Skip to main content

Rabex5 Antibody - BSA Free

Novus Biologicals, part of Bio-Techne | Catalog # NBP1-49938

Novus Biologicals, part of Bio-Techne

Key Product Details

Validated by

Independent Antibodies, Biological Validation

Species Reactivity

Validated:

Human, Mouse

Cited:

Human

Predicted:

Bovine (100%). Backed by our 100% Guarantee.

Applications

Validated:

Immunohistochemistry, Immunohistochemistry-Paraffin, Western Blot, Immunoprecipitation

Cited:

Western Blot

Label

Unconjugated

Antibody Source

Polyclonal Rabbit IgG

Format

BSA Free

Concentration

1.0 mg/ml

Product Specifications

Immunogen

The immunogen for this product maps to a region between residue 175 and 225 of human RAB Guanine Nucleotide Exchange Factor (GEF) 1 using the numbering given in entry BAC87138.1 (GeneID 27342).

Clonality

Polyclonal

Host

Rabbit

Isotype

IgG

Description

Novus Biologicals Rabbit Rabex5 Antibody - BSA Free (NBP1-49938) is a polyclonal antibody validated for use in IHC, WB and IP. Anti-Rabex5 Antibody: Cited in 2 publications. All Novus Biologicals antibodies are covered by our 100% guarantee.

Scientific Data Images for Rabex5 Antibody - BSA Free

Western Blot: Rabex5 Antibody [NBP1-49938]

Western Blot: Rabex5 Antibody [NBP1-49938]

Western Blot: Rabex5 Antibody [NBP1-49938] - Detection of Human and Mouse RABGEF1 by Western Blot (h&m) and Immunoprecipitation (h). Samples: Whole cell lysate from HeLa (5, 15 and 50 mcg for WB; 1 mg for IP, 20% of IP loaded), 293T (T; 50 mcg) and mouse NIH3T3 (M; 50 mcg) cells. Antibodies: Affinity purified rabbit anti-RABGEF1 antibody used for WB at 0.1 mcg/ml (A) and 1 mcg/ml (B) and used for IP at 3 mcg/mg lysate. RABGEF1 was also immunoprecipitated by rabbit anti-RABGEF1 antibody which recognizes a downstream epitope. For blotting immunoprecipitated RABGEF1 was used. Detection: Chemiluminescence with exposure times of 3 minutes (A) and 30 seconds (B).
Western Blot: Rabex5 Antibody [NBP1-49938]

Western Blot: Rabex5 Antibody [NBP1-49938]

Rabex5-Antibody-Western-Blot-NBP1-49938-img0005.jpg
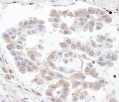
Immunohistochemistry-Paraffin: Rabex5 Antibody [NBP1-49938]

Immunohistochemistry-Paraffin: Rabex5 Antibody [NBP1-49938]

Immunohistochemistry-Paraffin: Rabex5 Antibody [NBP1-49938] - Section of human lung carcinoma. Antibody: Affinity purified rabbit anti- RABGEF1 used at a dilution of 1:1,000 (1ug/ml). Detection: DAB

Applications for Rabex5 Antibody - BSA Free

Application
Recommended Usage

Immunohistochemistry-Paraffin

1:500- 1:2000

Immunoprecipitation

2-5 ug/mg lysate

Western Blot

1:2000-1:10000
Application Notes
Epitope retrieval with citrate buffer pH6.0 is recommended for FFPE tissue sections.

Formulation, Preparation, and Storage

Purification

Immunogen affinity purified

Formulation

Tris-Citrate/Phosphate (pH 7.0 - 8.0)

Format

BSA Free

Preservative

0.09% Sodium Azide

Concentration

1.0 mg/ml

Shipping

The product is shipped with polar packs. Upon receipt, store it immediately at the temperature recommended below.

Stability & Storage

Store at 4C. Do not freeze.

Background: Rabex5

RABGEF1 forms a complex with rabaptin-5 (RABPT5; MIM 603616) that is required for endocytic membrane fusion, and it serves as a specific guanine nucleotide exchange factor for RAB5 (RAB5A; MIM 179512) (Horiuchi et al., 1997 [PubMed 9323142]).[supplied by OMIM]

Alternate Names

FLJ32302, RAB guanine nucleotide exchange factor (GEF) 1, rab5 GDP/GTP exchange factor, Rabaptin-5-associated exchange factor for Rab5, Rabex-5, RABEX5rabex-5, RAP1

Gene Symbol

RABGEF1

Additional Rabex5 Products

Product Documents for Rabex5 Antibody - BSA Free

Certificate of Analysis

To download a Certificate of Analysis, please enter a lot number in the search box below.

Product Specific Notices for Rabex5 Antibody - BSA Free

This product is for research use only and is not approved for use in humans or in clinical diagnosis. Primary Antibodies are guaranteed for 1 year from date of receipt.

Loading...
Loading...
Loading...
Loading...