Skip to main content

PRMT2 Antibody - BSA Free

Novus Biologicals, part of Bio-Techne | Catalog # NBP3-38197

Novus Biologicals, part of Bio-Techne
Catalog #
Availability
Size / Price
Qty
Loading...
NBP3-38197-20ul
NBP3-38197-100ul

Key Product Details

Validated by

Knockout/Knockdown

Species Reactivity

Human, Mouse, Rat

Applications

Immunohistochemistry, Immunohistochemistry-Paraffin, Western Blot, ELISA, Immunocytochemistry/ Immunofluorescence

Label

Unconjugated

Antibody Source

Polyclonal Rabbit IgG

Format

BSA Free

Concentration

Please see the vial label for concentration. If unlisted please contact technical services.

Product Specifications

Immunogen

Recombinant fusion protein containing a sequence corresponding to amino acids 1-300 of human PRMT2 (NP_996845.1).

Sequence:
MATSGDCPRSESQGEEPAECSEAGLLQEGVQPEEFVAIADYAATDETQLSFLRGEKILILRQTTADWWWGERAGCCGYIPANHVGKHVDEYDPEDTWQDEEYFGSYGTLKLHLEMLADQPRTTKYHSVILQNKESLTDKVILDVGCGTGIISLFCAHYARPRAVYAVEASEMAQHTGQLVLQNGFADIITVYQQKVEDVVLPEKVDVLVSEWMGTCLLFEFMIESILYARDAWLKEDGVIWPTMAALHLVPCSADKDYRSKVLFWDNAYEFNLSALKSLAVKEFFSKPKYNHILKPEDCL

Clonality

Polyclonal

Host

Rabbit

Isotype

IgG

Theoretical MW

49 kDa.
Disclaimer note: The observed molecular weight of the protein may vary from the listed predicted molecular weight due to post translational modifications, post translation cleavages, relative charges, and other experimental factors.

Description

Novus Biologicals Rabbit PRMT2 Antibody - BSA Free (NBP3-38197) is a polyclonal antibody validated for use in IHC, WB, ELISA and ICC/IF. All Novus Biologicals antibodies are covered by our 100% guarantee.

Scientific Data Images for PRMT2 Antibody - BSA Free

PRMT2 Antibody

Western Blot: PRMT2 Antibody [NBP3-38197] -

Western Blot: PRMT2 Antibody [NBP3-38197] - Western blot analysis of lysates from mouse lung, using [KO Validated] PRMT2 Rabbit pAb at 1:1000 dilution.
Secondary antibody: HRP-conjugated Goat anti-Rabbit IgG (H+L) at 1:10000 dilution.
Lysates/proteins: 25ug per lane.
Blocking buffer: 3% nonfat dry milk in TBST.
Detection: ECL Enhanced Kit.
Exposure time: 90s.
PRMT2 Antibody

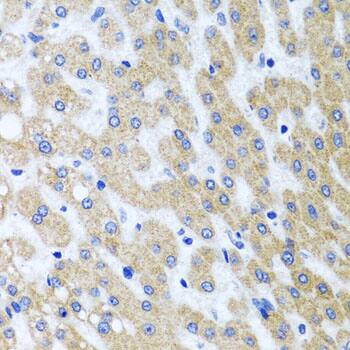
Immunohistochemistry: PRMT2 Antibody [NBP3-38197] -

Immunohistochemistry: PRMT2 Antibody [NBP3-38197] - Immunohistochemistry analysis of paraffin-embedded Human liver damage using [KO Validated] PRMT2 Rabbit pAb at dilution of 1:100 (40x lens). Microwave antigen retrieval performed with 0.01M PBS Buffer (pH 7.2) prior to IHC staining.
PRMT2 Antibody

Immunocytochemistry/ Immunofluorescence: PRMT2 Antibody [NBP3-38197] -

Immunocytochemistry/ Immunofluorescence: PRMT2 Antibody [NBP3-38197] - Immunofluorescence analysis of HeLa cells using [KO Validated] PRMT2 Rabbit pAb.Secondary antibody: Cy3-conjugated Goat anti-Rabbit IgG (H+L) at 1:500 dilution.

Applications for PRMT2 Antibody - BSA Free

Application
Recommended Usage

Immunocytochemistry/ Immunofluorescence

1:50 - 1:100

Immunohistochemistry-Paraffin

1:50 - 1:200

Western Blot

1:500 - 1:2000

Formulation, Preparation, and Storage

Purification

Affinity purified

Formulation

PBS (pH 7.3), 50% glycerol

Format

BSA Free

Preservative

0.02% Sodium Azide

Concentration

Please see the vial label for concentration. If unlisted please contact technical services.

Shipping

The product is shipped with polar packs. Upon receipt, store it immediately at the temperature recommended below.

Stability & Storage

Store at -20C. Avoid freeze-thaw cycles.

Background: PRMT2

PRMT2 is a member of the protein arginine N-methyltransferase family that has been shown to be both an androgen receptor (AR)-associated coactivator and an estrogen receptor. PRMT2 expression is upregulated in the lung under hypoxic conditions, and has been shown to inhibit cell activation and promote programmed cell death through a NF-kappaB-dependent mechanism.

Alternate Names

EC 2.1.1.-, EC 2.1.1.125, Histone-arginine N-methyltransferase PRMT2, HMT1, HMT1 (hnRNP methyltransferase, S. cerevisiae)-like 1, HMT1 hnRNP methyltransferase-like 1, HMT1 hnRNP methyltransferase-like 1 (S. cerevisiae), HRMT1L1PRMT2 beta, MGC111373, PRMT2 alpha, PRMT2 gamma, protein arginine methyltransferase 2, protein arginine N-methyltransferase 2

Gene Symbol

PRMT2

Additional PRMT2 Products

Product Documents for PRMT2 Antibody - BSA Free

Certificate of Analysis

To download a Certificate of Analysis, please enter a lot number in the search box below.

Product Specific Notices for PRMT2 Antibody - BSA Free

This product is for research use only and is not approved for use in humans or in clinical diagnosis. Primary Antibodies are guaranteed for 1 year from date of receipt.

Loading...
Loading...
Loading...
Loading...