PRPF3 Antibody - BSA Free
Novus Biologicals, part of Bio-Techne | Catalog # NBP3-38160
Key Product Details
Species Reactivity
Human, Mouse, Rat
Applications
ELISA, Immunocytochemistry/ Immunofluorescence, Immunohistochemistry, Immunohistochemistry-Paraffin, Immunoprecipitation, Western Blot
Label
Unconjugated
Antibody Source
Polyclonal Rabbit IgG
Format
BSA Free
Concentration
Please see the vial label for concentration. If unlisted please contact technical services.
Product Specifications
Immunogen
Recombinant fusion protein containing a sequence corresponding to amino acids 1-280 of human PRPF3 (NP_004689.1).
Sequence:
MALSKRELDELKPWIEKTVKRVLGFSEPTVVTAALNCVGKGMDKKKAADHLKPFLDDSTLRFVDKLFEAVEEGRSSRHSKSSSDRSRKRELKEVFGDDSEISKESSGVKKRRIPRFEEVEEEPEVIPGPPSESPGMLTKLQIKQMMEAATRQIEERKKQLSFISPPTPQPKTPSSSQPERLPIGNTIQPSQAATFMNDAIEKARKAAELQARIQAQLALKPGLIGNANMVGLANLHAMGIAPPKVELKDQTKPTPLILDEQGRTVDATGKEIELTHRMPT
Sequence:
MALSKRELDELKPWIEKTVKRVLGFSEPTVVTAALNCVGKGMDKKKAADHLKPFLDDSTLRFVDKLFEAVEEGRSSRHSKSSSDRSRKRELKEVFGDDSEISKESSGVKKRRIPRFEEVEEEPEVIPGPPSESPGMLTKLQIKQMMEAATRQIEERKKQLSFISPPTPQPKTPSSSQPERLPIGNTIQPSQAATFMNDAIEKARKAAELQARIQAQLALKPGLIGNANMVGLANLHAMGIAPPKVELKDQTKPTPLILDEQGRTVDATGKEIELTHRMPT
Clonality
Polyclonal
Host
Rabbit
Isotype
IgG
Theoretical MW
78 kDa.
Disclaimer note: The observed molecular weight of the protein may vary from the listed predicted molecular weight due to post translational modifications, post translation cleavages, relative charges, and other experimental factors.
Disclaimer note: The observed molecular weight of the protein may vary from the listed predicted molecular weight due to post translational modifications, post translation cleavages, relative charges, and other experimental factors.
Description
Novus Biologicals Rabbit PRPF3 Antibody - BSA Free (NBP3-38160) is a polyclonal antibody validated for use in IHC, WB, ELISA, ICC/IF and IP. All Novus Biologicals antibodies are covered by our 100% guarantee.
Scientific Data Images for PRPF3 Antibody - BSA Free
Immunocytochemistry/ Immunofluorescence: PRPF3 Antibody [NBP3-38160] -
Immunocytochemistry/ Immunofluorescence: PRPF3 Antibody [NBP3-38160] - Immunofluorescence analysis of U2OS cells using PRPF3 Rabbit pAb. Secondary antibody: Cy3-conjugated Goat anti-Rabbit IgG (H+L) at 1:500 dilution. Blue: DAPI for nuclear staining.Western Blot: PRPF3 Antibody [NBP3-38160] -
Western Blot: PRPF3 Antibody [NBP3-38160] - Western blot analysis of lysates from THP-1 cells, using PRPF3 Rabbit pAb at 1:1000 dilution.Secondary antibody: HRP-conjugated Goat anti-Rabbit IgG (H+L) at 1:10000 dilution.
Lysates/proteins: 25ug per lane.
Blocking buffer: 3% nonfat dry milk in TBST.
Detection: ECL Enhanced Kit.
Exposure time: 60s.
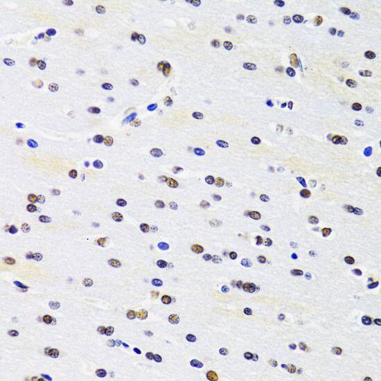
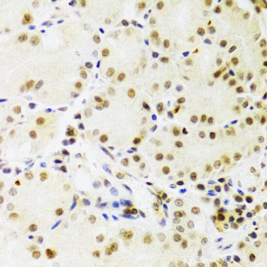
Immunohistochemistry: PRPF3 Antibody [NBP3-38160] -
Immunohistochemistry: PRPF3 Antibody [NBP3-38160] - Immunohistochemistry analysis of paraffin-embedded Mouse brain using PRPF3 Rabbit pAb at dilution of 1:100 (40x lens). Microwave antigen retrieval performed with 0.01M PBS Buffer (pH 7.2) prior to IHC staining.Applications for PRPF3 Antibody - BSA Free
Application
Recommended Usage
Immunocytochemistry/ Immunofluorescence
1:50 - 1:200
Immunohistochemistry-Paraffin
1:50 - 1:200
Immunoprecipitation
1:50 - 1:100
Western Blot
1:500 - 1:1000
Formulation, Preparation, and Storage
Purification
Affinity purified
Formulation
PBS (pH 7.3), 50% glycerol
Format
BSA Free
Preservative
0.02% Sodium Azide
Concentration
Please see the vial label for concentration. If unlisted please contact technical services.
Shipping
The product is shipped with polar packs. Upon receipt, store it immediately at the temperature recommended below.
Stability & Storage
Store at -20C. Avoid freeze-thaw cycles.
Background: PRPF3
Alternate Names
hPrp3, HPRP3P, HPRP3retinitis pigmentosa 18 (autosomal dominant), Pre-mRNA-splicing factor 3, Prp3, PRP3 pre-mRNA processing factor 3 homolog (S. cerevisiae), PRP3 pre-mRNA processing factor 3 homolog (yeast), Prp3p, RP18, U4/U6 small nuclear ribonucleoprotein Prp3, U4/U6 snRNP 90 kDa protein, U4/U6-associated RNA splicing factor
Gene Symbol
PRPF3
Additional PRPF3 Products
Product Documents for PRPF3 Antibody - BSA Free
Product Specific Notices for PRPF3 Antibody - BSA Free
This product is for research use only and is not approved for use in humans or in clinical diagnosis. Primary Antibodies are guaranteed for 1 year from date of receipt.
Loading...
Loading...
Loading...
Loading...