Skip to main content

Proteasome 26S S5 Antibody (3E2) - Azide and BSA Free

Novus Biologicals, part of Bio-Techne | Catalog # H00005711-M01

Novus Biologicals, part of Bio-Techne
Catalog #
Availability
Size / Price
Qty
Loading...
H00005711-M01

Key Product Details

Species Reactivity

Human

Applications

Immunohistochemistry, Immunohistochemistry-Paraffin, Western Blot, ELISA, Sandwich ELISA

Label

Unconjugated

Antibody Source

Monoclonal Mouse IgG1 kappa Clone # 3E2

Format

Azide and BSA Free

Concentration

Concentrations vary lot to lot. See vial label for concentration. If unlisted please contact technical services.

Product Specifications

Immunogen

PSMD5 (AAH14478, 405 a.a. ~ 504 a.a) partial recombinant protein with GST tag. MW of the GST tag alone is 26 KDa. QPFPELHCAALKVFTAIANQPWAQKLMFNSPGFVEYVVDRSVEHDKASKDAKYELVKALANSKTIAEIFGNPNYLRLRTYLSEGPYYVKPVSTTAVEGAE

Specificity

PSMD5 - proteasome (prosome, macropain) 26S subunit, non-ATPase, 5

Clonality

Monoclonal

Host

Mouse

Isotype

IgG1 kappa

Description

Quality control test: Antibody Reactive Against Recombinant Protein.

Scientific Data Images for Proteasome 26S S5 Antibody (3E2) - Azide and BSA Free

Western Blot: Proteasome 26S S5 Antibody (3E2) [H00005711-M01]

Western Blot: Proteasome 26S S5 Antibody (3E2) [H00005711-M01]

Western Blot: Proteasome 26S S5 Antibody (3E2) [H00005711-M01] - PSMD5 monoclonal antibody (M01), clone 3E2 Analysis of PSMD5 expression in A-431.
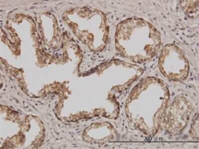
Immunohistochemistry-Paraffin: Proteasome 26S S5 Antibody (3E2) [H00005711-M01]

Immunohistochemistry-Paraffin: Proteasome 26S S5 Antibody (3E2) [H00005711-M01]

Immunohistochemistry-Paraffin: Proteasome 26S S5 Antibody (3E2) [H00005711-M01] - Analysis of monoclonal antibody to PSMD5 on formalin-fixed paraffin-embedded human prostate. Antibody concentration 3 ug/ml.
Sandwich ELISA: Proteasome 26S S5 Antibody (3E2) [H00005711-M01] - Detection limit for recombinant GST tagged PSMD5 is approximately 0.1ng/ml as a capture antibody.

Applications for Proteasome 26S S5 Antibody (3E2) - Azide and BSA Free

Application
Recommended Usage

Immunohistochemistry

1:10-1:500

Immunohistochemistry-Paraffin

1:10-1:500

Sandwich ELISA

1:100-1:2000

Western Blot

1:500
Application Notes
Antibody reactivity against cell lysate and recombinant protein for WB. It has also been used for IHC-P and ELISA.

Formulation, Preparation, and Storage

Purification

IgG purified

Formulation

In 1x PBS, pH 7.4

Format

Azide and BSA Free

Preservative

No Preservative

Concentration

Concentrations vary lot to lot. See vial label for concentration. If unlisted please contact technical services.

Shipping

The product is shipped with polar packs. Upon receipt, store it immediately at the temperature recommended below.

Stability & Storage

Aliquot and store at -20C or -80C. Avoid freeze-thaw cycles.

Background: Proteasome 26S S5

The 26S proteasome is a multicatalytic proteinase complex with a highly ordered structure composed of 2 complexes, a 20S core and a 19S regulator. The 20S core is composed of 4 rings of 28 non-identical subunits; 2 rings are composed of 7 alpha subunits and 2 rings are composed of 7 beta subunits. The 19S regulator is composed of a base, which contains 6 ATPase subunits and 2 non-ATPase subunits, and a lid, which contains up to 10 non-ATPase subunits. Proteasomes are distributed throughout eukaryotic cells at a high concentration and cleave peptides in an ATP/ubiquitin-dependent process in a non-lysosomal pathway. An essential function of a modified proteasome, the immunoproteasome, is the processing of class I MHC peptides. This gene encodes a non-ATPase subunit of the 19S regulator base.

Alternate Names

KIAA007226S proteasome non-ATPase regulatory subunit 5, proteasome (prosome, macropain) 26S subunit, non-ATPase, 5,26S proteasome subunit S5B, S5BMGC23145,26S protease subunit S5 basic

Entrez Gene IDs

5711 (Human)

Gene Symbol

PSMD5

OMIM

604452 (Human)

Additional Proteasome 26S S5 Products

Product Documents for Proteasome 26S S5 Antibody (3E2) - Azide and BSA Free

Certificate of Analysis

To download a Certificate of Analysis, please enter a lot number in the search box below.

Product Specific Notices for Proteasome 26S S5 Antibody (3E2) - Azide and BSA Free

This product is produced by and distributed for Abnova, a company based in Taiwan.

This product is for research use only and is not approved for use in humans or in clinical diagnosis. Primary Antibodies are guaranteed for 1 year from date of receipt.

Loading...
Loading...
Loading...
Loading...