Skip to main content

Presenilin-1 Antibody - BSA Free

Novus Biologicals, part of Bio-Techne | Catalog # NBP1-76792

Novus Biologicals, part of Bio-Techne

Key Product Details

Species Reactivity

Human, Mouse, Rat

Applications

Validated:

Immunohistochemistry, Immunohistochemistry-Paraffin, Western Blot, ELISA, Immunocytochemistry/ Immunofluorescence

Cited:

Immunocytochemistry/ Immunofluorescence

Label

Unconjugated

Antibody Source

Polyclonal Rabbit IgG

Format

BSA Free

Concentration

1 mg/ml

Product Specifications

Immunogen

Antibody was raised against a 23 amino acid synthetic peptide from near the carboxy terminus of human presenilin1. The immunogen is located within amino acids 330 - 380 of Presenilin1. Amino Acid Squence: SEEWEAQRDSHLGPHRSTPESRA

Reactivity Notes

Immunogen displays the following percentage of sequence identity for non-tested species: Bovine (86%)

Clonality

Polyclonal

Host

Rabbit

Isotype

IgG

Description

Novus Biologicals Rabbit Presenilin-1 Antibody - BSA Free (NBP1-76792) is a polyclonal antibody validated for use in IHC, WB, ELISA and ICC/IF. Anti-Presenilin-1 Antibody: Cited in 1 publication. All Novus Biologicals antibodies are covered by our 100% guarantee.

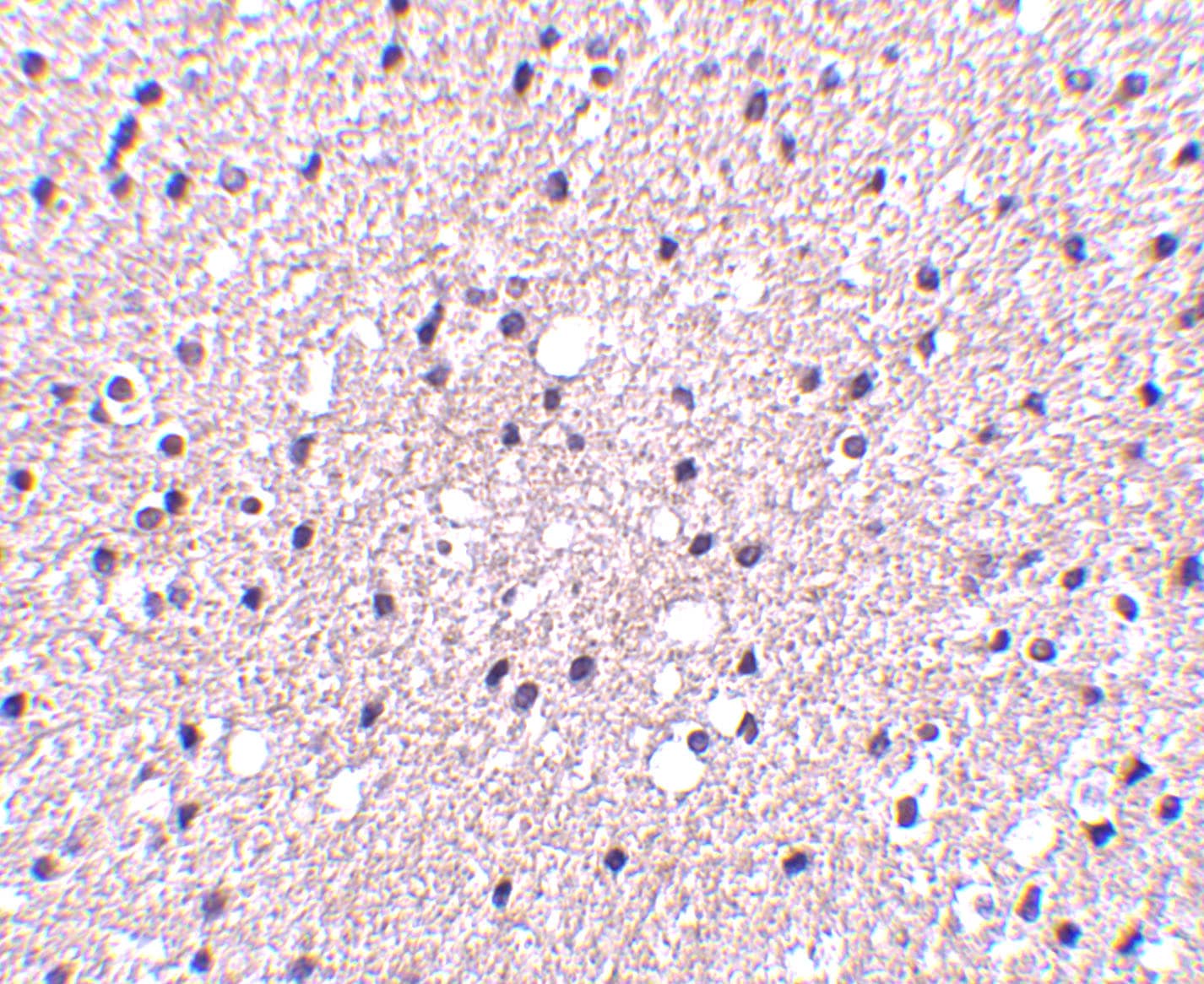
Scientific Data Images for Presenilin-1 Antibody - BSA Free

Western Blot: Presenilin-1 AntibodyBSA Free [NBP1-76792]

Western Blot: Presenilin-1 AntibodyBSA Free [NBP1-76792]

Western Blot: Presenilin-1 Antibody [NBP1-76792] - Human brain lysate with presenilin1 antibody at (A) 0.5, (B) 1, and (C) 2 ug/ml.
Immunocytochemistry/ Immunofluorescence: Presenilin-1 Antibody - BSA Free [NBP1-76792]

Immunocytochemistry/ Immunofluorescence: Presenilin-1 Antibody - BSA Free [NBP1-76792]

Presenilin-1-Antibody-Immunocytochemistry-Immunofluorescence-NBP1-76792-img0004.jpg
Presenilin-1 Antibody - BSA Free

Immunocytochemistry/ Immunofluorescence: Presenilin-1 Antibody - BSA Free [NBP1-76792] -

Immunocytochemistry/ Immunofluorescence: Presenilin-1 Antibody - BSA Free [NBP1-76792] - Immunofluorescence of Presenilin-1 in Human Brain cells with Presenilin-1 antibody at 20 ug/mL.

Applications for Presenilin-1 Antibody - BSA Free

Application
Recommended Usage

ELISA

1:100-1:2000

Immunocytochemistry/ Immunofluorescence

20 ug/mL

Immunohistochemistry

2.5 ug/ml

Immunohistochemistry-Paraffin

2.5 ug/ml

Western Blot

0.5-2 ug/ml

Formulation, Preparation, and Storage

Purification

Peptide affinity purified

Formulation

PBS

Format

BSA Free

Preservative

0.02% Sodium Azide

Concentration

1 mg/ml

Shipping

The product is shipped with polar packs. Upon receipt, store it immediately at the temperature recommended below.

Stability & Storage

Store at 4C short term. Aliquot and store at -20C long term. Avoid freeze-thaw cycles.

Background: Presenilin-1

Presenilin1 was initially identified a marker of susceptibility to early-onset Alzheimer's disease. In addition to PEN2, nicastrin and APH-1, Presenilin1 forms the gamma-secretase protein complex, a membrane-bound aspartyl protease that can cleave certain proteins at peptide bonds buried within the hydrophobic environment of the lipid bilayer. This cleavage is responsible for a key step in signaling from several cell-surface receptors and is thought to be required for the generation of the neurotoxic amyloid peptides that are central to the pathogenesis of Alzheimer's disease. Like the tumor necrosis factor-alpha-converting enzyme (TACE) and the beta-site cleavage enzyme (BACE) protease families, gamma-secretase will cleave the amyloid precursor protein (APP), but within the intramembrane region of APP, resulting in either the non-toxic p3 (from the alpha and gamma cleavage site) or the toxic Abeta amyloid peptide (from the beta and gamma cleavage site). It is thought that accumulation of the Abeta peptide is the precursor to Alzheimer's disease. Multiple isoforms of presenilin1 are known to exist. This antibody has no cross-reactivity to presenilin2.

Alternate Names

Presenilin1, PSEN1, S182

Gene Symbol

PSEN1

Additional Presenilin-1 Products

Product Documents for Presenilin-1 Antibody - BSA Free

Certificate of Analysis

To download a Certificate of Analysis, please enter a lot number in the search box below.

Product Specific Notices for Presenilin-1 Antibody - BSA Free

This product is for research use only and is not approved for use in humans or in clinical diagnosis. Primary Antibodies are guaranteed for 1 year from date of receipt.

Loading...
Loading...
Loading...
Loading...