Skip to main content

Prostatic Acid Phosphatase/ACPP Antibody (ACPP/4495R) - Azide and BSA Free

Novus Biologicals, part of Bio-Techne | Catalog # NBP3-21084

Recombinant Monoclonal Antibody
Novus Biologicals, part of Bio-Techne

Key Product Details

Species Reactivity

Human

Applications

Immunohistochemistry-Paraffin

Label

Unconjugated

Antibody Source

Recombinant Monoclonal Rabbit IgG Kappa Clone # ACPP/4495R

Format

Azide and BSA Free

Concentration

1 mg/ml

Product Specifications

Immunogen

Recombinant fragment (around aa1-100) of human Prostatic Acid Phosphatase/ACPP (exact sequence is proprietary)

Localization

Cytoplasm.

Clonality

Monoclonal

Host

Rabbit

Isotype

IgG Kappa

Description

Positive Controls: PC12 cells. Normal prostate or prostate carcinoma tissue.

Antibody with azide - store at 2 to 8C. Antibody without azide - store at -20 to -80C. Non-hazardous. No MSDS required.

Scientific Data Images

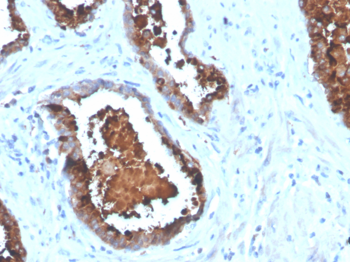
Prostatic Acid Phosphatase/ACPP Antibody (ACPP/4495R) - Azide and BSA Free

Prostatic Acid Phosphatase/ACPP Antibody (ACPP/4495R)

Formalin-fixed, paraffin-embedded human prostate carcinoma stained with Prostatic Acid Phosphatase/ACPP antibody (ACPP/4495R).
Prostatic Acid Phosphatase/ACPP Antibody (ACPP/4495R) - Azide and BSA Free

Prostatic Acid Phosphatase/ACPP Antibody (ACPP/4495R)

Formalin-fixed, paraffin-embedded human prostate carcinoma stained with Prostatic Acid Phosphatase/ACPP antibody (ACPP/4495R).

Applications

Application
Recommended Usage

Immunohistochemistry-Paraffin

1-2 ug/ml
Application Notes
Immunohistochemistry (Formalin-fixed): 1-2ug/ml for 30 minutes. at RT. Staining of formalin-fixed tissues requires heating tissue sections in 10mM Tris with 1mM EDTA, pH 9.0, for 45 min at 95C followed by cooling at RT for 20 minutes.

Optimal dilution for a specific application should be determined.

Formulation, Preparation, and Storage

Purification

Protein A or G purified

Formulation

10mM PBS

Format

Azide and BSA Free

Preservative

No Preservative

Concentration

1 mg/ml

Shipping

The product is shipped with polar packs. Upon receipt, store it immediately at the temperature recommended below.

Stability & Storage

Store at -20 to -70C. Avoid freeze-thaw cycles.

Background: Prostatic Acid Phosphatase/ACPP

Prostatic Acid Phosphatase encodes an enzyme which catalyzes the conversion of orthophosphoric monoester to alcohol and orthophosphate. It is synthesized under androgen regulation and secreted by the epithelial cells of the prostrate gland.

Alternate Names

ACP3, ACPP

Gene Symbol

ACP3

Additional Prostatic Acid Phosphatase/ACPP Products

Product Documents

Certificate of Analysis

To download a Certificate of Analysis, please enter a lot number in the search box below.

Product Specific Notices

This product is for research use only and is not approved for use in humans or in clinical diagnosis. Primary Antibodies are guaranteed for 1 year from date of receipt.

Loading...
Loading...
Loading...
Loading...