PTPRN2 Antibody - BSA Free
Novus Biologicals, part of Bio-Techne | Catalog # NBP3-35468
Key Product Details
Species Reactivity
Human, Mouse, Rat
Applications
Immunohistochemistry, Immunohistochemistry-Paraffin, Western Blot, ELISA
Label
Unconjugated
Antibody Source
Polyclonal Rabbit IgG
Format
BSA Free
Concentration
Please see the vial label for concentration. If unlisted please contact technical services.
Product Specifications
Immunogen
Recombinant fusion protein containing a sequence corresponding to amino acids 22-242 of human PTPRN2 (NP_570858.2).
Sequence:
AAPSSVPRGRQLPGRLGCLLEEGLCGASEACVNDGVFGRCQKVPAMDFYRYEVSPVALQRLRVALQKLSGTGFTWQDDYTQYVMDQELADLPKTYLRRPEASSPARPSKHSVGSERRYSREGGAALANALRRHLPFLEALSQAPASDVLARTHTAQDRPPAEGDDRFSESILTYVAHTSALTYPPGSRTQLREDLLPRTLGQLQPDELSPKVDSGVDRHHL
Sequence:
AAPSSVPRGRQLPGRLGCLLEEGLCGASEACVNDGVFGRCQKVPAMDFYRYEVSPVALQRLRVALQKLSGTGFTWQDDYTQYVMDQELADLPKTYLRRPEASSPARPSKHSVGSERRYSREGGAALANALRRHLPFLEALSQAPASDVLARTHTAQDRPPAEGDDRFSESILTYVAHTSALTYPPGSRTQLREDLLPRTLGQLQPDELSPKVDSGVDRHHL
Clonality
Polyclonal
Host
Rabbit
Isotype
IgG
Theoretical MW
111 kDa.
Disclaimer note: The observed molecular weight of the protein may vary from the listed predicted molecular weight due to post translational modifications, post translation cleavages, relative charges, and other experimental factors.
Disclaimer note: The observed molecular weight of the protein may vary from the listed predicted molecular weight due to post translational modifications, post translation cleavages, relative charges, and other experimental factors.
Description
Novus Biologicals Rabbit PTPRN2 Antibody - BSA Free (NBP3-35468) is a polyclonal antibody validated for use in IHC, WB and ELISA. All Novus Biologicals antibodies are covered by our 100% guarantee.
Scientific Data Images for PTPRN2 Antibody - BSA Free
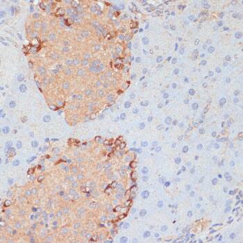
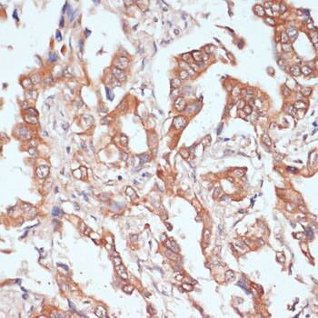
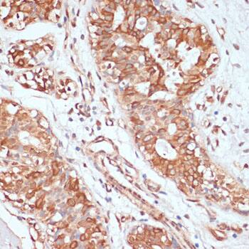
Immunohistochemistry: PTPRN2 Antibody [NBP3-35468] -
Immunohistochemistry: PTPRN2 Antibody [NBP3-35468] - Immunohistochemistry analysis of paraffin-embedded Human colon carcinoma using PTPRN2 Rabbit pAb at dilution of 1:100 (40x lens). Microwave antigen retrieval performed with 0.01M PBS Buffer (pH 7.2) prior to IHC staining.Immunohistochemistry: PTPRN2 Antibody [NBP3-35468] -
Immunohistochemistry: PTPRN2 Antibody [NBP3-35468] - Immunohistochemistry analysis of paraffin-embedded Human lung cancer using PTPRN2 Rabbit pAb at dilution of 1:100 (40x lens). Microwave antigen retrieval performed with 0.01M PBS Buffer (pH 7.2) prior to IHC staining.Immunohistochemistry: PTPRN2 Antibody [NBP3-35468] -
Immunohistochemistry: PTPRN2 Antibody [NBP3-35468] - Immunohistochemistry analysis of paraffin-embedded Mouse pancreas using PTPRN2 Rabbit pAb at dilution of 1:100 (40x lens). Microwave antigen retrieval performed with 0.01M PBS Buffer (pH 7.2) prior to IHC staining.Applications for PTPRN2 Antibody - BSA Free
Application
Recommended Usage
ELISA
Recommended starting concentration is 1 ug/mL
Immunohistochemistry-Paraffin
1:50 - 1:100
Western Blot
1:500 - 1:2000
Formulation, Preparation, and Storage
Purification
Affinity purified
Formulation
PBS (pH 7.3), 50% glycerol
Format
BSA Free
Preservative
0.09% Sodium Azide
Concentration
Please see the vial label for concentration. If unlisted please contact technical services.
Shipping
The product is shipped with polar packs. Upon receipt, store it immediately at the temperature recommended below.
Stability & Storage
Store at -20C. Avoid freeze-thaw cycles.
Background: PTPRN2
Alternate Names
EC 3.1.3.48, IA-2beta, IAR/receptor-like protein-tyrosine phosphatase, ICAARIARPTPRP, Islet cell autoantigen-related protein, KIAA0387, Phogrin, protein tyrosine phosphatase receptor pi, protein tyrosine phosphatase, receptor type, N polypeptide 2, receptor-type tyrosine-protein phosphatase N2, R-PTP-N2, tyrosine phosphatase IA-2 beta
Gene Symbol
PTPRN2
Additional PTPRN2 Products
Product Documents for PTPRN2 Antibody - BSA Free
Product Specific Notices for PTPRN2 Antibody - BSA Free
This product is for research use only and is not approved for use in humans or in clinical diagnosis. Primary Antibodies are guaranteed for 1 year from date of receipt.
Loading...
Loading...
Loading...
Loading...