Pyruvate Dehydrogenase E1 beta subunit Antibody (7V8O5)
Novus Biologicals, part of Bio-Techne | Catalog # NBP3-16455
Recombinant Monoclonal Antibody
Key Product Details
Species Reactivity
Human, Mouse, Rat
Applications
Immunohistochemistry, Immunohistochemistry-Paraffin, Western Blot
Label
Unconjugated
Antibody Source
Recombinant Monoclonal Rabbit IgG Clone # 7V8O5 expressed in HEK293
Concentration
Please see the vial label for concentration. If unlisted please contact technical services.
Product Specifications
Immunogen
A synthetic peptide corresponding to a sequence within amino acids 260-359 of human Pyruvate Dehydrogenase E1 beta subunit (P11177). GVECEVINMRTIRPMDMETIEASVMKTNHLVTVEGGWPQFGVGAEICARIMEGPAFNFLDAPAVRVTGADVPMPYAKILEDNSIPQVKDIIFAIKKTLNI
Clonality
Monoclonal
Host
Rabbit
Isotype
IgG
Description
Novus Biologicals Rabbit Pyruvate Dehydrogenase E1 beta subunit Antibody (7V8O5) (NBP3-16455) is a recombinant monoclonal antibody validated for use in IHC and WB. All Novus Biologicals antibodies are covered by our 100% guarantee.
Scientific Data Images for Pyruvate Dehydrogenase E1 beta subunit Antibody (7V8O5)
Western Blot: Pyruvate Dehydrogenase E1 beta subunit Antibody (7V8O5) [NBP3-16455]
Western Blot: Pyruvate Dehydrogenase E1 beta subunit Antibody (7V8O5) [NBP3-16455] - Western blot analysis of extracts of various cell lines, using Pyruvate Dehydrogenase E1 beta subunit Rabbit mAb (NBP3-16455) at 1:1000 dilution. Secondary antibody: HRP Goat Anti-Rabbit IgG (H+L) at 1:10000 dilution. Lysates/proteins: 25ug per lane. Blocking buffer: 3% nonfat dry milk in TBST. Detection: ECL Basic Kit. Exposure time: 10s.Immunohistochemistry: Pyruvate Dehydrogenase E1 beta subunit Antibody (7V8O5) [NBP3-16455] -
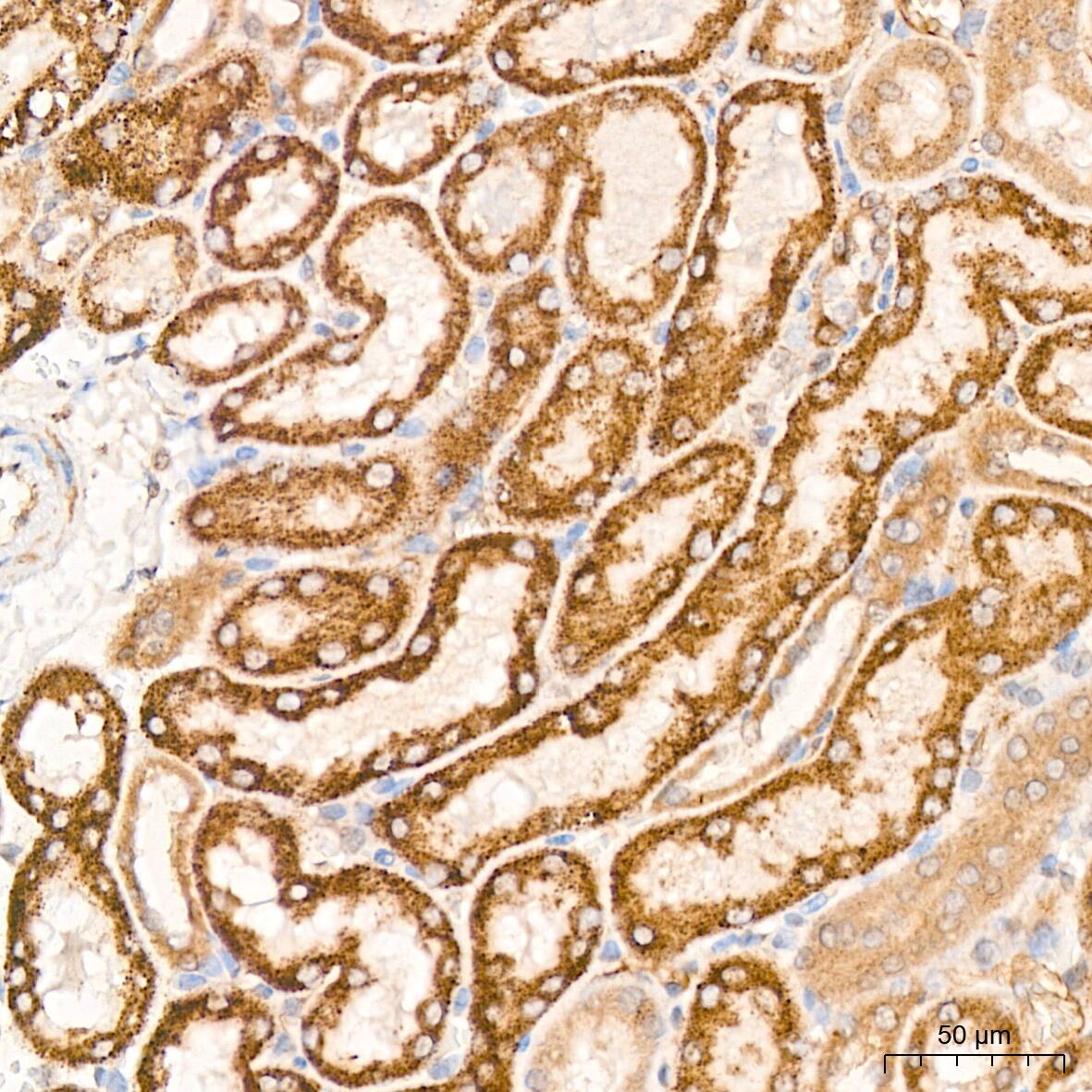
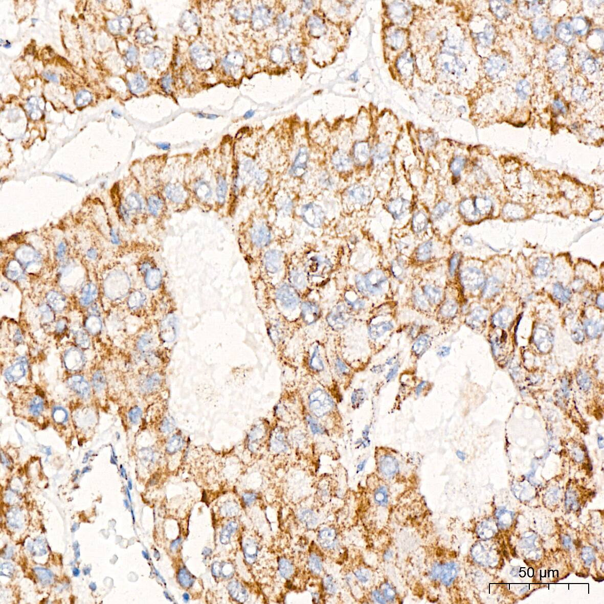
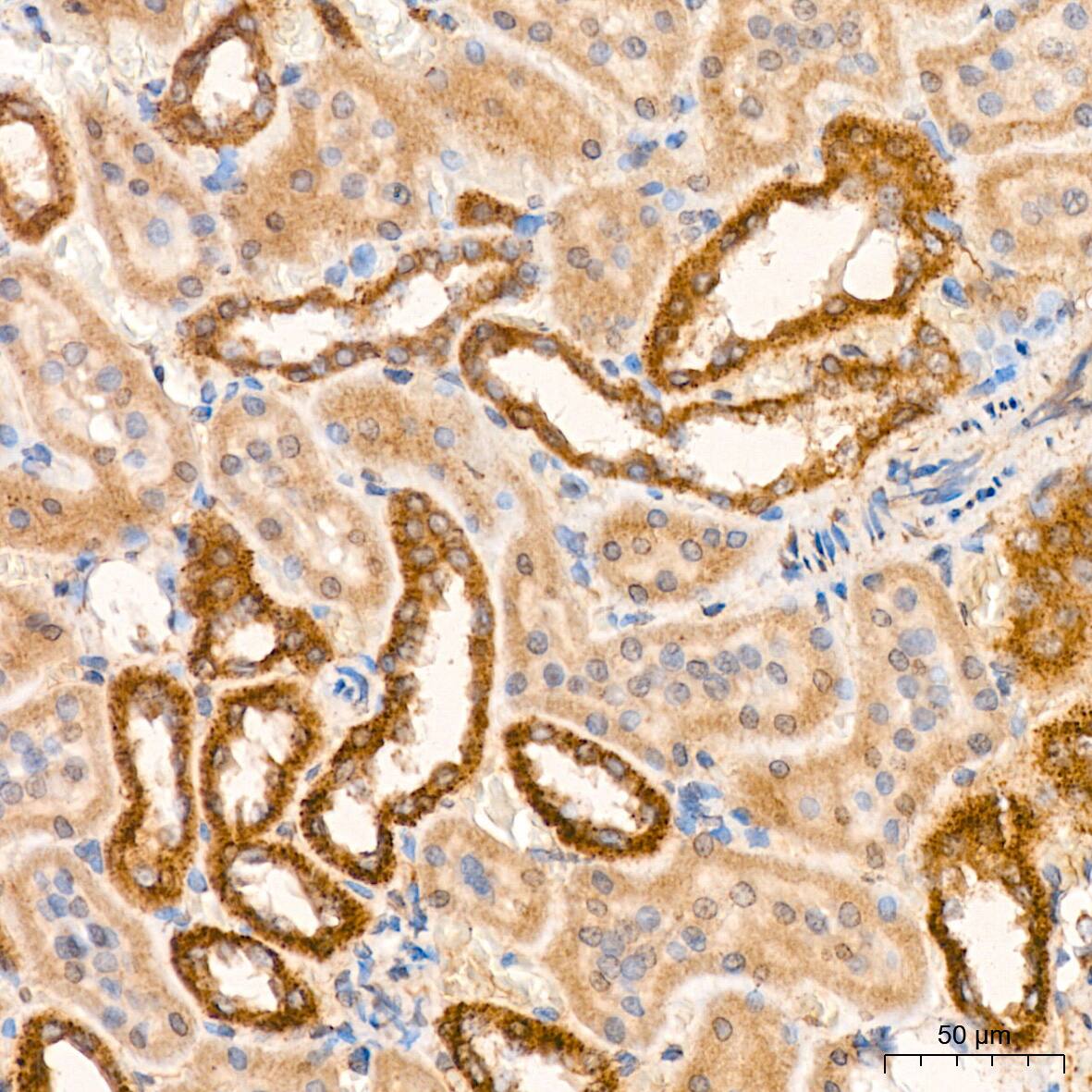
Immunohistochemistry: Pyruvate Dehydrogenase E1 beta subunit Antibody (7V8O5) [NBP3-16455] - Immunohistochemistry analysis of Pyruvate Dehydrogenase E1 beta subunit in paraffin-embedded mouse kidney tissue using Pyruvate Dehydrogenase E1 beta subunit Rabbit mAb at a dilution of 1:200 (40x lens). High pressure antigen retrieval was performed with 0.01 M citrate buffer (pH 6.0) prior to IHC staining.Immunohistochemistry: Pyruvate Dehydrogenase E1 beta subunit Antibody (7V8O5) [NBP3-16455] -
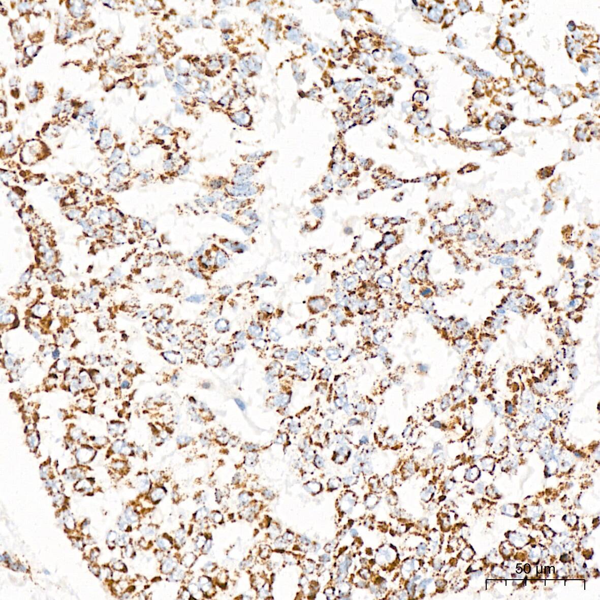
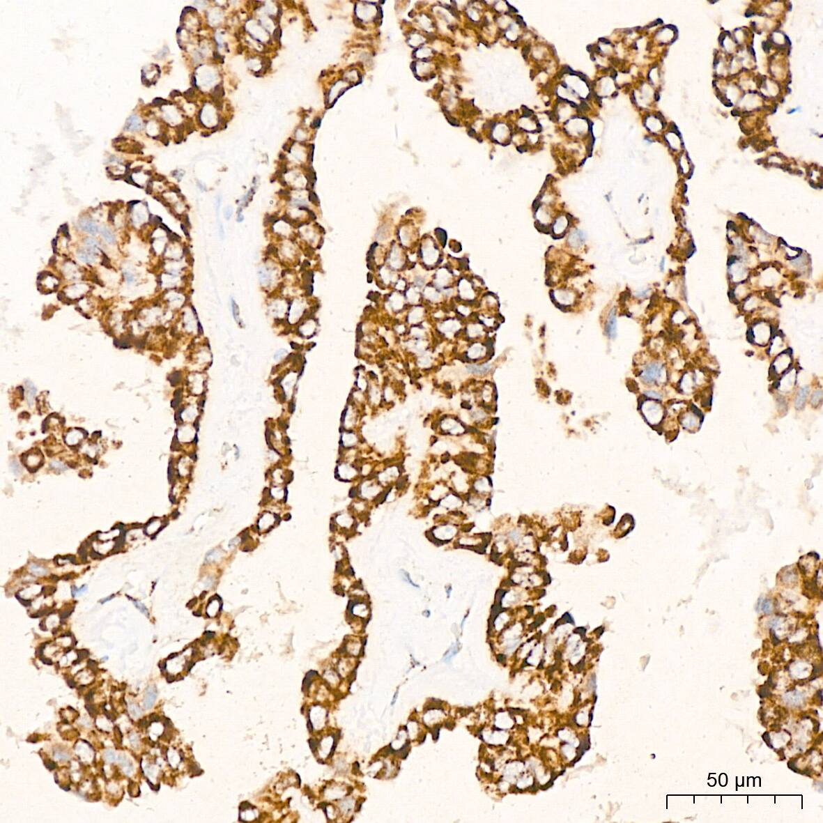
Immunohistochemistry: Pyruvate Dehydrogenase E1 beta subunit Antibody (7V8O5) [NBP3-16455] - Immunohistochemistry analysis of Pyruvate Dehydrogenase E1 beta subunit in paraffin-embedded human thyroid cancer tissue using Pyruvate Dehydrogenase E1 beta subunit Rabbit mAb at a dilution of 1:200 (40x lens). High pressure antigen retrieval was performed with 0.01 M citrate buffer (pH 6.0) prior to IHC staining.Applications for Pyruvate Dehydrogenase E1 beta subunit Antibody (7V8O5)
Application
Recommended Usage
Immunohistochemistry
1:50 - 1:200
Immunohistochemistry-Paraffin
1:50 - 1:200
Western Blot
1:500 - 1:2000
Formulation, Preparation, and Storage
Purification
Affinity purified
Formulation
PBS (pH 7.3), 50% glycerol, 0.05% BSA
Preservative
0.02% Sodium Azide
Concentration
Please see the vial label for concentration. If unlisted please contact technical services.
Shipping
The product is shipped with polar packs. Upon receipt, store it immediately at the temperature recommended below.
Stability & Storage
Store at -20C. Avoid freeze-thaw cycles.
Background: Pyruvate Dehydrogenase E1 beta subunit
Alternate Names
DKFZp564K0164, mitochondrial, pyruvate dehydrogenase (lipoamide) beta, pyruvate dehydrogenase, E1 beta polypeptide
Gene Symbol
PDHB
Additional Pyruvate Dehydrogenase E1 beta subunit Products
Product Documents for Pyruvate Dehydrogenase E1 beta subunit Antibody (7V8O5)
Product Specific Notices for Pyruvate Dehydrogenase E1 beta subunit Antibody (7V8O5)
This product is for research use only and is not approved for use in humans or in clinical diagnosis. Primary Antibodies are guaranteed for 1 year from date of receipt.
Loading...
Loading...
Loading...
Loading...