Skip to main content

PSMB5 Antibody - BSA Free

Novus Biologicals, part of Bio-Techne | Catalog # NBP3-29772

Novus Biologicals, part of Bio-Techne
Catalog #
Availability
Size / Price
Qty
Loading...
NBP3-29772

Key Product Details

Species Reactivity

Human

Applications

Immunohistochemistry, Western Blot, Immunoprecipitation

Label

Unconjugated

Antibody Source

Polyclonal Rabbit IgG

Format

BSA Free

Concentration

Please see the vial label for concentration. If unlisted please contact technical services.

Product Specifications

Immunogen

Between 213 and 263

Clonality

Polyclonal

Host

Rabbit

Isotype

IgG

Description

Novus Biologicals Rabbit PSMB5 Antibody - BSA Free (NBP3-29772) is a polyclonal antibody validated for use in IHC, WB and IP. All Novus Biologicals antibodies are covered by our 100% guarantee.

Scientific Data Images for PSMB5 Antibody - BSA Free

PSMB5 Antibody

Immunohistochemistry;PSMB5 Antibody[NBP3-29771]

Immunohistochemistry;PSMB5 Antibody[NBP3-29771]Detection of human PSMB5 by immunohistochemistry. Sample: FFPE section of human breast carcinoma. Antibody: Affinity purified rabbit anti-PSMB5 used at a dilution of 1:5,000 . Detection: DAB
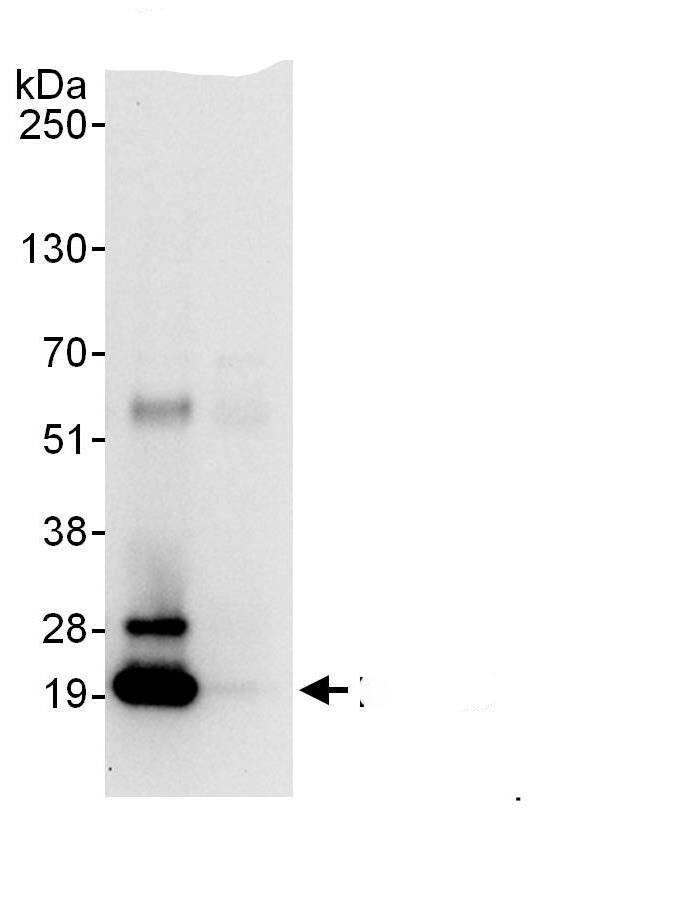
PSMB5 Antibody

Immunoprecipitation:PSMB5 AntibodyNBP3-29772] -

Immunoprecipitation:PSMB5 AntibodyNBP3-29772] -Detection of human PSMB5 by western blot of immunoprecipitates. Samples: Whole cell lysate (1 mg for IP; 20% of IP loaded) from HEK293T cells. Antibodies: Affinity purified rabbit anti-PSMB5 antibody NBP3-29772 (lot NBP3-29772-1) used for IP at 6 µg/mg lysate. For blotting immunoprecipitated PSMB5, was used at 1 µg/ml. Detection: Chemiluminescence with an exposure time of 30 seconds.

Applications for PSMB5 Antibody - BSA Free

Application
Recommended Usage

Immunohistochemistry

Optimal dilutions of this antibody should be experimentally determined.

Immunoprecipitation

Optimal dilutions of this antibody should be experimentally determined.

Western Blot

Optimal dilutions of this antibody should be experimentally determined.

Formulation, Preparation, and Storage

Purification

Affinity purified

Formulation

Tris-citrate/phosphate buffer, pH 7 to 8

Format

BSA Free

Preservative

0.09% Sodium Azide

Concentration

Please see the vial label for concentration. If unlisted please contact technical services.

Shipping

The product is shipped with polar packs. Upon receipt, store it immediately at the temperature recommended below.

Stability & Storage

Store at 4C. Do not freeze.

Background: PSMB5

The proteasome is a multicatalytic proteinase complex with a highly ordered ring-shaped 20S core structure. The core structure is composed of 4 rings of 28 non-identical subunits; 2 rings are composed of 7 alpha subunits and 2 rings are composed of 7 beta subunits. Proteasomes are distributed throughout eukaryotic cells at a high concentration and cleave peptides in an ATP/ubiquitin-dependent process in a non-lysosomal pathway. An essential function of a modified proteasome, the immunoproteasome, is the processing of class I MHC peptides. This gene encodes a member of the proteasome B-type family, also known as the T1B family, that is a 20S core beta subunit in the proteasome. This catalytic subunit is not present in the immunoproteasome and is replaced by catalytic subunit 3i (proteasome beta 8 subunit).

Long Name

Proteasome subunit beta type-5

Alternate Names

LMPX, MB1, Proteasome chain 6

Gene Symbol

PSMB5

Additional PSMB5 Products

Product Documents for PSMB5 Antibody - BSA Free

Certificate of Analysis

To download a Certificate of Analysis, please enter a lot number in the search box below.

Product Specific Notices for PSMB5 Antibody - BSA Free

This product is for research use only and is not approved for use in humans or in clinical diagnosis. Primary Antibodies are guaranteed for 1 year from date of receipt.

Loading...
Loading...
Loading...
Loading...