Skip to main content

PUMA Antibody (9C5W5)

Novus Biologicals, part of Bio-Techne | Catalog # NBP3-16268

Recombinant Monoclonal Antibody
Novus Biologicals, part of Bio-Techne
Catalog #
Availability
Size / Price
Qty
Loading...
NBP3-16268-100ul
NBP3-16268-20ul

Key Product Details

Species Reactivity

Human, Mouse, Rat

Applications

Immunocytochemistry/ Immunofluorescence, Immunohistochemistry, Immunohistochemistry-Paraffin, Western Blot

Label

Unconjugated

Antibody Source

Recombinant Monoclonal Rabbit IgG Clone # 9C5W5 expressed in HEK293

Concentration

Please see the vial label for concentration. If unlisted please contact technical services.

Product Specifications

Immunogen

A synthetic peptide corresponding to a sequence within amino acids 100-193 of human PUMA (NP_055232.1) AEQHLESPVPSAPGALAGGPTQAAPGVRGEEEQWAREIGAQLRRMADDLNAQYERRRQEEQQRHRPSPWRVLYNLIMGLLPLPRGHRAPEMEPN

Clonality

Monoclonal

Host

Rabbit

Isotype

IgG

Description

Novus Biologicals Rabbit PUMA Antibody (9C5W5) (NBP3-16268) is a recombinant monoclonal antibody validated for use in IHC, WB and ICC/IF. All Novus Biologicals antibodies are covered by our 100% guarantee.

Scientific Data Images for PUMA Antibody (9C5W5)

Western Blot: PUMA Antibody (9C5W5) [NBP3-16268]

Western Blot: PUMA Antibody (9C5W5) [NBP3-16268]

Western Blot: PUMA Antibody (9C5W5) [NBP3-16268] - Analysis of extracts of various cell lines, using PUMA Rabbit mAb (NBP3-16268) at 1:1000 dilution. Secondary antibody: HRP Goat Anti-Rabbit IgG (H+L) at 1:10000 dilution. Lysates/proteins: 25ug per lane. Blocking buffer: 3% nonfat dry milk in TBST. Detection: ECL Basic Kit. Exposure time: 30s.
Immunohistochemistry-Paraffin: PUMA Antibody (9C5W5) [NBP3-16268]

Immunohistochemistry-Paraffin: PUMA Antibody (9C5W5) [NBP3-16268]

Immunohistochemistry-Paraffin: PUMA Antibody (9C5W5) [NBP3-16268] - Mouse spinal cord using PUMA Rabbit mAb (NBP3-16268) at dilution of 1:100 (40x lens).Perform microwave antigen retrieval with 10 mM PBS buffer pH 7.2 before commencing with IHC staining protocol.
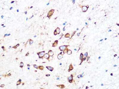
Immunohistochemistry-Paraffin: PUMA Antibody (9C5W5) [NBP3-16268]

Immunohistochemistry-Paraffin: PUMA Antibody (9C5W5) [NBP3-16268]

Immunohistochemistry-Paraffin: PUMA Antibody (9C5W5) [NBP3-16268] - Rat brain using PUMA Rabbit mAb (NBP3-16268) at dilution of 1:100 (40x lens).Perform microwave antigen retrieval with 10 mM PBS buffer pH 7.2 before commencing with IHC staining protocol.

Applications for PUMA Antibody (9C5W5)

Application
Recommended Usage

Immunocytochemistry/ Immunofluorescence

1:50 - 1:200

Immunohistochemistry

1:50 - 1:200

Immunohistochemistry-Paraffin

1:50 - 1:200

Western Blot

1:500 - 1:1000

Formulation, Preparation, and Storage

Purification

Affinity purified

Formulation

PBS (pH 7.3), 50% glycerol, 0.05% BSA

Preservative

0.02% Sodium Azide

Concentration

Please see the vial label for concentration. If unlisted please contact technical services.

Shipping

The product is shipped with polar packs. Upon receipt, store it immediately at the temperature recommended below.

Stability & Storage

Store at -20C. Avoid freeze-thaw cycles.

Background: PUMA

p53 upregulated modulator of apoptosis (PUMA), also called BBC3, is a target for activation by the p53 tumor-suppressor gene. p53 functions as a transcriptional activator, and influences p53-inducible genes that play a role in the induction of apoptosis in response to p53. Antisense inhibition of PUMA expression reduced the apoptotic response to p53, and PUMA is likely to play a role in mediating p53-induced cell death through the cytochrome c/Apaf-1-dependent pathway.

Alternate Names

BCL2 binding component 3, bcl-2-binding component 3, JFY1, JFY-1, p53 up-regulated modulator of apoptosis, PUMAFLJ42994

Gene Symbol

BBC3

Additional PUMA Products

Product Documents for PUMA Antibody (9C5W5)

Certificate of Analysis

To download a Certificate of Analysis, please enter a lot number in the search box below.

Product Specific Notices for PUMA Antibody (9C5W5)

This product is for research use only and is not approved for use in humans or in clinical diagnosis. Primary Antibodies are guaranteed for 1 year from date of receipt.

Loading...
Loading...
Loading...
Loading...