Proteasome 20S beta 3 Antibody - BSA Free
Novus Biologicals, part of Bio-Techne | Catalog # NBP3-38629
Key Product Details
Species Reactivity
Human, Mouse, Rat
Applications
Immunohistochemistry, Immunohistochemistry-Paraffin, Western Blot, ELISA
Label
Unconjugated
Antibody Source
Polyclonal Rabbit IgG
Format
BSA Free
Concentration
Please see the vial label for concentration. If unlisted please contact technical services.
Product Specifications
Immunogen
Recombinant fusion protein containing a sequence corresponding to amino acids 1-205 of human Proteasome 20S beta 3 (NP_002786.2).
Sequence:
MSIMSYNGGAVMAMKGKNCVAIAADRRFGIQAQMVTTDFQKIFPMGDRLYIGLAGLATDVQTVAQRLKFRLNLYELKEGRQIKPYTLMSMVANLLYEKRFGPYYTEPVIAGLDPKTFKPFICSLDLIGCPMVTDDFVVSGTCAEQMYGMCESLWEPNMDPDHLFETISQAMLNAVDRDAVSGMGVIVHIIEKDKITTRTLKARMD
Sequence:
MSIMSYNGGAVMAMKGKNCVAIAADRRFGIQAQMVTTDFQKIFPMGDRLYIGLAGLATDVQTVAQRLKFRLNLYELKEGRQIKPYTLMSMVANLLYEKRFGPYYTEPVIAGLDPKTFKPFICSLDLIGCPMVTDDFVVSGTCAEQMYGMCESLWEPNMDPDHLFETISQAMLNAVDRDAVSGMGVIVHIIEKDKITTRTLKARMD
Clonality
Polyclonal
Host
Rabbit
Isotype
IgG
Theoretical MW
23 kDa.
Disclaimer note: The observed molecular weight of the protein may vary from the listed predicted molecular weight due to post translational modifications, post translation cleavages, relative charges, and other experimental factors.
Disclaimer note: The observed molecular weight of the protein may vary from the listed predicted molecular weight due to post translational modifications, post translation cleavages, relative charges, and other experimental factors.
Description
Novus Biologicals Rabbit Proteasome 20S beta 3 Antibody - BSA Free (NBP3-38629) is a polyclonal antibody validated for use in IHC, WB and ELISA. All Novus Biologicals antibodies are covered by our 100% guarantee.
Scientific Data Images for Proteasome 20S beta 3 Antibody - BSA Free
Western Blot: Proteasome 20S beta 3 Antibody [NBP3-38629] -
Western Blot: Proteasome 20S beta 3 Antibody [NBP3-38629] - Western blot analysis of various lysates using Proteasome 20S beta 3 Rabbit pAb at 1:1000 dilution.Secondary antibody: HRP-conjugated Goat anti-Rabbit IgG (H+L) at 1:10000 dilution.
Lysates/proteins: 25ug per lane.
Blocking buffer: 3% nonfat dry milk in TBST.
Detection: ECL Basic Kit.
Exposure time: 90s.
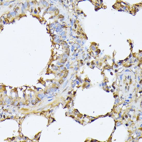
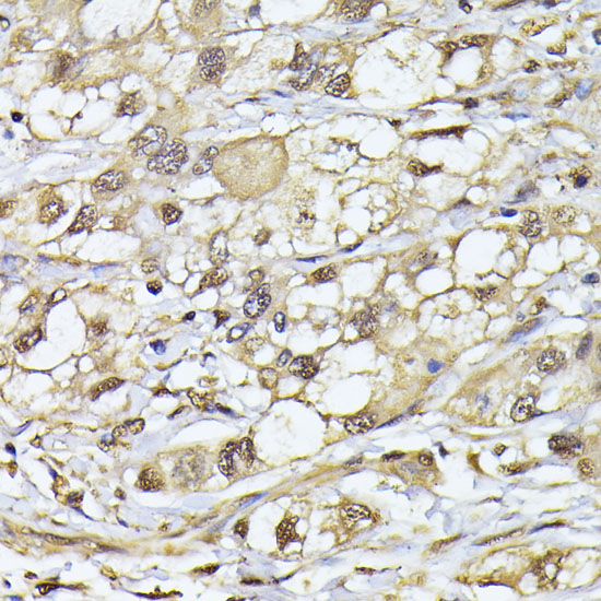
Immunohistochemistry: Proteasome 20S beta 3 Antibody [NBP3-38629] -
Immunohistochemistry: Proteasome 20S beta 3 Antibody [NBP3-38629] - Immunohistochemistry analysis of paraffin-embedded Human liver cancer using Proteasome 20S beta 3 Rabbit pAb at dilution of 1:100 (40x lens). Microwave antigen retrieval performed with 0.01M PBS Buffer (pH 7.2) prior to IHC staining.Immunohistochemistry: Proteasome 20S beta 3 Antibody [NBP3-38629] -
Immunohistochemistry: Proteasome 20S beta 3 Antibody [NBP3-38629] - Immunohistochemistry analysis of paraffin-embedded Rat lung using Proteasome 20S beta 3 Rabbit pAb at dilution of 1:100 (40x lens). Microwave antigen retrieval performed with 0.01M PBS Buffer (pH 7.2) prior to IHC staining.Applications for Proteasome 20S beta 3 Antibody - BSA Free
Application
Recommended Usage
Immunohistochemistry-Paraffin
1:50 - 1:200
Western Blot
1:500 - 1:2000
Formulation, Preparation, and Storage
Purification
Affinity purified
Formulation
PBS (pH 7.3), 50% glycerol
Format
BSA Free
Preservative
0.02% Sodium Azide
Concentration
Please see the vial label for concentration. If unlisted please contact technical services.
Shipping
The product is shipped with polar packs. Upon receipt, store it immediately at the temperature recommended below.
Stability & Storage
Store at -20C. Avoid freeze-thaw cycles.
Background: Proteasome 20S beta 3
Long Name
Proteasome subunit beta type-3
Alternate Names
Proteasome chain 13, PSMB3
Gene Symbol
PSMB3
Additional Proteasome 20S beta 3 Products
Product Documents for Proteasome 20S beta 3 Antibody - BSA Free
Product Specific Notices for Proteasome 20S beta 3 Antibody - BSA Free
This product is for research use only and is not approved for use in humans or in clinical diagnosis. Primary Antibodies are guaranteed for 1 year from date of receipt.
Loading...
Loading...
Loading...
Loading...