Skip to main content

RAB6B Antibody (6D12G9) - BSA Free

Novus Biologicals, part of Bio-Techne | Catalog # NBP2-61824

Novus Biologicals, part of Bio-Techne
Catalog #
Availability
Size / Price
Qty
Loading...
NBP2-61824
NBP2-61824-0.025ml

Key Product Details

Species Reactivity

Human, Rat

Applications

Immunohistochemistry, Immunohistochemistry-Paraffin, Western Blot, ELISA

Label

Unconjugated

Antibody Source

Monoclonal Mouse IgG1 Clone # 6D12G9

Format

BSA Free

Concentration

1 mg/ml

Product Specifications

Immunogen

Purified recombinant fragment of human Rab6b (AA: 95-208) expressed in E. Coli.

Clonality

Monoclonal

Host

Mouse

Isotype

IgG1

Theoretical MW

23.5 kDa.
Disclaimer note: The observed molecular weight of the protein may vary from the listed predicted molecular weight due to post translational modifications, post translation cleavages, relative charges, and other experimental factors.

Description

Novus Biologicals Mouse RAB6B Antibody (6D12G9) - BSA Free (NBP2-61824) is a monoclonal antibody validated for use in IHC, WB and ELISA. All Novus Biologicals antibodies are covered by our 100% guarantee.

Scientific Data Images for RAB6B Antibody (6D12G9) - BSA Free

Western Blot: RAB6B Antibody (6D12G9)BSA Free [NBP2-61824]

Western Blot: RAB6B Antibody (6D12G9)BSA Free [NBP2-61824]

Western Blot: RAB6B Antibody (6D12G9) [NBP2-61824] - Analysis using Rab6b mAb against HEK293 (1) and Rab6b (AA: 95-208)-hIgGFc transfected HEK293 (2) cell lysate.
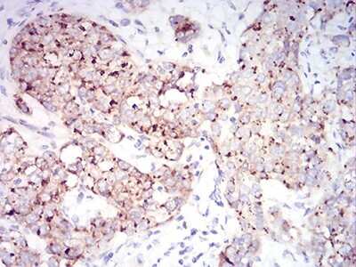
Immunohistochemistry: RAB6B Antibody (6D12G9) - BSA Free [NBP2-61824]

Immunohistochemistry: RAB6B Antibody (6D12G9) - BSA Free [NBP2-61824]

Immunohistochemistry: RAB6B Antibody (6D12G9) [NBP2-61824] - Analysis of paraffin-embedded bladder cancer tissues using Rab6b mouse mAb with DAB staining.
Western Blot: RAB6B Antibody (6D12G9)BSA Free [NBP2-61824]

Western Blot: RAB6B Antibody (6D12G9)BSA Free [NBP2-61824]

Western Blot: RAB6B Antibody (6D12G9) [NBP2-61824] - Analysis using Rab6b mAb against human Rab6b (AA: 95-208) recombinant protein. (Expected MW is 38.7 kDa)

Applications for RAB6B Antibody (6D12G9) - BSA Free

Application
Recommended Usage

ELISA

1:10000

Immunohistochemistry

1:200-1:1000

Immunohistochemistry-Paraffin

1:200-1:1000

Western Blot

1:500-1:2000

Formulation, Preparation, and Storage

Purification

Protein G purified

Formulation

PBS

Format

BSA Free

Preservative

0.05% Sodium Azide

Concentration

1 mg/ml

Shipping

The product is shipped with polar packs. Upon receipt, store it immediately at the temperature recommended below.

Stability & Storage

Store at 4C short term. Aliquot and store at -20C long term. Avoid freeze-thaw cycles.

Background: RAB6B

RAB6B (RAB6B, Member RAS Oncogene Family) is a Protein Coding gene. Among its related pathways are Sertoli-Sertoli Cell Junction Dynamics. GO annotations related to this gene include GTP binding and GTPase activity. An important paralog of this gene is RAB41.;

Alternate Names

RAB6B, member RAS oncogene family, ras-related protein Rab-6B, small GTPase RAB6B, small GTP-binding protein

Gene Symbol

RAB6B

Additional RAB6B Products

Product Documents for RAB6B Antibody (6D12G9) - BSA Free

Certificate of Analysis

To download a Certificate of Analysis, please enter a lot number in the search box below.

Product Specific Notices for RAB6B Antibody (6D12G9) - BSA Free

This product is for research use only and is not approved for use in humans or in clinical diagnosis. Primary Antibodies are guaranteed for 1 year from date of receipt.

Loading...
Loading...
Loading...
Loading...