Skip to main content

PRL-3/PTP4A3 Antibody - BSA Free

Novus Biologicals, part of Bio-Techne | Catalog # NBP3-41248

Novus Biologicals, part of Bio-Techne
Catalog #
Availability
Size / Price
Qty
Loading...
NBP3-41248

Key Product Details

Species Reactivity

Human

Applications

Immunohistochemistry, Immunohistochemistry-Paraffin, Western Blot

Label

Unconjugated

Antibody Source

Polyclonal Rabbit

Format

BSA Free

Concentration

0.5 mg/ml

Product Specifications

Immunogen

Immunized with recombinant Human PRL-3/PTP4A3 (Uniprot#: O75365; Met1-Cys170 (Uniprot#: O75365)

Clonality

Polyclonal

Host

Rabbit

Description

Novus Biologicals Rabbit PRL-3/PTP4A3 Antibody - BSA Free (NBP3-41248) is a polyclonal antibody validated for use in IHC and WB. All Novus Biologicals antibodies are covered by our 100% guarantee.

Scientific Data Images for PRL-3/PTP4A3 Antibody - BSA Free

PRL-3/PTP4A3 Antibody

Western Blot: PRL-3/PTP4A3 Antibody [NBP3-41248] -

Western Blot: PRL-3/PTP4A3 Antibody [NBP3-41248] - Sample: Recombinant PRL-3/PTP4A3, Human.
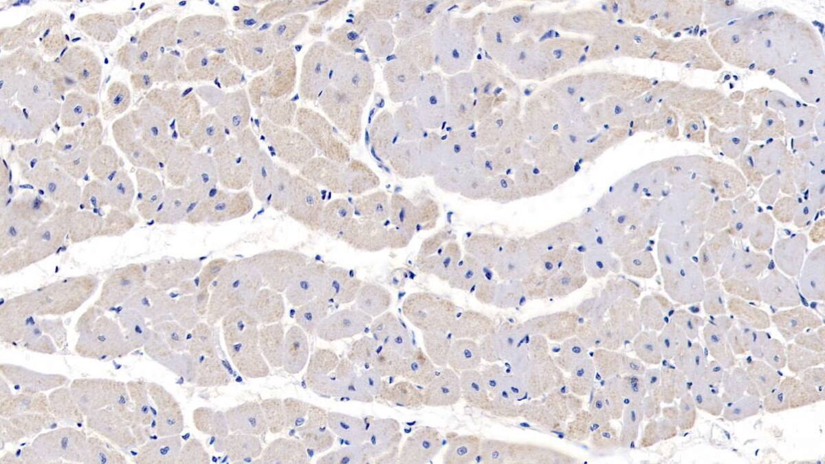
PRL-3/PTP4A3 Antibody

Immunohistochemistry-Paraffin: PRL-3/PTP4A3 Antibody [NBP3-41248] -

Immunohistochemistry-Paraffin: PRL-3/PTP4A3 Antibody [NBP3-41248] - DAB staining on IHC-P; Samples: Human Cardiac Muscle Tissue; Primary Ab: 20ug/ml NBP3-41248; Second Ab: 2ug/mL HRP-Linked Caprine Anti-Rabbit IgG Polyclonal Antibody
PRL-3/PTP4A3 Antibody

Western Blot: PRL-3/PTP4A3 Antibody [NBP3-41248] -

Western Blot: PRL-3/PTP4A3 Antibody [NBP3-41248] - Sample: 293T cell lysate Primary Ab: 1ug/ml NBP3-41248; Second Ab: 0.2ug/mL HRP-Linked Caprine Anti-Rabbit IgG Polyclonal Antibody

Applications for PRL-3/PTP4A3 Antibody - BSA Free

Application
Recommended Usage

Immunohistochemistry

5-20ug/mL

Immunohistochemistry-Paraffin

5-20ug/mL

Western Blot

0.01-2ug/mL

Formulation, Preparation, and Storage

Purification

Antigen and protein A Affinity-purified

Formulation

0.01M PBS, pH7.4, 50% glycerol

Format

BSA Free

Preservative

0.05% Proclin 300

Concentration

0.5 mg/ml

Shipping

The product is shipped with polar packs. Upon receipt, store it immediately at the temperature recommended below.

Stability & Storage

Store at 4C short term. Aliquot and store at -20C long term. Avoid freeze-thaw cycles.

Background: PRL-3/PTP4A3

PRL-3 is encoded by this gene belongs to a small class of prenylated protein tyrosine phosphatases (PTPs). PTPs are cell signaling molecules that play regulatory roles in a variety of cellular processes. This class of PTPs contain a PTP domain and a characteristic C-terminal prenylation motif. Studies of this class of PTPs in mice demonstrated that they were prenylated proteins in vivo, which suggested their association with cell plasma membrane. Overexpression of this gene in mammalian cells was reported to inhibit angiotensin-II induced cell calcium mobilization and promote cell growth. Two alternatively spliced variants exist.

Long Name

Phosphatase of Regenerating Liver 3

Alternate Names

PRL3, PTP4A3

Gene Symbol

PTP4A3

Additional PRL-3/PTP4A3 Products

Product Documents for PRL-3/PTP4A3 Antibody - BSA Free

Certificate of Analysis

To download a Certificate of Analysis, please enter a lot number in the search box below.

Product Specific Notices for PRL-3/PTP4A3 Antibody - BSA Free

This product is for research use only and is not approved for use in humans or in clinical diagnosis. Primary Antibodies are guaranteed for 1 year from date of receipt.

Loading...
Loading...
Loading...
Loading...