100% Guarantee.

Applications

Validated:

Immunohistochemistry, Immunohistochemistry-Paraffin, Western Blot, Immunocytochemistry/ Immunofluorescence, Immunoprecipitation

Cited:

Western Blot, Immunocytochemistry/ Immunofluorescence

Label

Unconjugated

Antibody Source

Polyclonal Rabbit IgG

Concentration

0.2 mg/ml

Product Specifications

Immunogen

The immunogen recognized by this antibody maps to a region between residue 150 and 200 of human RAN binding protein 3 using the numbering given in entry NP_015561.1 (GeneID 8498).

Reactivity Notes

Orangutan (100%).

Clonality

Polyclonal

Host

Rabbit

Isotype

IgG

Description

Novus Biologicals Rabbit RanBP3 Antibody (NB100-74647) is a polyclonal antibody validated for use in IHC, WB, ICC/IF and IP. Anti-RanBP3 Antibody: Cited in 3 publications. All Novus Biologicals antibodies are covered by our 100% guarantee.

Scientific Data Images for RanBP3 Antibody

Western Blot: RanBP3 Antibody [NB100-74647]

Western Blot: RanBP3 Antibody [NB100-74647]

Western Blot: RanBP3 Antibody [NB100-74647] - Detection of Human and Mouse RanBP3 by Western Blot (h&m) and Immunoprecipitation (h). Samples: Whole cell lysate from HeLa (5, 15 and 50 mcg for WB; 1 mg for IP, 20% of IP loaded), 293T (T; 50 mcg) and mouse NIH3T3 (M; 50 mcg) cells. Antibodies: Affinity purified rabbit anti-RanBP3 antibody NB100-74647 used for WB at 0.04 mcg/ml (A) and 1 mcg/ml (B) and used for IP at 3 mcg/mg lysate. RanBP3 was also immunoprecipitated by another rabbit anti-RanBP3 antibody, which recognizes an upstream epitope. Detection: Chemiluminescence with exposure times of 10 seconds (A) and 3 seconds (B).
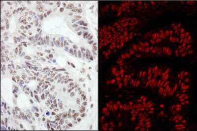
Immunohistochemistry: RanBP3 Antibody [NB100-74647]

Immunohistochemistry: RanBP3 Antibody [NB100-74647]

Immunohistochemistry: RanBP3 Antibody [NB100-74647] - Sample: FFPE sections of human ovarian carcinoma (left) and colon carcinoma (right). Antibody: Affinity purified rabbit anti- RanBP3 used at a dilution of 1:200 (1ug/ml) and 1:80 (2.5 ug/ml). Detection: DAB and Red-fluorescent Goat anti-Rabbit IgG-heavy a

Applications for RanBP3 Antibody

Application
Recommended Usage

Immunocytochemistry/ Immunofluorescence

1:50 - 1:250

Immunohistochemistry

1:10-1:500

Immunohistochemistry-Paraffin

1:10-1:500

Immunoprecipitation

2-5 ug/mg lysate

Western Blot

1:2000-1:10000
Application Notes
Epitope retrieval with citrate buffer pH 6.0 is recommended for FFPE tissue sections.

Formulation, Preparation, and Storage

Purification

Immunogen affinity purified

Formulation

TBS and 0.1% BSA

Preservative

0.09% Sodium Azide

Concentration

0.2 mg/ml

Shipping

The product is shipped with polar packs. Upon receipt, store it immediately at the temperature recommended below.

Stability & Storage

Store at 4C. Do not freeze.

Background: RanBP3

This gene encodes a protein with a RanBD1 domain that is found in both the nucleus and cytoplasm. This protein plays a role in nuclear export as part of a heteromeric complex. Alternate transcriptional splice variants, encoding different isoforms, have been characterized.

Alternate Names

DKFZp586I1520, RAN binding protein 3, ran-binding protein 3, RAN-binding protein-3, RanBP3

Entrez Gene IDs

8498 (Human); 71810 (Mouse)

Gene Symbol

RANBP3

UniProt

Additional RanBP3 Products

Product Documents for RanBP3 Antibody

Certificate of Analysis

To download a Certificate of Analysis, please enter a lot number in the search box below.

Product Specific Notices for RanBP3 Antibody

This product is for research use only and is not approved for use in humans or in clinical diagnosis. Primary Antibodies are guaranteed for 1 year from date of receipt.

Loading...
Loading...
Loading...
Loading...