Skip to main content

Proteasome 19S S7 Antibody - BSA Free

Novus Biologicals, part of Bio-Techne | Catalog # NBP3-29671

Novus Biologicals, part of Bio-Techne
Catalog #
Availability
Size / Price
Qty
Loading...
NBP3-29671

Key Product Details

Species Reactivity

Human, Mouse

Applications

Immunohistochemistry, Western Blot, Immunoprecipitation

Label

Unconjugated

Antibody Source

Polyclonal Rabbit IgG

Format

BSA Free

Concentration

Please see the vial label for concentration. If unlisted please contact technical services.

Product Specifications

Immunogen

between 150 and 200

Clonality

Polyclonal

Host

Rabbit

Isotype

IgG

Description

Novus Biologicals Rabbit Proteasome 19S S7 Antibody - BSA Free (NBP3-29671) is a polyclonal antibody validated for use in IHC, WB and IP. All Novus Biologicals antibodies are covered by our 100% guarantee.

Scientific Data Images for Proteasome 19S S7 Antibody - BSA Free

Proteasome 19S S7 Antibody

Immunohistochemistry;Proteasome 19S S7 Antibody[NBP3-29650]

Immunohistochemistry;Proteasome 19S S7 Antibody[NBP3-29650]Detection of human PSMC2 by immunohistochemistry. Sample: FFPE section of human ovarian carcinoma. Antibody: Affinity purified rabbit anti-PSMC2 used at a dilution of 1:1,000 . Detection: DAB
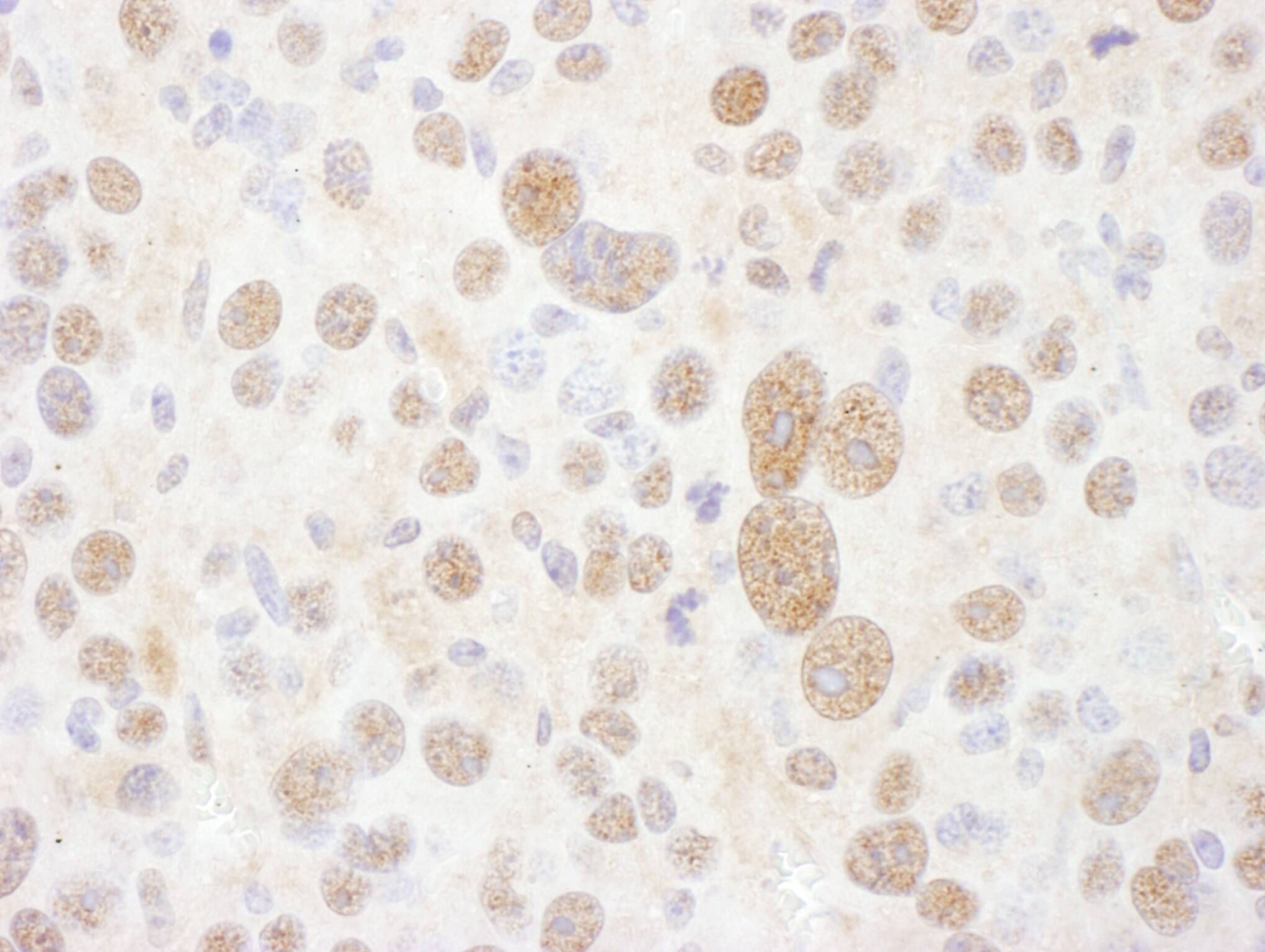
Proteasome 19S S7 Antibody

Immunohistochemistry;Proteasome 19S S7 Antibody[NBP3-29671]

Immunohistochemistry;Proteasome 19S S7 Antibody[NBP3-29671]Detection of mouse PSMC2 by immunohistochemistry. Sample: FFPE section of mouse renal cell carcinoma. Antibody: Affinity purified rabbit anti-PSMC2 used at a dilution of 1:1,000 . Detection: DAB

Applications for Proteasome 19S S7 Antibody - BSA Free

Application
Recommended Usage

Immunohistochemistry

Optimal dilutions of this antibody should be experimentally determined.

Immunoprecipitation

Optimal dilutions of this antibody should be experimentally determined.

Western Blot

Optimal dilutions of this antibody should be experimentally determined.

Formulation, Preparation, and Storage

Purification

Affinity purified

Formulation

Tris-citrate/phosphate buffer, pH 7 to 8

Format

BSA Free

Preservative

0.09% Sodium Azide

Concentration

Please see the vial label for concentration. If unlisted please contact technical services.

Shipping

The product is shipped with polar packs. Upon receipt, store it immediately at the temperature recommended below.

Stability & Storage

Store at 4C. Do not freeze.

Background: Proteasome 19S S7

The 26S proteasome is a multicatalytic proteinase complex with a highly ordered structure composed of 2 complexes, a 20S core and a 19S regulator. The 20S core is composed of 4 rings of 28 non-identical subunits; 2 rings are composed of 7 alpha subunits and 2 rings are composed of 7 beta subunits. The 19S regulator is composed of a base, which contains 6 ATPase subunits and 2 non-ATPase subunits, and a lid, which contains up to 10 non-ATPase subunits. Proteasomes are distributed throughout eukaryotic cells at a high concentration and cleave peptides in an ATP/ubiquitin-dependent process in a non-lysosomal pathway. An essential function of a modified proteasome, the immunoproteasome, is the processing of class I MHC peptides. This gene encodes one of the ATPase subunits, a member of the triple-A family of ATPases which have a chaperone-like activity. This subunit has been shown to interact with several of the basal transcription factors so, in addition to participation in proteasome functions, this subunit may participate in the regulation of transcription. This subunit may also compete with PSMC3 for binding to the HIV tat protein to regulate the interaction between the viral protein and the transcription complex.

Alternate Names

26S protease regulatory subunit 7, 26S proteasome AAA-ATPase subunit RPT1, MGC3004, MSS1ATPase, 2, proteasome (prosome, macropain) 26S subunit, ATPase, 2, Protein MSS1, putative protein product of Nbla10058

Gene Symbol

PSMC2

Additional Proteasome 19S S7 Products

Product Documents for Proteasome 19S S7 Antibody - BSA Free

Certificate of Analysis

To download a Certificate of Analysis, please enter a lot number in the search box below.

Product Specific Notices for Proteasome 19S S7 Antibody - BSA Free

This product is for research use only and is not approved for use in humans or in clinical diagnosis. Primary Antibodies are guaranteed for 1 year from date of receipt.

Loading...
Loading...
Loading...
Loading...