Skip to main content

PTGER2 Antibody (8D8) - BSA Free

Novus Biologicals, part of Bio-Techne | Catalog # NBP3-15217

Recombinant monoclonal antibody expressed in HEK293F cells
Novus Biologicals, part of Bio-Techne
Catalog #
Availability
Size / Price
Qty
Loading...
NBP3-15217

Key Product Details

Species Reactivity

Human

Applications

ELISA, Immunohistochemistry

Label

Unconjugated

Antibody Source

Recombinant Monoclonal Rabbit IgG Clone # 8D8 expressed in HEK293

Format

BSA Free

Concentration

Please see the vial label for concentration. If unlisted please contact technical services.

Product Specifications

Immunogen

A synthesized peptide derived from human PTGER2. UniProt ID (P43116).

Clonality

Monoclonal

Host

Rabbit

Isotype

IgG

Description

Novus Biologicals Rabbit PTGER2 Antibody (8D8) - BSA Free (NBP3-15217) is a recombinant monoclonal antibody validated for use in IHC and ELISA. All Novus Biologicals antibodies are covered by our 100% guarantee.

Scientific Data Images for PTGER2 Antibody (8D8) - BSA Free

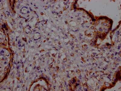
Immunohistochemistry: PTGER2 Antibody (8D8) [NBP3-15217]

Immunohistochemistry: PTGER2 Antibody (8D8) [NBP3-15217]

Immunohistochemistry: PTGER2 Antibody (8D8) [NBP3-15217] - IHC image of PTGER2 antibody diluted at 1:100 and staining in paraffin-embedded human kidney tissue. After dewaxing and hydration, antigen retrieval was mediated by high pressure in a citrate buffer (pH 6.0). Section was blocked with 10% normal goat serum 30 minutes at RT. Then primary antibody (1% BSA) was incubated at 4C overnight. The primary is detected by a Goat anti-rabbit IgG polymer labeled by HRP and visualized using 0.05% DAB.
Immunohistochemistry: PTGER2 Antibody (8D8) [NBP3-15217]

Immunohistochemistry: PTGER2 Antibody (8D8) [NBP3-15217]

Immunohistochemistry: PTGER2 Antibody (8D8) [NBP3-15217] - IHC image of PTGER2 antibody diluted at 1:100 and staining in paraffin-embedded human placenta tissue. After dewaxing and hydration, antigen retrieval was mediated by high pressure in a citrate buffer (pH 6.0). Section was blocked with 10% normal goat serum 30 minutes at RT. Then primary antibody (1% BSA) was incubated at 4C overnight. The primary is detected by a Goat anti-rabbit IgG polymer labeled by HRP and visualized using 0.05% DAB.

Applications for PTGER2 Antibody (8D8) - BSA Free

Application
Recommended Usage

Immunohistochemistry

1:50-1:200

Formulation, Preparation, and Storage

Purification

Affinity purified

Formulation

PBS, pH 7.4, 150mM NaCl, and 50% glycerol

Format

BSA Free

Preservative

0.02% Sodium Azide

Concentration

Please see the vial label for concentration. If unlisted please contact technical services.

Shipping

The product is shipped with polar packs. Upon receipt, store it immediately at the temperature recommended below.

Stability & Storage

Store at -20 to -70C. Avoid freeze-thaw cycles.

Background: PTGER2

Prostaglandin E2, a member of the autacoid family of lipid mediators, is a major renal cyclooxygenase product of arachidonic acid metabolism.Prostaglandin E2 binds to four G protein-coupled E-prostanoid receptors,designated EP1, EP2, EP3 and EP4. The expression and function of the prostaglandin E2 receptors have been highly characterized in kidney. EP1,which is predominantly expressed in the collecting duct, couples to Gq proteins to inhibit sodium absorption and increase in intracellular calcium, which act as second messengers. EP2 is coupled to Gs proteins, which stimulate adenylyl cyclase. EP2 has the lowest expression in kidney, but EP2 knockout mice exhibit salt-sensitive hypertension, which suggests a role for EP2 in salt excretion. EP3 is expressed in renal vessels, thick ascending limb and collecting duct. EP3 has at least 6 alternative splice variants that couple to Gi proteins to inhibit cAMP, which subsequently inhibit sodium and water transport. In uterus, EP3 induces the contraction of uterine smooth muscles.EP4 is expressed in glomerulus and collecting duct. It couples to Gs proteins,which stimulate adenylyl cyclase and regulate glomerular tone and renal renin release.

Long Name

Prostaglandin E2 Receptor 2, Subtype EP2

Alternate Names

EP2

Gene Symbol

PTGER2

Additional PTGER2 Products

Product Documents for PTGER2 Antibody (8D8) - BSA Free

Certificate of Analysis

To download a Certificate of Analysis, please enter a lot number in the search box below.

Product Specific Notices for PTGER2 Antibody (8D8) - BSA Free

This product is for research use only and is not approved for use in humans or in clinical diagnosis. Primary Antibodies are guaranteed for 1 year from date of receipt.

Loading...
Loading...
Loading...
Loading...