Skip to main content

PSMA7 Antibody - BSA Free

Novus Biologicals, part of Bio-Techne | Catalog # NBP3-38071

Novus Biologicals, part of Bio-Techne
Catalog #
Availability
Size / Price
Qty
Loading...
NBP3-38071-100ul
NBP3-38071-20ul

Key Product Details

Species Reactivity

Human, Mouse, Rat

Applications

ELISA, Immunocytochemistry/ Immunofluorescence, Immunohistochemistry, Immunohistochemistry-Paraffin, Western Blot

Label

Unconjugated

Antibody Source

Polyclonal Rabbit IgG

Format

BSA Free

Concentration

Please see the vial label for concentration. If unlisted please contact technical services.

Product Specifications

Immunogen

Recombinant fusion protein containing a sequence corresponding to amino acids 1-248 of human PSMA7 (NP_002783.1).

Sequence:
MSYDRAITVFSPDGHLFQVEYAQEAVKKGSTAVGVRGRDIVVLGVEKKSVAKLQDERTVRKICALDDNVCMAFAGLTADARIVINRARVECQSHRLTVEDPVTVEYITRYIASLKQRYTQSNGRRPFGISALIVGFDFDGTPRLYQTDPSGTYHAWKANAIGRGAKSVREFLEKNYTDEAIETDDLTIKLVIKALLEVVQSGGKNIELAVMRRDQSLKILNPEEIEKYVAEIEKEKEENEKKKQKKAS

Clonality

Polyclonal

Host

Rabbit

Isotype

IgG

Theoretical MW

28 kDa.
Disclaimer note: The observed molecular weight of the protein may vary from the listed predicted molecular weight due to post translational modifications, post translation cleavages, relative charges, and other experimental factors.

Description

Novus Biologicals Rabbit PSMA7 Antibody - BSA Free (NBP3-38071) is a polyclonal antibody validated for use in IHC, WB, ELISA and ICC/IF. All Novus Biologicals antibodies are covered by our 100% guarantee.

Scientific Data Images for PSMA7 Antibody - BSA Free

PSMA7 Antibody

Western Blot: PSMA7 Antibody [NBP3-38071] -

Western Blot: PSMA7 Antibody [NBP3-38071] - Western blot analysis of various lysates using PSMA7 Rabbit pAb at 1:1000 dilution.
Secondary antibody: HRP-conjugated Goat anti-Rabbit IgG (H+L) at 1:10000 dilution.
Lysates/proteins: 25ug per lane.
Blocking buffer: 3% nonfat dry milk in TBST.
Detection: ECL Basic Kit.
Exposure time: 1s.
PSMA7 Antibody

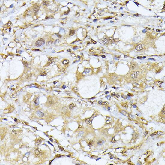
Immunohistochemistry: PSMA7 Antibody [NBP3-38071] -

Immunohistochemistry: PSMA7 Antibody [NBP3-38071] - Immunohistochemistry analysis of paraffin-embedded Mouse liver using PSMA7 Rabbit pAb at dilution of 1:100 (40x lens). Microwave antigen retrieval performed with 0.01M PBS Buffer (pH 7.2) prior to IHC staining.
PSMA7 Antibody

Immunocytochemistry/ Immunofluorescence: PSMA7 Antibody [NBP3-38071] -

Immunocytochemistry/ Immunofluorescence: PSMA7 Antibody [NBP3-38071] - Immunofluorescence analysis of NIH-3T3 cells using PSMA7 Rabbit pAb at dilution of 1:100. Secondary antibody: Cy3-conjugated Goat anti-Rabbit IgG (H+L) at 1:500 dilution. Blue: DAPI for nuclear staining.

Applications for PSMA7 Antibody - BSA Free

Application
Recommended Usage

Immunocytochemistry/ Immunofluorescence

1:50 - 1:100

Immunohistochemistry-Paraffin

1:50 - 1:100

Western Blot

1:500 - 1:2000

Formulation, Preparation, and Storage

Purification

Affinity purified

Formulation

PBS (pH 7.3), 50% glycerol

Format

BSA Free

Preservative

0.02% Sodium Azide

Concentration

Please see the vial label for concentration. If unlisted please contact technical services.

Shipping

The product is shipped with polar packs. Upon receipt, store it immediately at the temperature recommended below.

Stability & Storage

Store at -20C. Avoid freeze-thaw cycles.

Background: PSMA7

The proteasome is a multicatalytic proteinase complex with a highly ordered ring-shaped 20S core structure. The core structure is composed of 4 rings of 28 non-identical subunits; 2 rings are composed of 7 alpha subunits and 2 rings are composed of 7 beta subunits. Proteasomes are distributed throughout eukaryotic cells at a high concentration and cleave peptides in an ATP/ubiquitin-dependent process in a non-lysosomal pathway. An essential function of a modified proteasome, the immunoproteasome, is the processing of class I MHC peptides. This gene encodes a member of the peptidase T1A family, that is a 20S core alpha subunit. This particular subunit has been shown to interact specifically with the hepatitis B virus X protein, a protein critical to viral replication. In addition, this subunit is involved in regulating hepatitis virus C internal ribosome entry site (IRES) activity, an activity essential for viral replication. This core alpha subunit is also involved in regulating the hypoxia-inducible factor-1alpha, a transcription factor important for cellular responses to oxygen tension. Multiple isoforms of this subunit arising from alternative splicing may exist but alternative transcripts for only two isoforms have been defined. A pseudogene has been identified on chromosome 9.

Long Name

Proteasome subunit alpha type-7

Alternate Names

HSPC

Gene Symbol

PSMA7

Additional PSMA7 Products

Product Documents for PSMA7 Antibody - BSA Free

Certificate of Analysis

To download a Certificate of Analysis, please enter a lot number in the search box below.

Product Specific Notices for PSMA7 Antibody - BSA Free

This product is for research use only and is not approved for use in humans or in clinical diagnosis. Primary Antibodies are guaranteed for 1 year from date of receipt.

Loading...
Loading...
Loading...
Loading...