Skip to main content

Proteasome subunit beta type 4 Antibody (OTI2C9) - Azide and BSA Free

Novus Biologicals, part of Bio-Techne | Catalog # NBP2-73655

Novus Biologicals, part of Bio-Techne

Key Product Details

Species Reactivity

Human, Mouse, Rat

Applications

Immunohistochemistry, Immunohistochemistry-Paraffin, Western Blot

Label

Unconjugated

Antibody Source

Monoclonal Mouse IgG1 Clone # OTI2C9

Format

Azide and BSA Free

Concentration

LYOPH mg/ml

Product Specifications

Immunogen

Full length human recombinant protein of human PSMB4(NP_002787) produced in HEK293T cell.

Reactivity Notes

Please note that this antibody is reactive to Mouse and derived from the same host, Mouse. Mouse-On-Mouse blocking reagent may be needed for IHC and ICC experiments to reduce high background signal. You can find these reagents under catalog numbers PK-2200-NB and MP-2400-NB. Please contact Technical Support if you have any questions.

Clonality

Monoclonal

Host

Mouse

Isotype

IgG1

Theoretical MW

29 kDa.
Disclaimer note: The observed molecular weight of the protein may vary from the listed predicted molecular weight due to post translational modifications, post translation cleavages, relative charges, and other experimental factors.

Description

Novus Biologicals Mouse Proteasome subunit beta type 4 Antibody (OTI2C9) - Azide and BSA Free (NBP2-01225) is a monoclonal antibody validated for use in IHC and WB. All Novus Biologicals antibodies are covered by our 100% guarantee.

Scientific Data Images for Proteasome subunit beta type 4 Antibody (OTI2C9) - Azide and BSA Free

Western Blot: Proteasome subunit beta type 4 Antibody (OTI2C9)Azide and BSA Free [NBP2-73655]

Western Blot: Proteasome subunit beta type 4 Antibody (OTI2C9)Azide and BSA Free [NBP2-73655]

Western Blot: Proteasome subunit beta type 4 Antibody (OTI2C9) - Azide and BSA Free [NBP2-73655] - HEK293T cells were transfected with the pCMV6-ENTRY control (Left lane) or pCMV6-ENTRY Proteasome subunit beta type 4 (Right lane) cDNA for 48 hrs and lysed. Equivalent amounts of cell lysates (5 ug per lane) were separated by SDS-PAGE and immunoblotted w
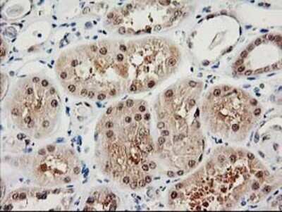
Immunohistochemistry: Proteasome subunit beta type 4 Antibody (OTI2C9) - Azide and BSA Free [NBP2-73655]

Immunohistochemistry: Proteasome subunit beta type 4 Antibody (OTI2C9) - Azide and BSA Free [NBP2-73655]

Immunohistochemistry: Proteasome subunit beta type 4 Antibody (OTI2C9) - Azide and BSA Free [NBP2-73655] - Staining of paraffin-embedded Human Kidney tissue using anti-Proteasome subunit beta type 4 mouse monoclonal antibody.
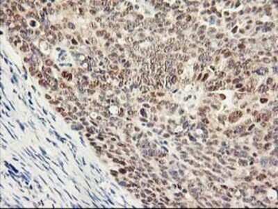
Immunohistochemistry: Proteasome subunit beta type 4 Antibody (OTI2C9) - Azide and BSA Free [NBP2-73655]

Immunohistochemistry: Proteasome subunit beta type 4 Antibody (OTI2C9) - Azide and BSA Free [NBP2-73655]

Immunohistochemistry: Proteasome subunit beta type 4 Antibody (OTI2C9) - Azide and BSA Free [NBP2-73655] - Staining of paraffin-embedded Adenocarcinoma of Human breast tissue using anti-Proteasome subunit beta type 4 mouse monoclonal antibody.

Applications for Proteasome subunit beta type 4 Antibody (OTI2C9) - Azide and BSA Free

Application
Recommended Usage

Immunohistochemistry

1:150

Western Blot

1:2000

Formulation, Preparation, and Storage

Purification

Immunogen affinity purified

Reconstitution

we recommend adding 100uL distilled water to a final antibody concentration of about 1 mg/mL. To use this carrier-free antibody for conjugation experiment, we strongly recommend performing another round of desalting process.

Formulation

Lyophilized from PBS (pH 7.3) with 8% Trehalose

Format

Azide and BSA Free

Preservative

No Preservative

Concentration

LYOPH mg/ml

Shipping

The product is shipped with polar packs. Upon receipt, store it immediately at the temperature recommended below.

Stability & Storage

Store at -20C. Avoid freeze-thaw cycles.

Background: Proteasome subunit beta type 4

The proteasome is a multicatalytic proteinase complex with a highly ordered ring-shaped 20S core structure. The core structure is composed of 4 rings of 28 non-identical subunits; 2 rings are composed of 7 alpha subunits and 2 rings are composed of 7 beta subunits. Proteasomes are distributed throughout eukaryotic cells at a high concentration and cleave peptides in an ATP/ubiquitin-dependent process in a non-lysosomal pathway. An essential function of a modified proteasome, the immunoproteasome, is the processing of class I MHC peptides. This gene encodes a member of the proteasome B-type family, also known as the T1B family, that is a 20S core beta subunit.

Long Name

Proteasome subunit beta type-4

Alternate Names

HsBPROS26, HsN3, PROS-26, PROS26, Proteasome chain 3, PSMB4

Gene Symbol

PSMB4

Additional Proteasome subunit beta type 4 Products

Product Documents for Proteasome subunit beta type 4 Antibody (OTI2C9) - Azide and BSA Free

Certificate of Analysis

To download a Certificate of Analysis, please enter a lot number in the search box below.

Product Specific Notices for Proteasome subunit beta type 4 Antibody (OTI2C9) - Azide and BSA Free

This product is for research use only and is not approved for use in humans or in clinical diagnosis. Primary Antibodies are guaranteed for 1 year from date of receipt.

Loading...
Loading...
Loading...
Loading...
Loading...