Skip to main content

Proprotein Convertase 2/PCSK2 Antibody - BSA Free

Novus Biologicals, part of Bio-Techne | Catalog # NBP2-48942

Novus Biologicals, part of Bio-Techne
Catalog #
Availability
Size / Price
Qty
Loading...
NBP2-48942
NBP2-48942-25ul

Key Product Details

Validated by

Orthogonal Validation

Species Reactivity

Validated:

Human

Predicted:

Mouse (96%), Rat (96%). Backed by our 100% Guarantee.

Applications

Immunocytochemistry/ Immunofluorescence, Immunohistochemistry, Immunohistochemistry-Paraffin

Label

Unconjugated

Antibody Source

Polyclonal Rabbit IgG

Format

BSA Free

Concentration

Concentrations vary lot to lot. See vial label for concentration. If unlisted please contact technical services.

Product Specifications

Immunogen

This antibody was developed against a recombinant protein corresponding to amino acids: FTNHFLVELHKGGEDKARQVAAEHGFGVRKLPFAEGLYHFYHNGLAKAKRRRSLHHKQQLERDPRVKMALQQEGFDRKKRGYRDINEIDINMNDPLFTKQWYLINTGQADGTPGLDLNVAEAWELGYTGKGVTIGIMDDGIDYLHP

Clonality

Polyclonal

Host

Rabbit

Isotype

IgG

Description

Novus Biologicals Rabbit Proprotein Convertase 2/PCSK2 Antibody - BSA Free (NBP2-48942) is a polyclonal antibody validated for use in IHC and ICC/IF. All Novus Biologicals antibodies are covered by our 100% guarantee.

Scientific Data Images for Proprotein Convertase 2/PCSK2 Antibody - BSA Free

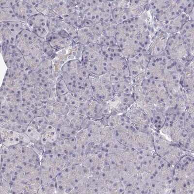
Immunohistochemistry-Paraffin: Proprotein Convertase 2/PCSK2 Antibody [NBP2-48942]

Immunohistochemistry-Paraffin: Proprotein Convertase 2/PCSK2 Antibody [NBP2-48942]

Immunohistochemistry-Paraffin: Proprotein Convertase 2/PCSK2 Antibody [NBP2-48942] - Staining in human adrenal gland and pancreas tissues using anti-PCSK2 antibody. Corresponding PCSK2 RNA-seq data are presented for the same tissues.
Immunocytochemistry/ Immunofluorescence: Proprotein Convertase 2/PCSK2 Antibody [NBP2-48942]

Immunocytochemistry/ Immunofluorescence: Proprotein Convertase 2/PCSK2 Antibody [NBP2-48942]

Immunocytochemistry/Immunofluorescence: Proprotein Convertase 2/PCSK2 Antibody [NBP2-48942] - Staining of human cell line SK-MEL-30 shows localization to nucleoplasm & vesicles.
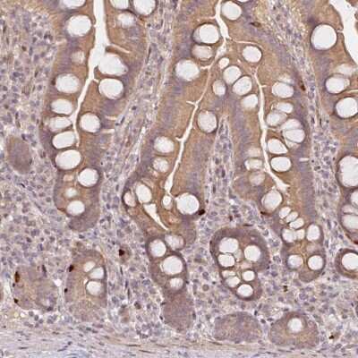
Immunohistochemistry: Proprotein Convertase 2/PCSK2 Antibody [NBP2-48942]

Immunohistochemistry: Proprotein Convertase 2/PCSK2 Antibody [NBP2-48942]

Immunohistochemistry: Proprotein Convertase 2/PCSK2 Antibody [NBP2-48942] - Staining of human small intestine shows strong cytoplasmic positivity in a subset of glandular cells.

Applications for Proprotein Convertase 2/PCSK2 Antibody - BSA Free

Application
Recommended Usage

Immunocytochemistry/ Immunofluorescence

0.25-2 ug/ml

Immunohistochemistry

1:200 - 1:500

Immunohistochemistry-Paraffin

1:200 - 1:500
Application Notes
For IHC-Paraffin, HIER pH 6 retrieval is recommended. ICC/IF, Fixation Permeabilization: Use PFA/Triton X-100.

Formulation, Preparation, and Storage

Purification

Immunogen affinity purified

Formulation

PBS (pH 7.2) and 40% Glycerol

Format

BSA Free

Preservative

0.02% Sodium Azide

Concentration

Concentrations vary lot to lot. See vial label for concentration. If unlisted please contact technical services.

Shipping

The product is shipped with polar packs. Upon receipt, store it immediately at the temperature recommended below.

Stability & Storage

Store at 4C short term. Aliquot and store at -20C long term. Avoid freeze-thaw cycles.

Background: Proprotein Convertase 2/PCSK2

PC2 and other members of the Drosophila Polycomb group gene family are part of a cellular memory system that is responsible for the inheritance of gene activity by progeny cells.

Long Name

Proprotein Convertase Subtilisin/Kexin Type 2

Alternate Names

NEC2, PC2, PCSK2, SPC2

Gene Symbol

PCSK2

Additional Proprotein Convertase 2/PCSK2 Products

Product Documents for Proprotein Convertase 2/PCSK2 Antibody - BSA Free

Certificate of Analysis

To download a Certificate of Analysis, please enter a lot number in the search box below.

Product Specific Notices for Proprotein Convertase 2/PCSK2 Antibody - BSA Free

This product is for research use only and is not approved for use in humans or in clinical diagnosis. Primary Antibodies are guaranteed for 1 year from date of receipt.

Loading...
Loading...
Loading...
Loading...