Skip to main content

Prostaglandin E Synthase Antibody - BSA Free

Novus Biologicals, part of Bio-Techne | Catalog # NBP3-35883

Novus Biologicals, part of Bio-Techne
Catalog #
Availability
Size / Price
Qty
Loading...
NBP3-35883-100ul
NBP3-35883-20ul

Key Product Details

Species Reactivity

Human, Mouse, Rat

Applications

ELISA, Immunohistochemistry, Immunohistochemistry-Paraffin, Western Blot

Label

Unconjugated

Antibody Source

Polyclonal Rabbit IgG

Format

BSA Free

Concentration

Please see the vial label for concentration. If unlisted please contact technical services.

Product Specifications

Immunogen

A synthetic peptide corresponding to a sequence within amino acids 1-100 of human Prostaglandin E Synthase (NP_004869.1).

Sequence:
MPAHSLVMSSPALPAFLLCSTLLVIKMYVVAIITGQVRLRKKAFANPEDALRHGGPQYCRSDPDVERCLRAHRNDMETIYPFLFLGFVYSFLGPNPFVAW

Clonality

Polyclonal

Host

Rabbit

Isotype

IgG

Theoretical MW

17 kDa.
Disclaimer note: The observed molecular weight of the protein may vary from the listed predicted molecular weight due to post translational modifications, post translation cleavages, relative charges, and other experimental factors.

Description

Novus Biologicals Rabbit Prostaglandin E Synthase Antibody - BSA Free (NBP3-35883) is a polyclonal antibody validated for use in IHC, WB and ELISA. All Novus Biologicals antibodies are covered by our 100% guarantee.

Scientific Data Images for Prostaglandin E Synthase Antibody - BSA Free

Prostaglandin E Synthase Antibody

Western Blot: Prostaglandin E Synthase Antibody [NBP3-35883] -

Western Blot: Prostaglandin E Synthase Antibody [NBP3-35883] - Western blot analysis of various lysates using Prostaglandin E Synthase Rabbit pAb at 1:1000 dilution.
Secondary antibody: HRP-conjugated Goat anti-Rabbit IgG (H+L) at 1:10000 dilution.
Lysates/proteins: 25ug per lane.
Blocking buffer: 3% nonfat dry milk in TBST.
Detection: ECL Basic Kit.
Exposure time: 10s.
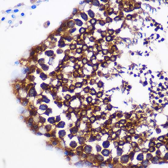
Prostaglandin E Synthase Antibody

Immunohistochemistry: Prostaglandin E Synthase Antibody [NBP3-35883] -

Immunohistochemistry: Prostaglandin E Synthase Antibody [NBP3-35883] - Immunohistochemistry analysis of paraffin-embedded Rat testis using Prostaglandin E Synthase Rabbit pAb at dilution of 1:100 (40x lens). Microwave antigen retrieval performed with 0.01M PBS Buffer (pH 7.2) prior to IHC staining.
Prostaglandin E Synthase Antibody

Immunohistochemistry: Prostaglandin E Synthase Antibody [NBP3-35883] -

Immunohistochemistry: Prostaglandin E Synthase Antibody [NBP3-35883] - Immunohistochemistry analysis of paraffin-embedded Mouse testis using Prostaglandin E Synthase Rabbit pAb at dilution of 1:100 (40x lens). Microwave antigen retrieval performed with 0.01M PBS Buffer (pH 7.2) prior to IHC staining.

Applications for Prostaglandin E Synthase Antibody - BSA Free

Application
Recommended Usage

ELISA

Recommended starting concentration is 1 ug/mL

Immunohistochemistry-Paraffin

1:50 - 1:200

Western Blot

1:500 - 1:2000

Formulation, Preparation, and Storage

Purification

Affinity purified

Formulation

PBS (pH 7.3), 50% glycerol

Format

BSA Free

Preservative

0.01% Thimerosal

Concentration

Please see the vial label for concentration. If unlisted please contact technical services.

Shipping

The product is shipped with polar packs. Upon receipt, store it immediately at the temperature recommended below.

Stability & Storage

Store at -20C. Avoid freeze-thaw cycles.

Background: Prostaglandin E Synthase

Prostaglandin E Synthase is encoded by this gene is a glutathione-dependent prostaglandin E synthase. The expression of this gene has been shown to be induced by proinflammatory cytokine interleukin 1 beta (IL1B). Its expression can also be induced by tumor suppressor protein TP53, and may be involved in TP53 induced apoptosis. Knockout studies in mice suggest that this gene may contribute to the pathogenesis of collagen-induced arthritis and mediate acute pain during inflammatory responses. [provided by RefSeq]

Long Name

Prostaglandin E synthase

Alternate Names

EC 5.3.99.3, MGST1-L1, MGST1L1, MPGES-1, MPGES1, PGES, PIG12, PTGES

Gene Symbol

PTGES

Additional Prostaglandin E Synthase Products

Product Documents for Prostaglandin E Synthase Antibody - BSA Free

Certificate of Analysis

To download a Certificate of Analysis, please enter a lot number in the search box below.

Product Specific Notices for Prostaglandin E Synthase Antibody - BSA Free

This product is for research use only and is not approved for use in humans or in clinical diagnosis. Primary Antibodies are guaranteed for 1 year from date of receipt.

Loading...
Loading...
Loading...
Loading...