PRPF3 Antibody - BSA Free
Novus Biologicals, part of Bio-Techne | Catalog # NBP1-19114
Conjugate
Catalog #
Key Product Details
Species Reactivity
Human, Mouse
Applications
Immunohistochemistry, Immunohistochemistry-Paraffin, Immunoprecipitation, Western Blot (Negative)
Label
Unconjugated
Antibody Source
Polyclonal Rabbit IgG
Format
BSA Free
Concentration
1.0 mg/ml
Product Specifications
Immunogen
The immunogen recognized by this antibody maps to a region between residue 100 and 150 of human U4/U6 small nuclear ribonucleoprotein Prp3 using the numbering given in entry NP_004689.1 (GeneID 9129).
Clonality
Polyclonal
Host
Rabbit
Isotype
IgG
Description
Novus Biologicals Rabbit PRPF3 Antibody - BSA Free (NBP1-19114) is a polyclonal antibody validated for use in IHC and IP. All Novus Biologicals antibodies are covered by our 100% guarantee.
Scientific Data Images for PRPF3 Antibody - BSA Free
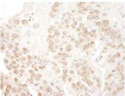
Immunohistochemistry-Paraffin: PRPF3 Antibody [NBP1-19114]
Immunohistochemistry-Paraffin: PRPF3 Antibody [NBP1-19114] - Detection of mouse hPrp3p by immunohistochemistry. Sample: FFPE section of mouse renal cell carcinoma. Antibody: Affinity purified rabbit anti-hPrp3p (NBP1-19114) used at a dilution of 1:5,000 (0.2ug/ml). Detection: DABImmunohistochemistry-Paraffin: PRPF3 Antibody [NBP1-19114]
Immunohistochemistry-Paraffin: PRPF3 Antibody [NBP1-19114] - FFPE section of human breast carcinoma. Affinity purified rabbit anti-hPrp3p used at a dilution of 1:100.Immunohistochemistry-Paraffin: PRPF3 Antibody [NBP1-19114]
Immunohistochemistry-Paraffin: PRPF3 Antibody [NBP1-19114] - FFPE section of mouse teratoma. Affinity purified rabbit anti-hPrp3p used at a dilution of 1:100.Applications for PRPF3 Antibody - BSA Free
Application
Recommended Usage
Immunohistochemistry
1:10-1:500
Immunohistochemistry-Paraffin
1:10-1:500
Immunoprecipitation
2-5 ug/mg lysate
Application Notes
It is not recommended for western analysis.
Formulation, Preparation, and Storage
Purification
Immunogen affinity purified
Formulation
Tris-Citrate/Phosphate (pH 7.0 - 8.0)
Format
BSA Free
Preservative
0.09% Sodium Azide
Concentration
1.0 mg/ml
Shipping
The product is shipped with polar packs. Upon receipt, store it immediately at the temperature recommended below.
Stability & Storage
Store at 4C. Do not freeze.
Background: PRPF3
Alternate Names
hPrp3, HPRP3P, HPRP3retinitis pigmentosa 18 (autosomal dominant), Pre-mRNA-splicing factor 3, Prp3, PRP3 pre-mRNA processing factor 3 homolog (S. cerevisiae), PRP3 pre-mRNA processing factor 3 homolog (yeast), Prp3p, RP18, U4/U6 small nuclear ribonucleoprotein Prp3, U4/U6 snRNP 90 kDa protein, U4/U6-associated RNA splicing factor
Entrez Gene IDs
9129 (Human)
Gene Symbol
PRPF3
UniProt
Additional PRPF3 Products
Product Documents for PRPF3 Antibody - BSA Free
Product Specific Notices for PRPF3 Antibody - BSA Free
This product is for research use only and is not approved for use in humans or in clinical diagnosis. Primary Antibodies are guaranteed for 1 year from date of receipt.
Loading...
Loading...
Loading...
Loading...